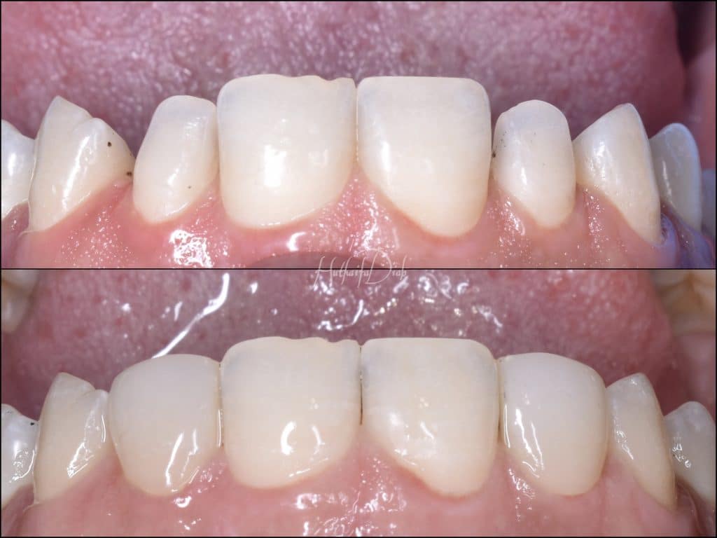
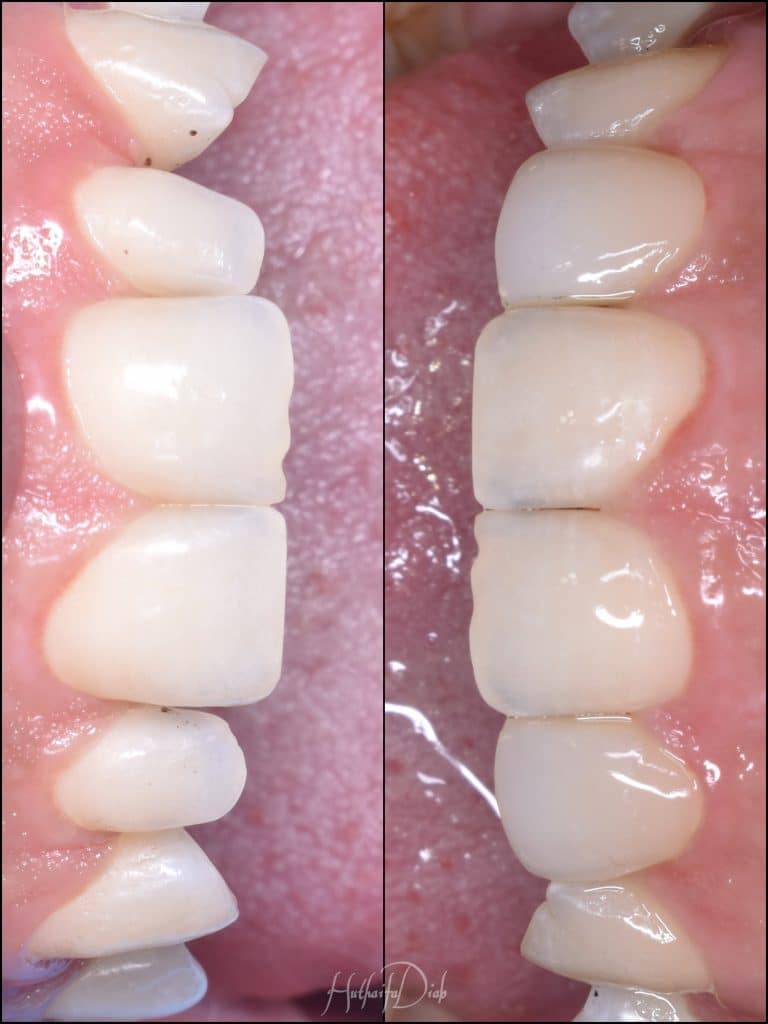
A conservative and additive treatment aiming to the patient a smile upgrade with the most versatile material in contemporary dentistry, direct Composite.
Initial situation. Peg shaped laterals.
Rubber Dam isolation. Teflon tape used to protect adjacent teeth. Clamps No. 44 and W2A utilised.
Etching for 30 seconds.
Frosty after etching!
Cervical Hub - You could either do this with a transparent strip, Unica Matrix or modified Tofflemire band.
I did this one free hand with tiny bit of flowable + packable.
Why going cervical before palatal or proximal? See next photo.
Palatal and proximal walls built. Here you can see why i started cervically;
1. Can’t place my putty index palatally with the 44 clamps in place.
2. Cervical composite holds the RD sheet still after removing the clamps.
Final result.
Shades used:
Dentsply Spectra LV A3/A2
3M Filtek Z350 D3/E1
Zenit InTr
Lateral view showing shade mimicry and cervical emergence with a healthy gingiva.
Before vs After
Before vs After
Share on: