Having the chance to cooperate with an Orthodontist before a case finalization, creates a potential that may not be available when a case is presented after orthodontic treatment.
In this case of an adult patient that underwent orthodontic treatment, I was use additive-only approach, similar to cases which are faced using Dahl’s approach. An additional advantage was the option of integrating stabilization wire inside the restorative space, with an important gain on hygiene aspect. The rest of the long story is on the pictures and some captions.
Before the final stage of orthodontic treatment
Restorative space needed for composite build-up
Before final orthodontic stage, estimation of restorative space available
Before final orthodontic stage, estimation of restorative space available
Wear is evident on natural dentition
This view is showing available restorative space after stabilization wire has been positioned
Ingots on stabilization wire were blocked so mock-up can be removed without any harm on stabilization
An impression prepared from wax-up
Dimensions checked for phonetics and facial aesthetics
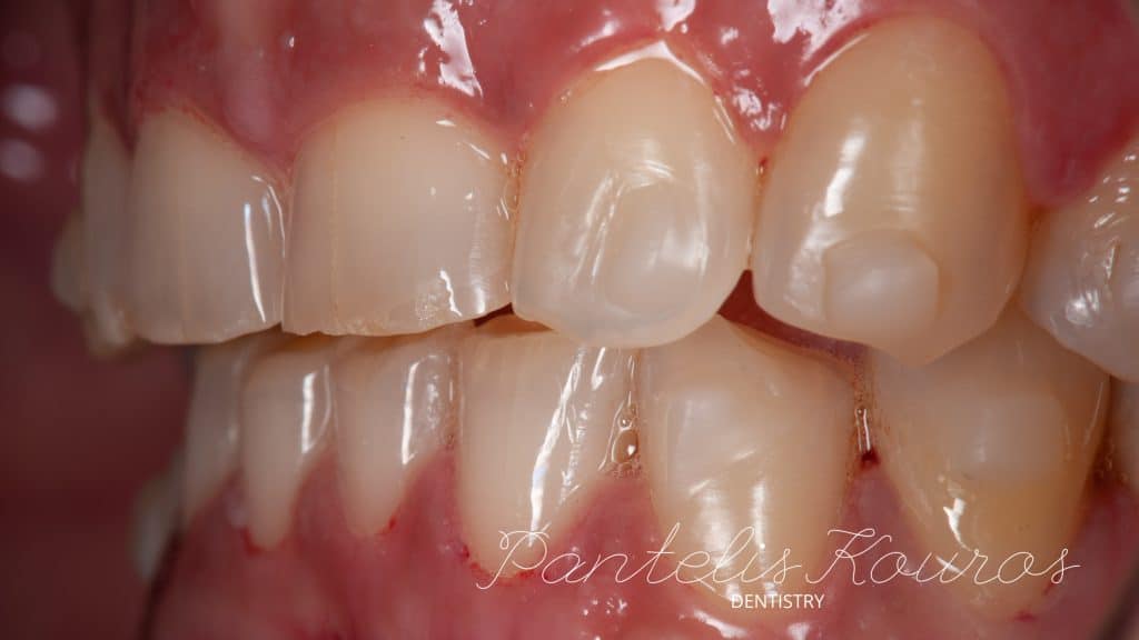
Initial ICP
Initial (detail)
A split dam was placed
Enamel shade composite on 75-shore silicon key made from wax-up
Flowable composite used between Palatal shell and teeh/wire to help proper wetting of all ingots of stabilisation
Dentin shade for mamelons replication
Restorations completed. Still to be shaped.
Mandible build-up, etching stage
Left incisors completed. An universal shade composite implied
All incisors completed
Space check and adjustment
First polishing stage after dam removal
I week recal
Right lateral view
Left lateral view
ICP check
Right excursion check. Canine guidance
Left excursion check. Canine guidance
Share on: