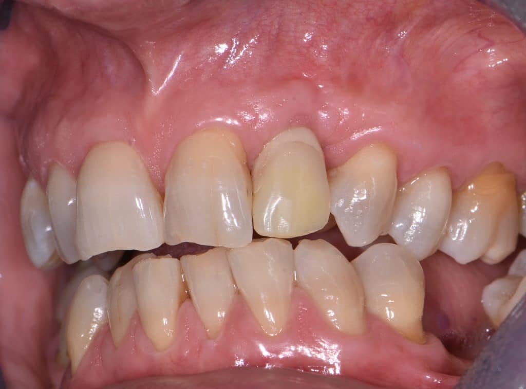
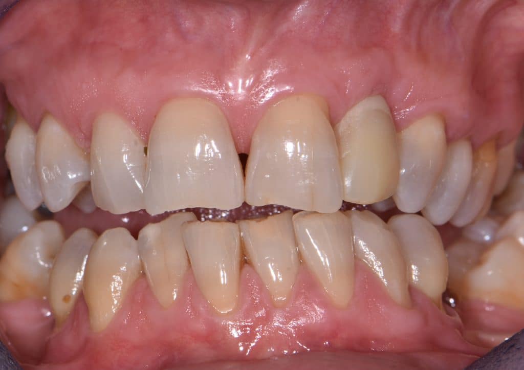
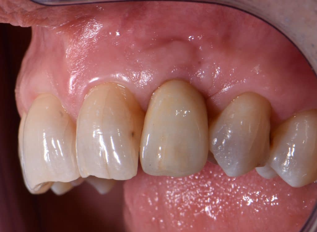
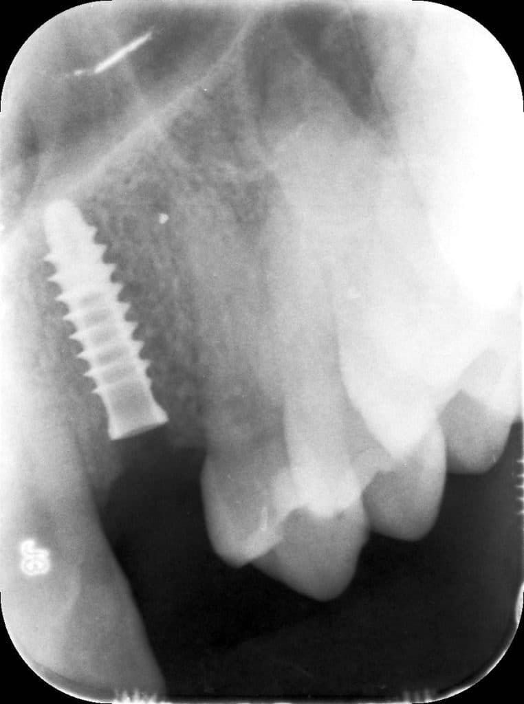
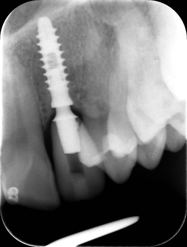
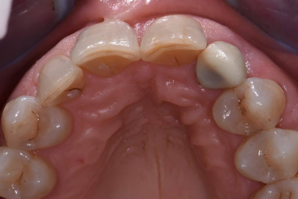
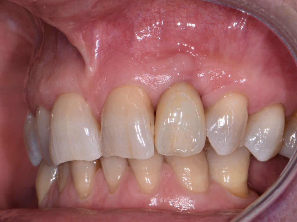
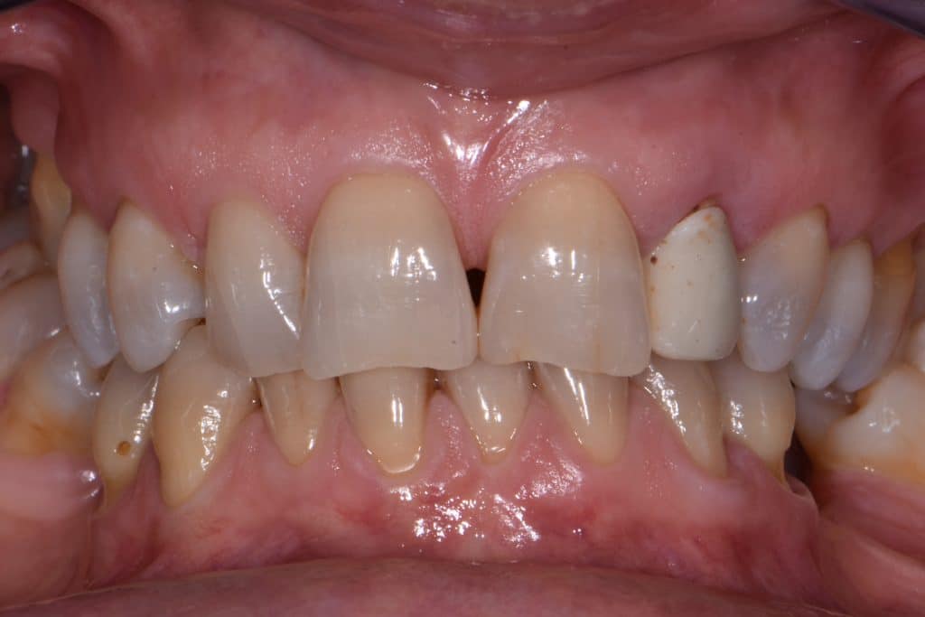
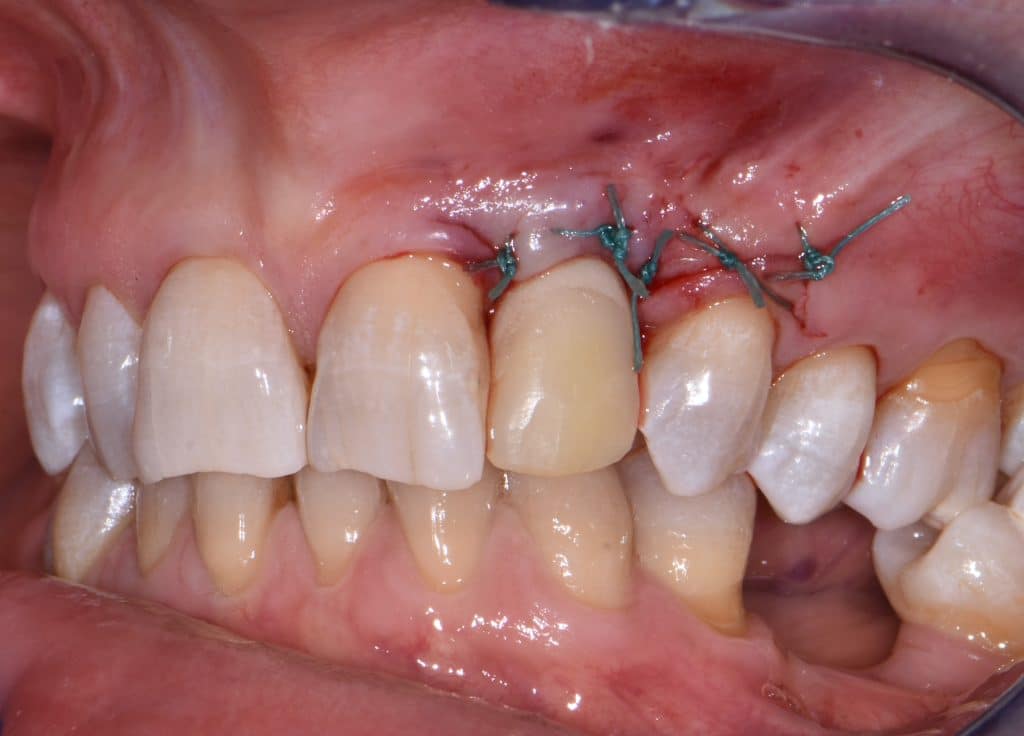
La pz N.G. di anni 52 (ASA 1) viene visitata nel mese di settembre 2017 per la mobilità ed inestetismo dell’elemento protesico 22, (foto iniziali sequenza 1) si evidenzia una frattura parziale della radice, si decide per l’estrazione ( foto sequenza 2) e sostituzione dell’elemento con un restauro implanto-protesico. Purtroppo la scarsa quota ossea apicale all’alveolo post-estrattivo (foto 2 rx) e l’alta valenza estetica dell’elemento ci rende cauti e si programma una socket preservation post estrattiva con l’ausilio delle membrane di prf (foto prf e socket sequenza 3 e 4). Durente i 5 mesi di guarigione la pz porta una protesi parziale mobile (foto 5,2) , a guarigione del sito post estrattivo si evidenzia una buona conservazione dei volumi osseo-gengivali,(foto guarigione sequenza 6) se pur presente una recessione distale all’elemnto 21.Nel mese di febbraio 2018 si procede all’inserimento di un impianto max-stability 3,75x12mm disegnando un lembo anticipato palatino per consentire un aumento dei tessuti vestibolari suturando con tecnica rool flap e trasformando l’elemento parziale mobile in una corona singola a carico immediato sul moncone temporameo applicando i concetti protesici bopt , (foto impianto moncone protesi provvisoria sequenza foto 7-8-9). Durante il periodo di maturazione dei tessuti molli vengono apportate opportune modifiche ai profili del provvisorio al fine di dare maggior spazio al tessuto gengivale, ( fotosequenza 10).Dopo circa 2 mesi dal protesizzazione provvisoria si è proceduto alla realizzazione del manufatto protesico con tecnica chair side sirona con l’ausilio del t-base (foto sequenza 11-12-13), realizzando in una sola seduta una corona in disilicato, ottenendo un risultato più che soddisfacente (Foto 14). Nel controllo a 3 mesi dal carico definitivo si apprezza la perfetta conservazione dei livelli ossei e gengivali. (foto sequenza 15).concludo con un follow up a 18 . Tengo a sottolineare che un caso come questo è stato conducibile con buoni risultati solo grazie alla piena fiducia della pz e alla sua massima motivazione e collaborazione. Ad oggi la pz sorride soddisfatta del risultato. E questo rappresenta la massima ricompensa di chi dedica tutto se stesso alla professione.
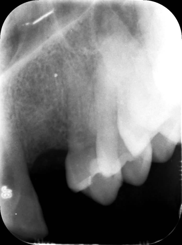
rx follow up 18 month post loading
Share on: