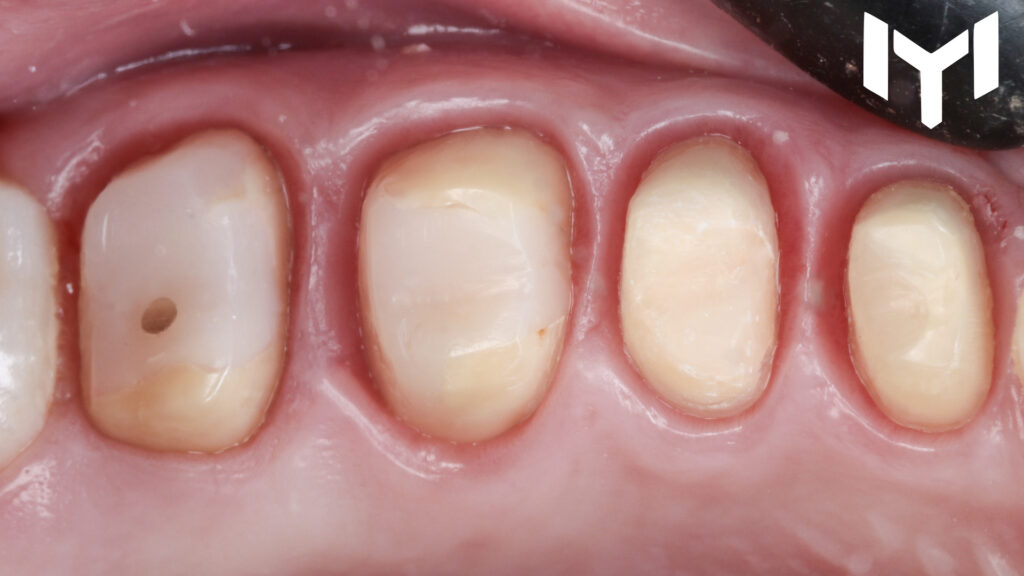
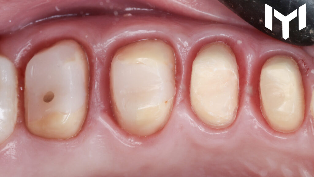
A patient presented with the need for full-coverage restorations on the upper left posterior segment (Teeth 4, 5, 6, and 7). The primary goal was to achieve biological integration and restoring function.
The workflow:
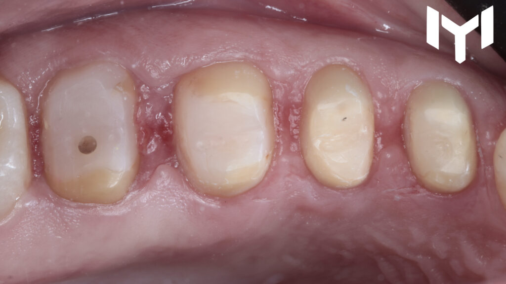
1- vertical preparation for the segment.
2. The Power of Temporization The “magic” happens during the healing phase. We placed high-quality provisional crowns for one month. This stage is crucial for:
• Guiding the gingival healing.
• Determining the ideal emergence profile.
• Ensuring the patient’s comfort and function before the final stage.
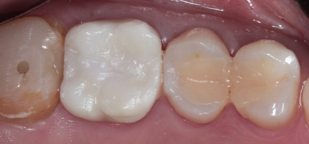
3. The Final Restoration: Zirconium after one month, the soft tissue showed remarkable health and stability. We transitioned to the final Zirconium crowns with highly finished and polished not glazed cervical collar.
Share on: