A lot of time ، patience and hard work behind the story of this tooth !
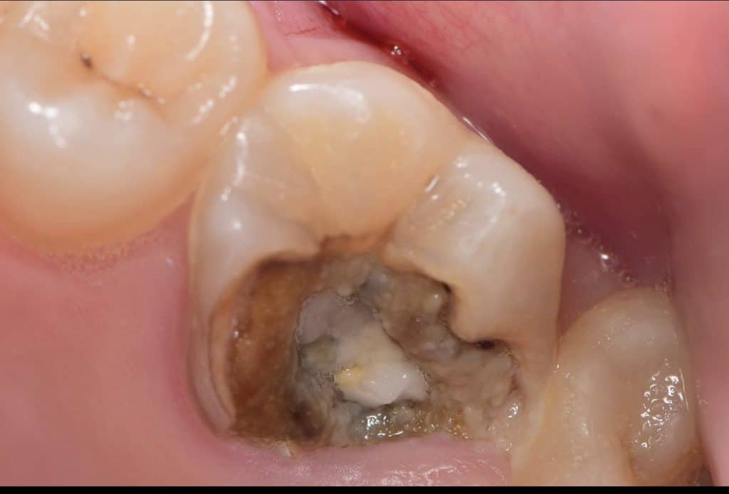
The palatal margin below the bone level ,
So surgical crown lengthening is the first step before margin elevation .
DME to get four walled tooth for better RCT and isolation.
Ids and resin coat + ever x posterior
Endocrown(overlay!) prep
Cementation done with heated Apx composite from kurary .
Initial situation
Pre endo build up
Prep and isolation
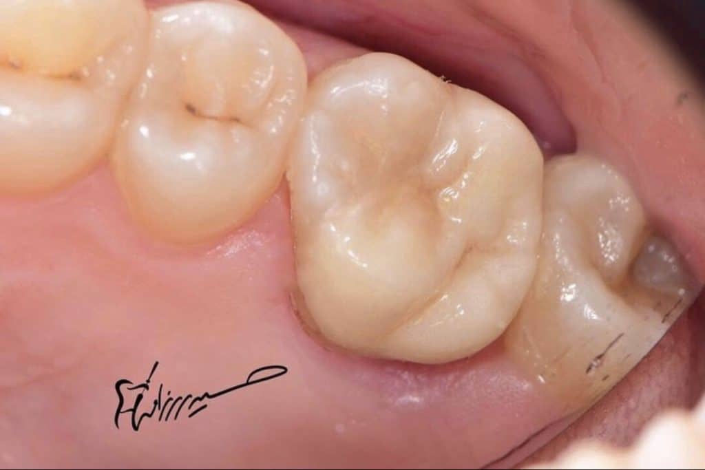
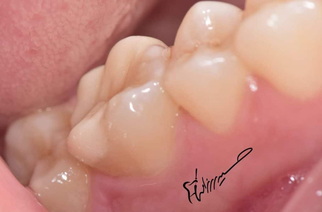
Check the restoration
Immediate after cementation
Share on: