female patient, 53, reported with complaint of inability to chew food , unstable partial denture and bad esathtic
On intraoral examination and radiographic investigation:
teeth presented In upper arch:
11 , 12 , 15 , 2 , 6 with sound periodontium
13 with mobility grade ii and 5 with mobility grad iii
teeth presented in lower arch:
18,19,20,21,22,,28,29,30, 31 with sound periodontium
23,24,25, 26 with mobility grade iii
Moderate periodontitis in the lower arch especially in the anterior area
Edentulous area in the maxillary arch had a favorable ridge with good keratinized mucosa.
1st clinical visit:
A diagnostic cast was prepared with alginate impression for case design
The treatment plan was discussed with the patient.
Tooth extraction was done
periodontal treatment ie : supra subgengival scalling and root planning
was carried out
Pockets treatment is carried out with with irrigation of saline and h2o2
Local driven agent with hyaluronic acid and CHX ( ez-cure , gengigel )
2nd clinical visit
Patient’s consent was taken and prophylactic and elective endodontic treatment for maxillary teeth which will recive telescopic crwon and ball and socket attachment were started.
3rd clinical visit
Tooth preparation was done on 12 , 13. ,giving supgingival chamfer finish line of 0.7mm and axial wall height of 4mm in with a taper of 8 to 10o to receive primary metal coping.
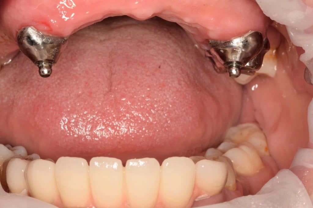
Tooth number 11,6 were prepared in a dome-shaped contour and hemi spherically rounded in all dimensions with approximately 3–4 mm projecting just above the gingiva
Post space was prepared and a direct–indirect method was used for the fabrication of post-coping patterns. Custom post patterns were fabricated directly in the root canal with fiber post
After tooth preparation, 3M ASTRINGENT RETRACTION PASTE is used to retract gingiva
an impression was made with putty ( zhermck , Germany ) and light body addition silicone impression material (
DMG- MATERIAL : HONIGUM PRO LIGHT , GERMANY
)
. This impression was sent to the lab for fabrication of primary coping.
4th clinical visit:
Primary copings ( inner telescopic crown ) and male part ( ball ) were seated intraorally to check for their margin and fitting. Primary copings and male part were cemented in patient’s mouth with RMGI luting cement (self cured , riva , Australia)
Pick up impression is taken by impression was made with putty ( zhermack , germany ) and light body addition silicone impression material (
DMG- MATERIAL : HONIGUM PRO LIGHT
, germany )
5th clinical visit:
Maxillo-mandibular relation (Jaw relation) was recorded as follow
VDO was recorded as the the teeth number 15 , 2 and 18 , 31 preserve it
Centric relation is taken by bimanual manipulation ( Dawson manipulation)
Bite registration material is used to record CR
( DMG O-bite , Germany )
The steepness of posterior tooth anatomy and anterior teeth axial inclination is determined by condylar guidance angle ( angle between frankfort plane and condylar path inclination )
the midline and canine line was marked on wax rim inside the patient’s mouth. After that teeth selection and shade matching were done according to patient’s facial profile and aesthetic needs. Teeth arrangement was done and temporary denture was tried for esthetics, phonetics, retention and stability. Flasking and dewaxing were carried out for the final denture. During packing of the final denture, secondary coping was placed on its position on the cast and it was done with heat cure acrylic resin material. The beads present on secondary coping wouldhelp in mechanical retention within the denture.
Female part of ball and socket attachment was placed using self cured acrylic resin
6th clinical visit:
Finished and polished denture was inserted into the patient’s mouth and Occlusion was checked.
Post denture insertion instructions and maintenance of oral hygiene were explained to the patient. The patient will be recalled after 3 and 6 months for a regular check-up.
Done By
Citizen dental team
Dr. Ahmed Ebraheem
Dr. Hadi Al-Wakeel
Lab work :
Professional Mr.Tarek Ali
Share on: