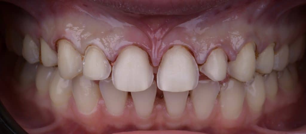
Removing old faulty veeners with open margin and excess cement leading to severe gingival inflammation with new healthy one
Initial situation
After laser disinfection and gingival contouring
After veener removal and adjusting preparation
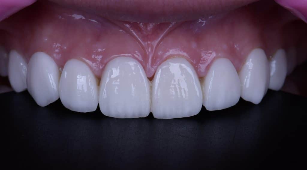
Final results
Initial situation vs final results
Share on: