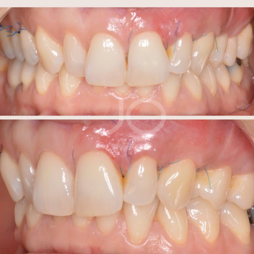
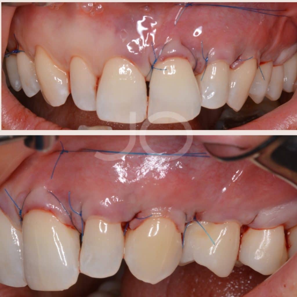
Recessions RT1 at 2.3 and 2.4, RT2 at 2.1 and 2.2 due to papilla loss. In this case, the technique of choice for treating these recessions was the coronally positioned flap with no vertical incisions described by Zuchelli and De Sanctis in the year 2000.
Share on: