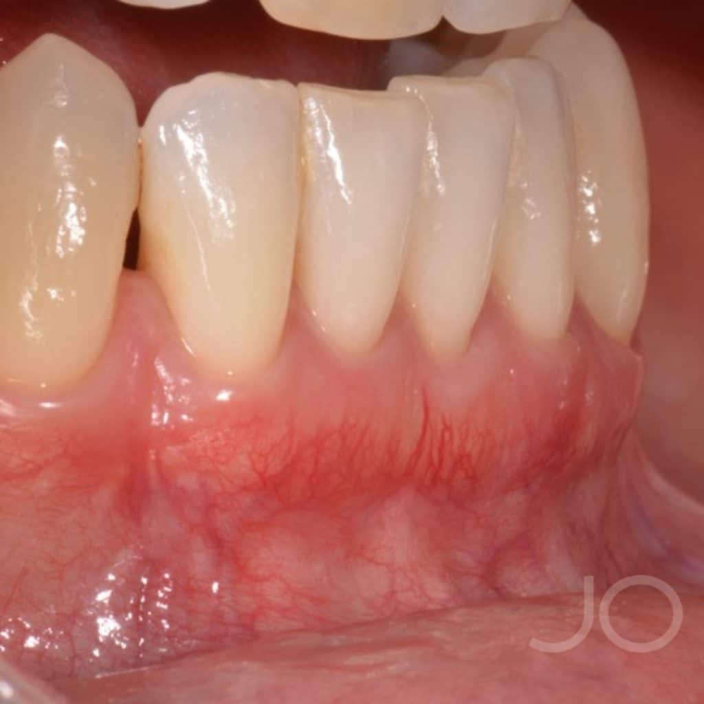
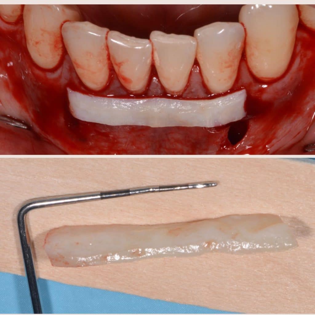
This patient presented with Miller Type III recessions (Cairo’s RT2) with a thin gingival biotype in all four lower incisors. In this case, we opted for a VISTA technique and a connective tissue graft (free de-epithelialized) for its resolution.
Instagram: @javi.ochagavia
Share on: