Dt.Ozan Çubuk, a dentist from Turkey:
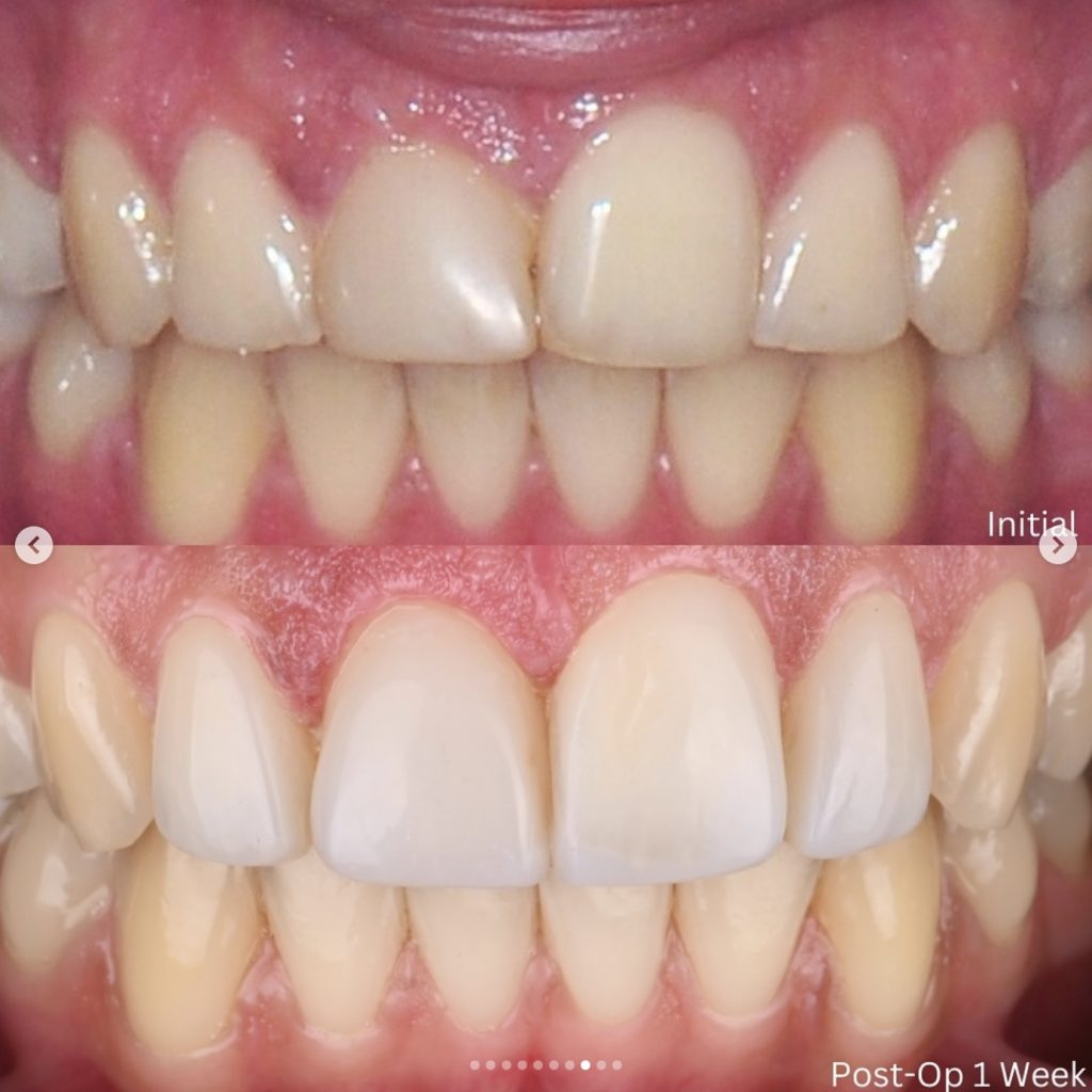
“The 25 year-old patient referred to our clinic due to the asymmetry of her maxillary central incisors, the pit caries on her left maxillary lateral incisor along with the existent restoration on her right maxillary central incisor that had undergone discoloration. The patient was also bothered by the levels of her gingiva not being proportional upon smiling. Her expectations consisted of the form of her teeth to be in alignment with her facial symmetry as well as her gingival levels.
A digital impression was taken using Primescan (Dentsply,Germany) intraoral scanner. Afterwards, using Qlone App, a face-scan data was obtained.
The proposed treatment plan included loading the mock-up that was obtained by the 3D printed wax-up model which was designed on EXOCAD (Germany) software using the digital face-scan data of the patient along with gingivectomy to equalize the levels of the gingiva using a guide that was fabricated based on the 3D printed wax-up model.
Using GC Tempsmart DC, a mock-up that was obtained from the 3D printed wax-up model was fabricated intraorally to forecast the esthetic outcome.
A digital surgical guide that was obtained from the 3D printed wax-up model was fabricated to aid in equalizing the gingival levels of the patient by gingivectomy with electrocautery.
Isolation was achieved using rubberdam with split-dam technique. Each adjacent tooth was covered with teflon tape during the individual injection process.
A cut-back protocol was performed to achieve a more esthetic outcome at the incisal portions.
The surface residues of the teeth were eliminated using a yellow diamond flame bur. Finishing touches were made with Soflex Red Disk (3M) and polishing was performed with Twist Diacomp Plus (Eve).”
Watch Video and images of the case
More information about Qlone
Share on: