it is always a challenge to treat the two anteriors alone, it is more easy than doing only one, but it is always a challenge.
the patient were 22y female dentist, she refused to do composite veneers since the decay is in the labial side and we should remove the decay and at least, scratch the whole labial surface to make the composite filling be bonded.
so asked for the emax veneers, a reasonable choice in my opinion.
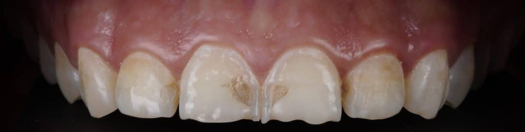
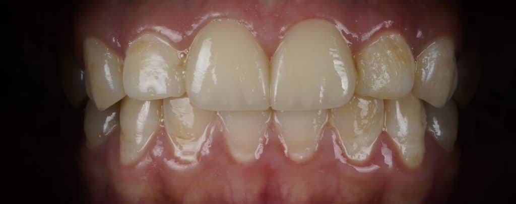
pre operative picture
closer view
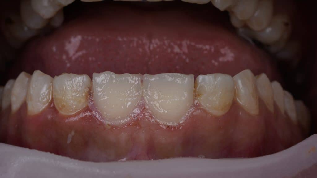
closer view.
we can see how the two centrals damaged and the decay started in the labial surface.
the black color is stains and decay
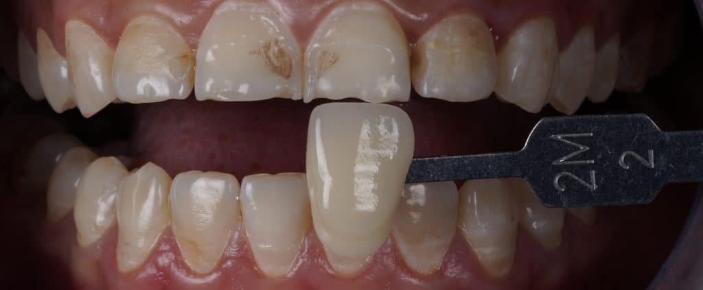
taking the natural die shade
taking the shade
take more than one shade
taking pre-operative impression for the future temporary
gingival correction of the zenith point by diode laser from Biolase
after prep, we removed between 0.2-0.4 from the labial side.
occlusal view
I made two types of finish line for the two centrals, one is butt and the other is light chamfer
37 % acid-etch for the temporary
bonding agent from bisco for the temporary
Bis-acrylate from Ultradent, need some finishing and polishing
37% acid-etch from bisco for 30 seconds. after that wash for 60 seconds, and bonding agent from bisco.
some prefer not light-cure the bonding agent because that will affect the fitness, but I prefer to light-cure the bonding agent since it is a thin layer and I use a lot of air to remove any excess layers of the bonding agent
light-cured resin cement from bisco
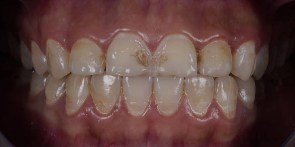
final situation
Share on: