We dentists are never truly satisfied.
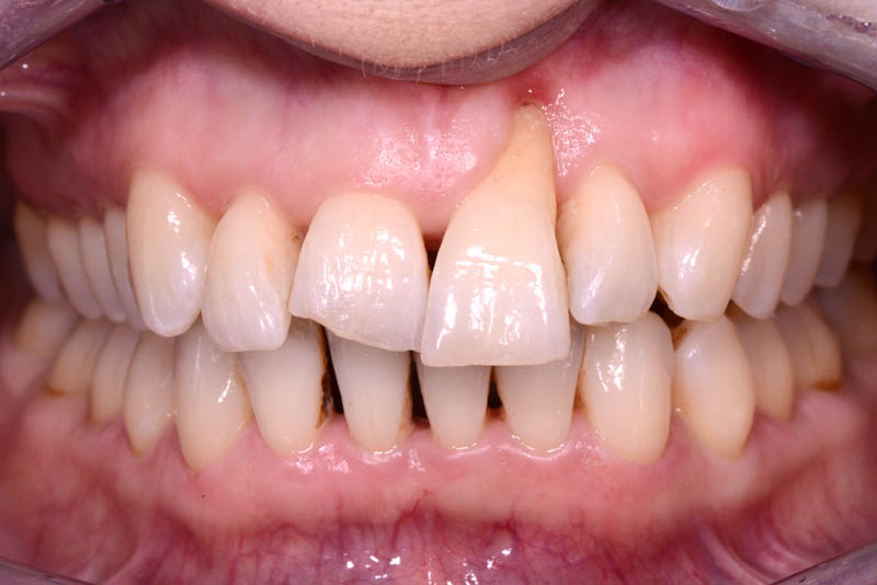
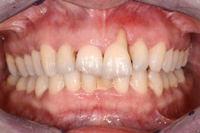
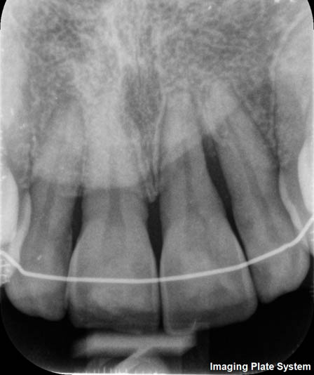
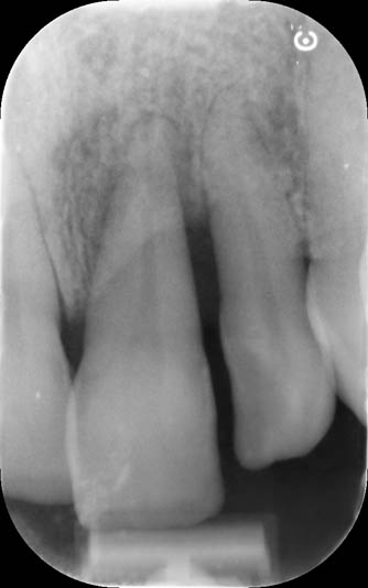
The rehabilitation of this periodontally compromised tooth required a multidisciplinary approach, combining both periodontal and orthodontic treatments.
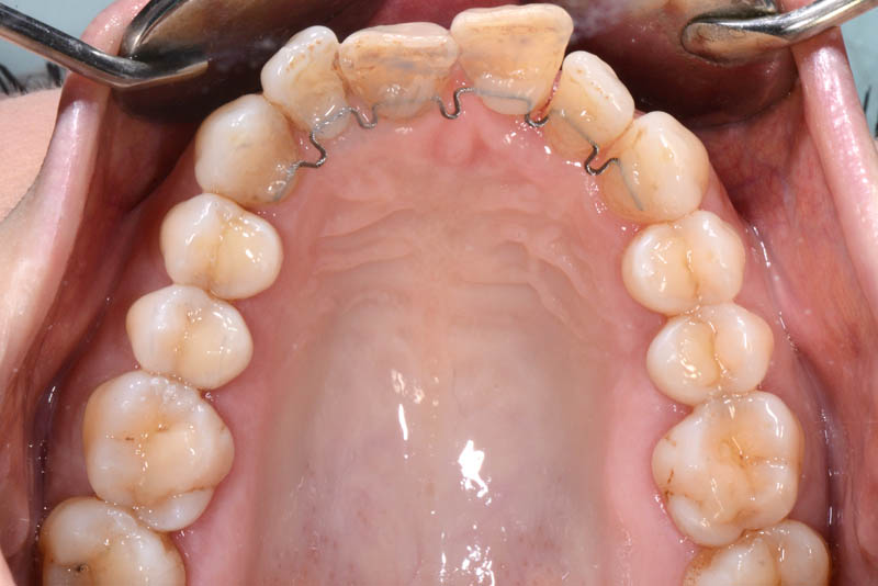
Following an initial phase of non-surgical periodontal therapy aimed at removing subgingival calculus, Dr. Anna Mariniello performed both upper and lower alignment using a lingual, non-bracket orthodontic technique, employing active retainers applied to the lingual surfaces of the teeth.
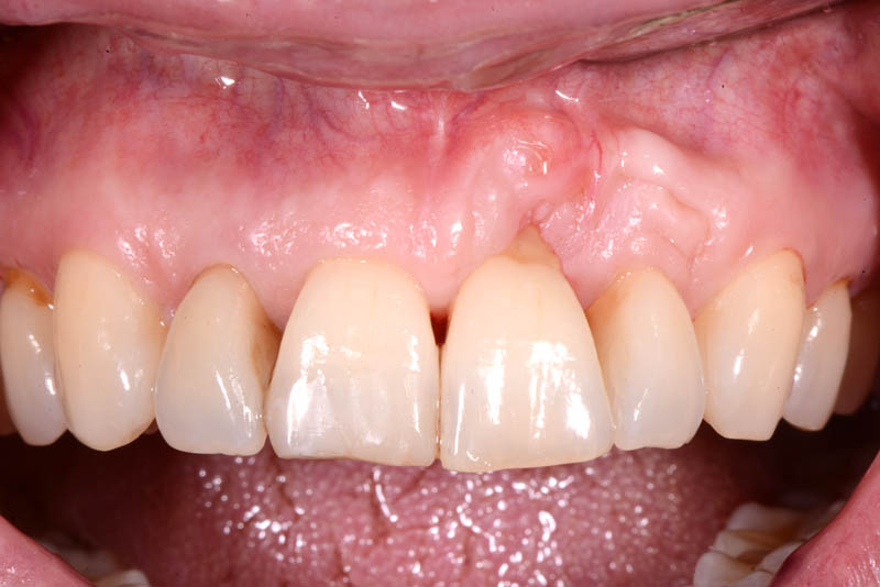
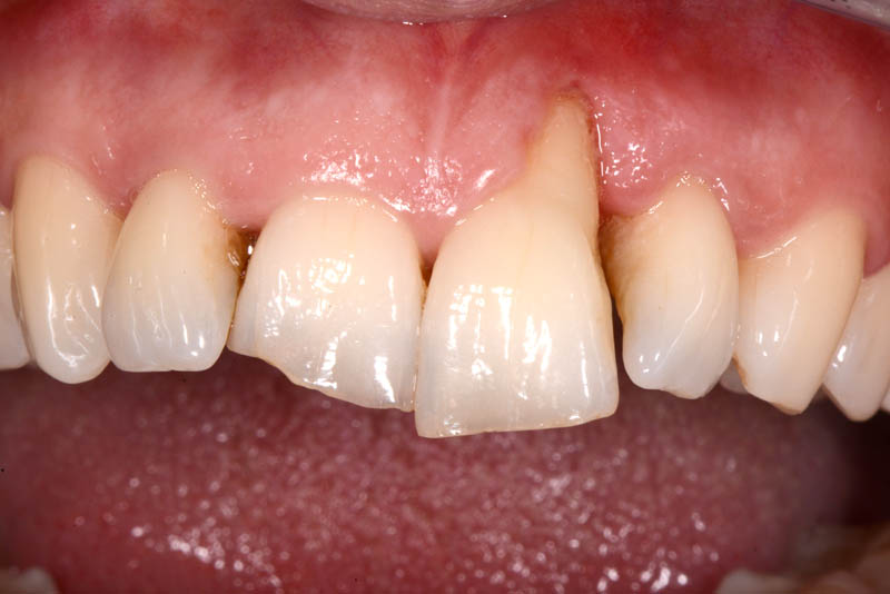
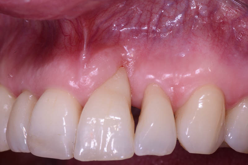
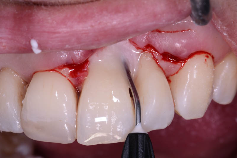
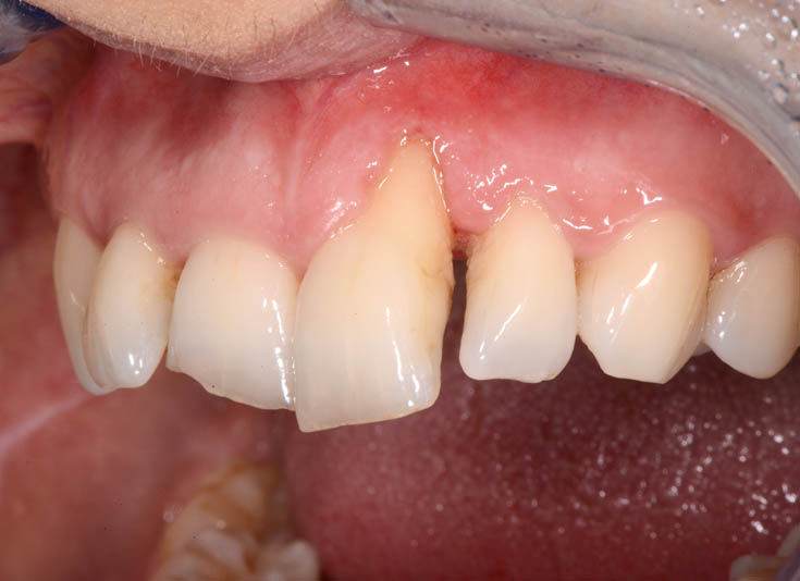
At the end of the orthodontic treatment, a coronally advanced flap was performed according to the De Sanctis and Zucchelli technique, involving papilla preservation and connective tissue grafting, to restore the gingival contour and the papilla between teeth 21 and 22.
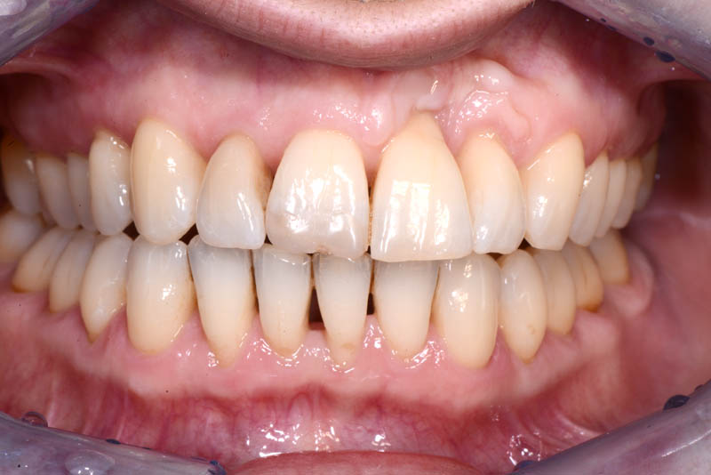
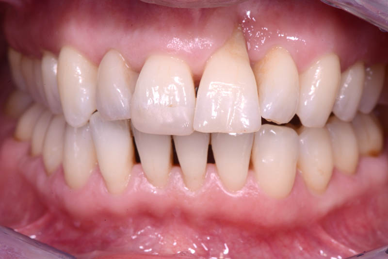
The healing has now reached a 5-year follow-up.
The patient is absolutely delighted with the outcome, but I have repeatedly (and unsuccessfully) encouraged her to undergo a small additional graft to address the minor residual recession on tooth 21.
I even offered to perform the graft free of charge, but she declined.
But then, is it really in the patient’s best interest to undergo another surgical procedure just to fulfill my personal desire for a perfect result?
Even if imperfect, I’m sharing this case.
It may not be suitable for a conference presentation,
but it was undoubtedly the best choice for the patient.
bracketless lingual orthodontic
connective graft
Emdogain Straumann
5 years Follow up
Share on: