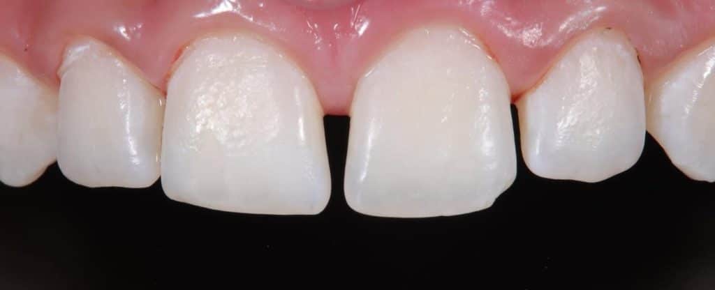
White spot lesions are clinically visible signs
of demineralization of tooth structure. The caries
process, in general, involves loss of minerals from
the tooth due to metabolic events in biofilms or
bacterial plaque. This loss leaves porosities in the
enamel which change the optical properties giving
the opaque, white appearance
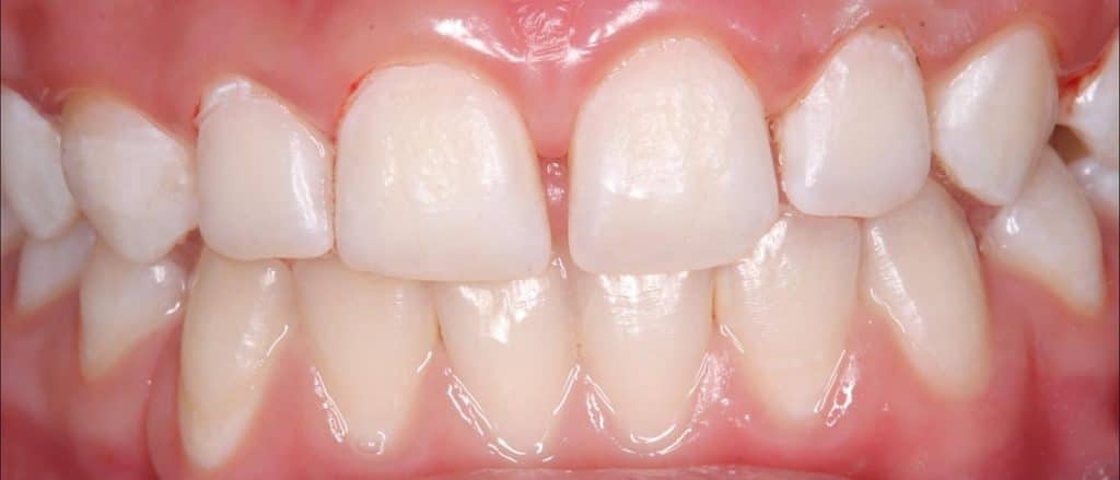
(Icons) is a novel technology providing
an intermediary treatment option between preven-
tion and restorative therapy. The principal of resin
infiltration is to perfuse the porous enamel with
resin by capillary action. This aims to arrest lesion
progression by occluding the microporosities that
provide diffusion pathways for the acids and dis-
solved materials (3). Casein phosphopeptide – Amor-
phous calcium phosphate (CPP-ACP) is consid-
ered as anticariogenic agent used in the treatment
of dental caries and other hypo mineralized con-
ditions. CPP-ACP are a safe and novel carrier for
calcium, phosphate and hydroxide (fluoride) ions
to promote enamel remineralization
Whiteness RM from damg
For microabbrasion and to make resin penetrate better
Let it act for 2 minutes
And rinse the etching gel
After that apply icon_dry and let it act for 30 seconds
The process is repeated until the expected result
When you see that you have reached the expected result
Apply Icon_infiltrant
Let it act for 3 minutes
After that removal of excess material with flossing and curing for 40 seconds
After polishing with diamond paste and gota brush
Share on: