-
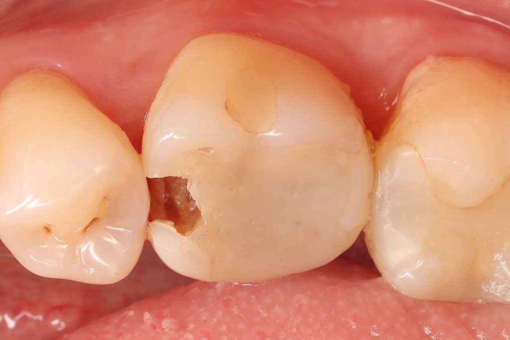
Initial Condition:
Preoperative condition of the tooth showing extensive decay and compromised structure.
-
Preparation and Caries Removal:
Careful preparation and removal of decay reveals deep caries extending into the pulp chamber.
-
Vital Pulp Therapy & Immediate Dentin Sealing (IDS):
Vital pulp therapy performed to preserve tooth vitality, followed by immediate dentin sealing (IDS) to protect the exposed dentin and enhance adhesion.
-
Digital Design & 3D Printing:
Restoration digitally designed in Exocad, then 3D-printed using high-ceramic-content resin. Post-processing includes precise finishing and characterization for optimal esthetics.
-
Try-In Under Rubber Dam:
Precision fit-check of the 3D-printed restoration under rubber dam isolation to ensure accurate margins and contacts.
-
Adhesive Cementation:
Permanent bonding and cementation of the ceramic-filled printed restoration using adhesive protocols under isolation.
-
Final Result:
Completed restoration showing natural aesthetics, precise fit, and functional integration, successfully restoring tooth integrity and health.
Before
Prep
VPT + IDS
Printed restoration in 30 mins
Try in
After the delivery
After
Share on: