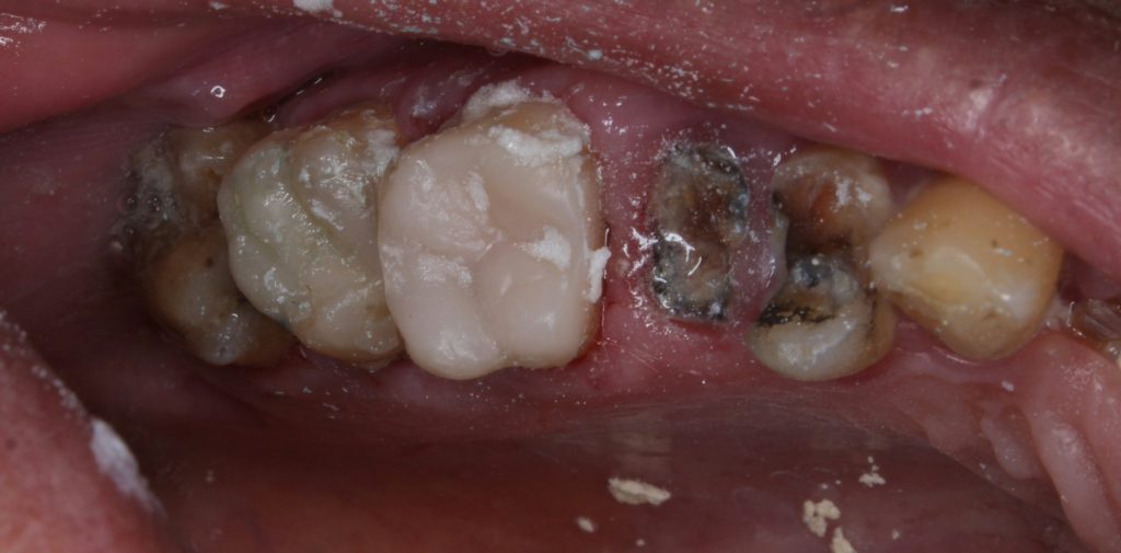
The patient presented with an old defective amalgam restoration on tooth U6. The restoration showed marginal leakage, discoloration, and secondary caries extending subgingivally on the distal aspect.
After local anesthesia and proper isolation with rubber dam, the old amalgam was carefully removed. Upon removal, deep margins were detected and all cavity walls were undermined, necessitating complete removal of unsupported enamel and defective dentin.
Caries excavation was performed until sound dentin was reached. Due to the depth of the cavity and the loss of wall support, gingival retraction was done to gain access and visibility to the deep margin.
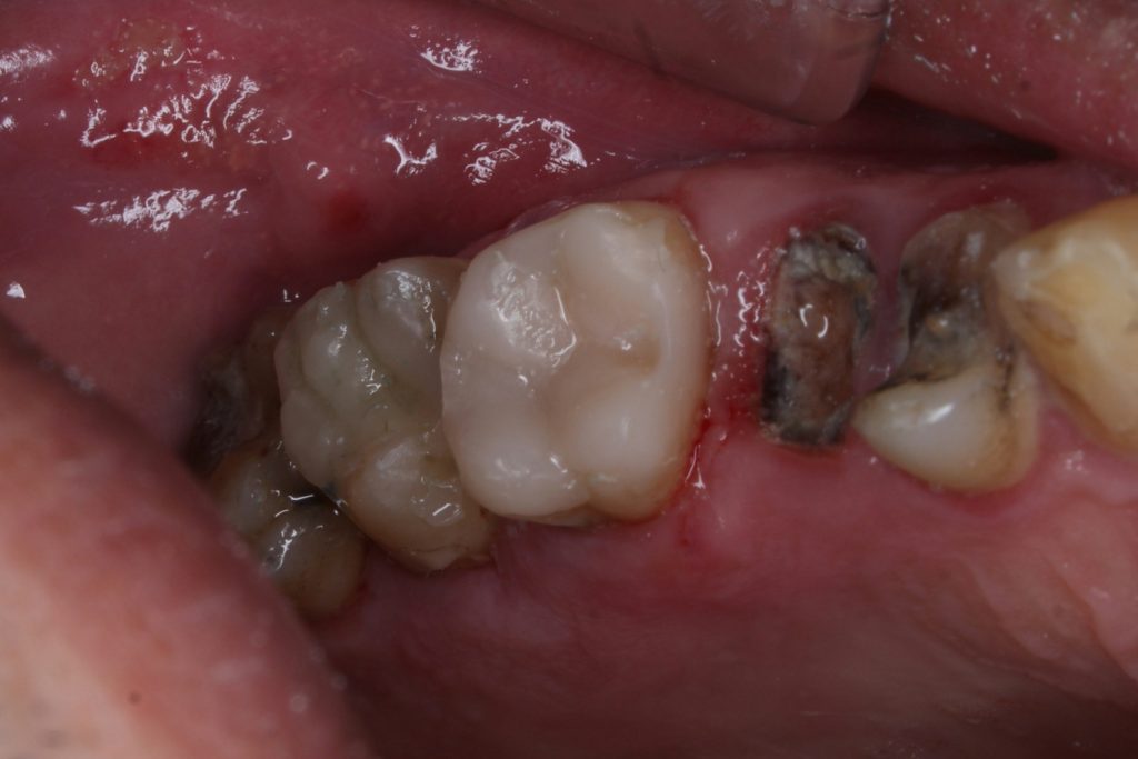
A matrix system was properly adapted to ensure proximal contact and contour. The cavity was etched, bonded, and restored incrementally using nanohybrid composite resin. Each layer was light-cured thoroughly.
After finishing and polishing, the occlusion was checked and adjusted to eliminate any premature contacts. The final restoration achieved excellent marginal adaptation, anatomical contour, and aesthetic appearance.
—
Clinical Notes:
Tooth: U6 (Upper First Molar)
Old Restoration: Amalgam (defective)
Findings: Deep distal margin, secondary caries, undermined enamel walls
Procedures:
Removal of old amalgam restoration
Caries removal and cavity refinement
Gingival retraction for deep margin access
Build-up of all walls with composite resin
Finishing, polishing, and occlusal adjustment
Isolation: Rubber dam
Final Outcome:
Functional and aesthetic restoration with proper marginal seal and contour.
Share on: