Subgingival plaque and calculus can lead to gingivitis.. which then results in periodontal breakdown and bone loss.
This patient presented with pain and swelling in relation to his lower left canine and lateral incisor.
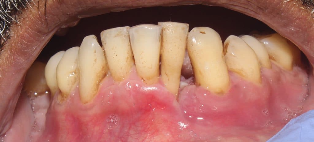
Calculus was ++
Scaling was followed by flap elevation, removal of granulation tissue and most importantly.. all subgingival calculus.
Healing at 1 week and 2 weeks in shown with characteristic recession and reduced pocket depth.
Clinical presentation showing swelling in relations to the lower left canine and lateral incisor..
flap raised..
bone defect noted.. and all granulation tissue curreted..
subgingival calculus is noted and then removed..
sling and simple interupted sutured used to close the flap.. patient put on antibiotics, analgesics and chlorhexidine..
healing at 1 week at suture removal.. note the resolution of the abscess..
healng at 2 weeks. note the developing recession.. and reduction in pocket depths.
Share on: