Miller’s class III/ Cairo’s RT2 root recessions in the mandibular anterior area still represent a major clinical challenge owing to anatomical conditions and aesthetic requirements. Autogenous connective tissue grafts from the palate associated with coronally advanced procedures are still the gold standard for root coverage in periodontal plastic surgery. On the other hand, tuberosity soft tissue grafts may be a better option in terms of function and less postoperative pain. However, literature says the latter may result in an unesthetic hyperplastic response, and when esthetic results are of primary concern, it is believed that a connective tissue graft harvested from the palate may provide better outcomes.
The use of a connective tissue graft from the palate with epithelial component has been shown to improve the outcome of root coverage and alignment of mucogingival junction, however there is no literature on this kind of graft from the tuberosity.
Case Report:
The purpose of this report is to show a two year follow up of an esthetic root coverage of a Miller’s Class III and Cairo’s RT2 Root Recession in the esthetic zone, a wide and deep recession on a very thin gingival biotype patient, using a partly epthitelialized tuberosity connective tissue graft in a tunneling procedure, an non-obvious solution to a significant clinical challenge.
Conclusion:
The mixed connective/epitelial tuberosity graft associated with a tunneling technique should be considered when facing Miller class III/Cairo RT2 gingival recessions in the esthetic zone.
Bibliography:
Zucchelli G, Tavelli L, McGuire MK, Rasperini G, Feinberg SE, Wang HL, Giannobile WV. Autogenous soft tissue grafting for periodontal and peri-implant plastic surgical reconstruction. J Periodontol. 2020 Jan;91(1):9-16. doi: 10.1002/JPER.19-0350.
Cortellini P, Tonetti M, Prato GP. The partly epithelialized free gingival graft (pe-fgg) at lower incisors. A pilot study with implications for alignment of the mucogingival junction. J Clin Periodontol. 2012 Jul;39(7):674-80. doi: 10.1111/j.1600-051X.2012.01896.x.
Amin PN, Bissada NF, Ricchetti PA, Silva APB, Demko CA. Tuberosity versus palatal donor sites for soft tissue grafting: A split-mouth clinical study. Quintessence Int. 2018;49(7):589-598. doi: 10.3290/j.qi.a40510.
High Smile Line
Miller’s Class III or RT2 Gingival Recessions
CBCT showing vertical dehiscence on tooth 11
Tuberosity Graft
Tuberosity Graft divided
Suturing
Close up suturing tooth 11
Close up suturing tooth 32
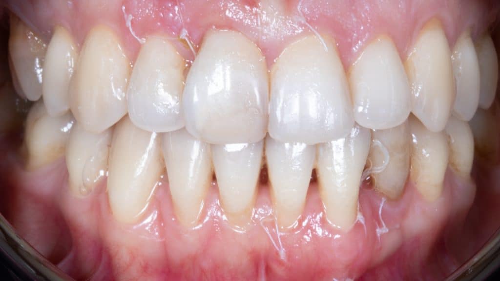
Follow up 2 weeks
Close up follow up 2 weeks tooth 11
Close up follow up 2 weeks tooth 32
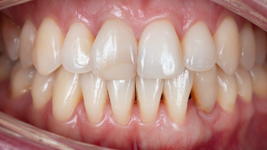
24 months follow up
24 months following periodontal plastic surgery showing keratinized tissue width gain. Occlusal direct view.
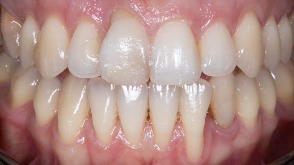
24 months follow up, close up tooth 32
24 months following periodontal plastic surgery showing no signs of hyperplastic response. Occlusal view (mirror image)
Share on: