Brand: Lithium disilcate onlay
Material: Gold standard clearfil SE bond , Ever x posterior
Technique: Partial coverage techbique
Patient came to clinic asking to restor her lower wisdom tooth After removing the old bad filling and complete the cavity design the best filling was the indirect Lithium disilicate onlay Details under each photo…
Brand: G-aenial composite from GC
Material: Fiber reinforced composite for dentin replacement
Technique: Direct onlay composite up technique
Direct composite for posterior lower 7 , G-aenial composite from GC for enamel replacemnt and Ever x psterior for dentin replacement . …
Brand: Tokuyama composite Palfique LX5 anterior
Material: Saddel metal band ,ever x posterior
Technique: Composite up
Rotated tooth managed in a way differs from straight tooth from point of band placement and even isolation Here we will show how this rotated premolar managed …
Brand: Gold standard SE bond , NeoMTA
Material: Tukoyama posterior , Ever x posterior for dentin replacement
Technique: Composite up technique , Direct onlay
Lower 1st molar with old bad amalgam filling restored by direct composite restoration that reinforced by Ever X posterior for dentin replacement and moer strength to the filling When the patient can’t tolerate the cost of indirect lithium disilicate we…
Brand: Tokuyama composite Palfique LX5
Material: Ever x posterior , Saddle metal for deep margin
Technique: Marginal elevation with Composite up technique
When the patient can not afford the cost of indirect restoration so we have to go with direct one and try to strengthen it by biomimetic materials like at least Ever X posterior Technique: Composite up technique , Direct…
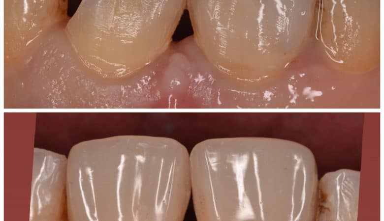
Brand: Tokuyama composite, 3M composite
Material: Universal bondind system, Maylar strip, Tokuyama
Technique: Direct composite layring technique
55 years old Diabetic pateint come to clinic asking for restoring her left central incisor ,so when I look for her centrals I offer her to fix them both not only the left central She was old diabetic patient with…
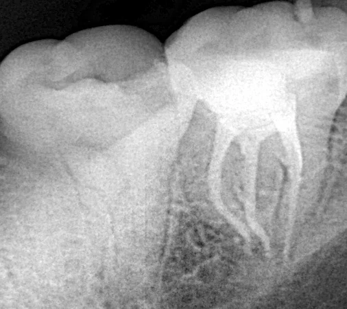
Brand: E.max Overlay
Material: Preheated composite for cementation
Technique: Cuspal coverage technique
After Endodtontic treatment the tooth will be weak and brittle and bron to fracture more than the vital tooth with large loss in its stracture So when there is massive tooth stracture loss after Endodontic treatment we try to save…
Brand: GC ,Tukoyama
Material: Ever X Posterior
Technique: Composite up technique
In cases of large cavity the choise of the type of restoration mostly go with indirect restoration(crown or onlay overlay ) when there is agreat loss of tooth structure to prevent fracture of the tooth and for long term treatment…