Initial
Patient complain from Mild pain with cold
Rubber dam in place
Cavity design
Wedge selection
Caries removal end point
Start with first premolar
Place two mtarix back to back to equally divide the space
5 turn
One matrix removed to assure tight contact
Immediate post op
Contact area
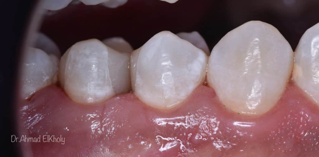
Finished and polished
Pre op Vs Post op radiograph
Share on: