Fibre reinforced composite is a super strength direct white filling material that be can used to restore teeth in an incredible number of ways.
It is a combination of conventional dental composite (white fillings) and glass fibres to give the same level of strength and flexibility that you get in boats, light aircraft and F1 racing cars.
The fibres are typically long thin strands of glass fibre that are aligned as meshes or strips depending on their requirement. They can be adapted by hand to connect teeth together, reinforce cracked or undermined teeth or support crowns and bridges. The combination of direct white fillings and reinforcing glass fibres is a truly potent one as it allows an amazing blend of strength and aesthetics with the least possible amount of drilling to sound tooth tissue. Because we can place large fillings directly in the mouth we can often reduce the need for more costly crowns and overlays. This can save our patients both time and money, whilst saving the tooth as well.
Initial view : 27 years old man suffered from sharp pain related to upper posterior area
CBCT Showing large peri apical lesion related to bad endodontic treatment upper 6 and missing mb2
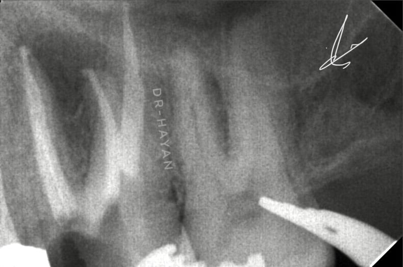
Peri apical x-ray
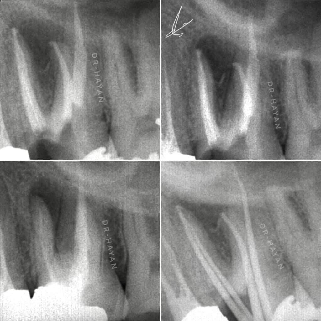
After 12 visit of irrigation protocol and intra canal medication
After completing drying the canal
Irrigation protocol for final obturation
Naocl 5.25% from the start till u finish the shaping and in between files and etc..
After you finish shaping all the canal
Naocl aftr heating ➡️ Activate 30 sec each canal
Saline activate
Edita aftr heating ➡️ activate
Naocl aftr heating ➡️ Activate 30 sec each canal
Saline activate
Chx activate
Saline
Dry
Edita solution 17%
Chx 2%
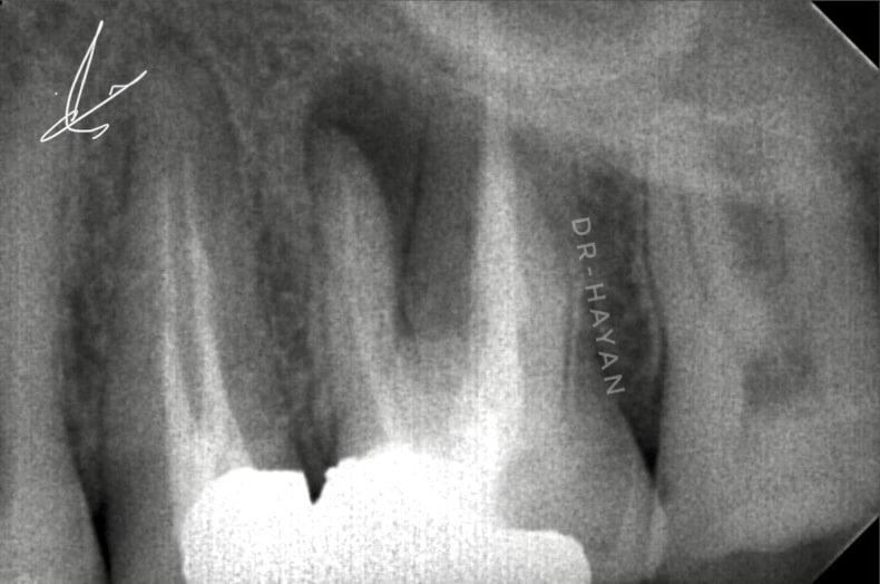
WVC obturation by bio ceramic sealer
After total etching and application OT prime
For Deactivate matrix metalloproteinases. This prevents 25% to 30% of bond strength from being degraded.45 Deactivation can be achieved by using a 30 second treatment with ot prime or CHX
Then bonding and resin coating on dentine
Resin coat the immediate dentin sealing. This can be done with a flowable resin or a lower viscosity restorative composite with a modulus of elasticity of around 12 GPa. This ensures that the dentin bonding system is fully polymerized even if the pressure of pulpal fluid transudation (in conjunction with the air-inhibited layer) has made the adhesive too thin to be polymerized due to airinhibition. Once the dentin bonding system is resin coated and the resin coating is light polymerized, the air inhibition and transudation stop. This step also creates a “secure bond,” which means that if the onlay was ever dislodged from the resin coating, the resin coating would stay bonded to the sealed dentin , after that should be
Decouple with time. This protocol states that polymerization shrinkage stress to the developing dentin bond of the hybrid layer should be minimized for a certain period of time (ie 5 to 30 minutes) by keeping initial increments to a minimum thickness (ie less than 2mm).
This procedure neutralizes the “Hierarchy of Bondability,” which states that the shrinkage of composite moves toward (or “flows” toward) the walls of the preparation that are the most mineralized and dry and flows away from the walls of the preparation that are the most moist and organic.
After deep marginal acquisition ✅
Bonding ✅
Resin coating ✅
Decouple with time✅
ready for DME and class II
Polyethylene fibers reinforced with an ultra-high modulus of elasticity, Therefore, they have been widely used to increase the fracture strength of restorative and prosthetic materials in dental practice. In addition, a polyethylene fiber network can effectively modify the stress dynamics at the interface between the enamel, composite, and adhesive materials, and it provides effective force transfer
Polyethylene fibre is frequently used in dental materials to improve the mechanical properties of restorations , A polyethylene fibre at the interface of adhesive materials effectively changes the stress dynamics and allows for the effective transfer of forces
Polyethylene fibre Ribbond was adopted to cavities using a bonding agent and a flowable composite.
For large restorations, place fiber inserts on pulpal floor and/or axial walls to minimize stress on the developing bond strength of the hybrid layer. The fiber nets allow the composite on either side of the net to move in different directions via micro shifting of the woven fibers. The polymer network is still highly connected, but the polymerization shrinkage does not stress the hybrid laye
Short Polyethylene fiber in middle bulk
,Ever x flow and ever x packable in midel
Everx need to stop a little lower , leave around 1.5-2mm for the packable compsite
Bulk fill flow SDR to smoothing the restoration and fill the cavities
neospectra composite shade A3
Layering cups by cusp
Before finishing
After finishing and polishing
Lateral view
The homogenization of marginal acquisition, DME and mesial wall bulding up
Compsite VS Amalgam
After rubber dam removal and extra polishing
Bio base
Most important step for hermetic contact
That it’s
Share on: