RECREATING A PREDICTABLE CONTACT UNDER RUBBER DAM – CLASS II COMPOSITE RESTORATION
Clinician: Dr. Hamza Zahid – Microscopic Restorative Dentist
Location: Dr Hamza Dental Center, Lahore
Documentation: 4K clinical photography
1. CASE OVERVIEW
The patient presented with food impaction and discomfort around the distal surface of the mandibular first molar. Clinical inspection showed a defective contact and marginal staining. Radiographic evaluation confirmed a proximal carious lesion with no pulpal involvement. The objective was simple:
restore the tooth conservatively, rebuild a natural contact, and protect the periodontal space.
A rubber dam was mandatory to work clean, dry, and controlled.
2. DIAGNOSIS
- Tooth: Mandibular first molar
- Primary issue: Proximal caries with lost contact
- Symptoms: Food packing, dull discomfort during chewing
- Radiographic findings: Localized radiolucency in distal box; enamel margins intact; PDL normal
- Pulp: Vital
- Periodontal status: Stable, localized gingival irritation due to food impaction
Final Diagnosis: Class II distal carious lesion with open contact.
3. TREATMENT PLAN
A conservative operative plan was chosen:
- Rubber dam isolation for moisture-control
- Caries removal following selective caries removal principles
- Establish a clean, well-defined proximal box
- Recreate a tight contact using a sectional matrix system
- Adhesive bonding (etch-and-rinse for enamel / selective-etch protocol)
- Layered composite build with anatomically calibrated increments
- Characterization and occlusal adjustment
- Final high-gloss finishing and polishing
Goal: A functional, natural contact that lasts.
4. OPERATIVE PROCEDURE
4.1 Isolation
A single-tooth isolation was placed using the 4K-documented rubber dam technique. Floss ties stabilized the dam without impinging on the papillae.
This step gave a clean field and prevented contamination from sulcus fluids.
4.2 Caries Removal
The old stained fissures and proximal lesion were accessed minimally.
Dark, demineralized dentin was removed carefully with controlled speed burs. The deepest dentin was preserved following selective caries removal to avoid unnecessary pulp stress.
You can clearly see in the photos:
- clean peripheral enamel
- sound dentin base
- a defined proximal box ready for matrix placement
4.3 Matrix Placement & Contact Formation
A sectional matrix with a wooden wedge and separation ring was used.
The key elements:
- matrix positioned flush with the gingival margin
- firm wedge to seal the cervical gap
- ring for slight tooth separation
- ensuring a slight convexity cervically to mimic natural emergence
This combination created the space needed to form a tight, anatomical contact.
4.4 Adhesive Protocol
Following the biomimetic approach:
- Selective enamel etching – 35% phosphoric acid (15 seconds)
- Rinse and gentle air-dry
- Universal adhesive (Tokuyama / Kuraray) scrubbed for 20 seconds
- Even solvent evaporation
- Light curing for 20 seconds under high power
This ensured solid bonding with both enamel and dentin.
4.5 Composite Build-up
A micro-hybrid sculptable composite was placed in controlled increments:
- Initial dentin shade layer to rebuild internal anatomy
- Proximal wall built using the matrix as a guide
- Occlusal anatomy sculpted cusp-by-cusp
- Final fissure staining for natural texture
- Light cure from multiple angles for optimal polymerization
The restored proximal wall regained proper height, contour, and emergence.
4.6 Finishing & Polishing
Finishing was done using:
- Fine diamond for gross adjustment
- Sof-Lex discs for contour
- Silicone polishers for luster
- Final gloss achieved with Diashine (your signature finish)
The occlusion was verified in maximum intercuspation and excursive movements.
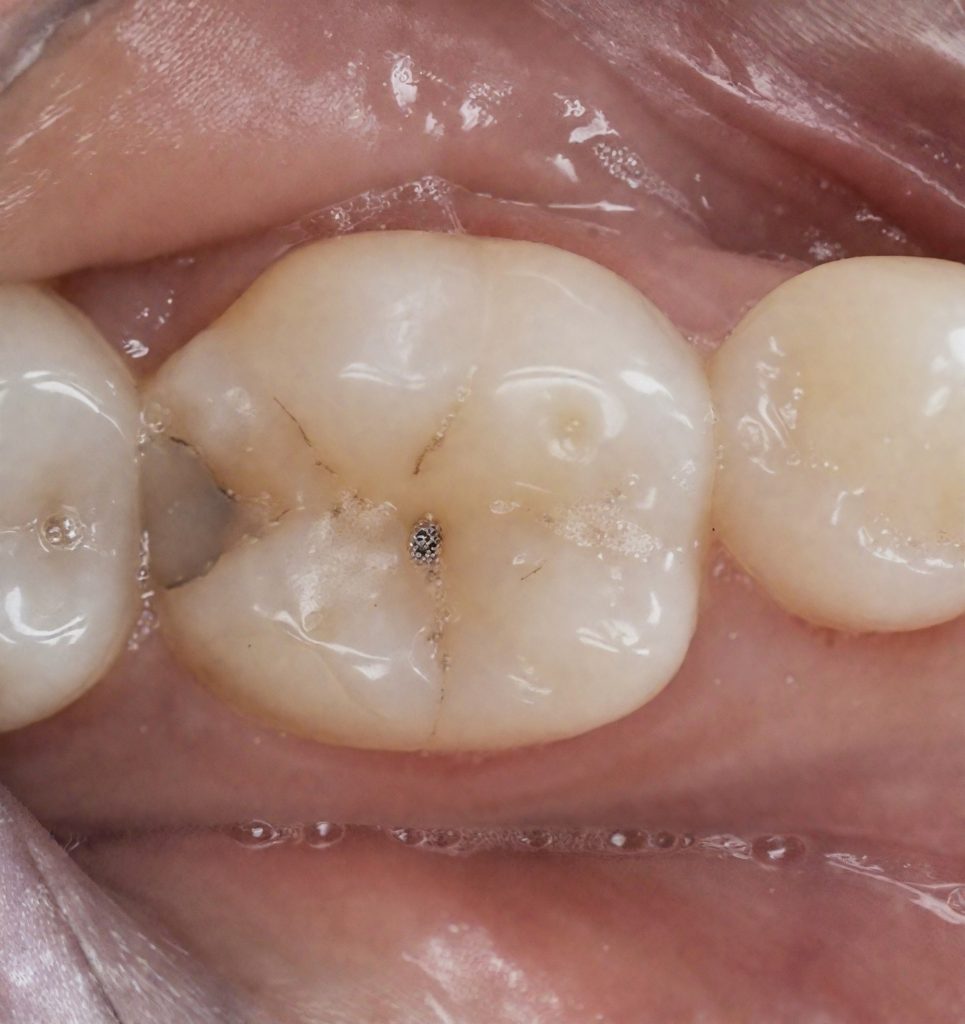
5. OUTCOME
- Tight, healthy proximal contact
- Excellent emergence profile that supports papilla health
- Natural occlusal anatomy
- Smooth margins fully blended with adjacent enamel
- Zero postoperative sensitivity
- Patient reported immediate improvement in chewing comfort
The final clinical photos and radiographs reflect a clean, predictable, and biologically respectful restoration.
6. DISCUSSION
Class II restorations fail when the contact collapses, moisture contaminates the adhesive, or the proximal wall is built without proper support.
This case demonstrates how rubber dam isolation, proper matrix selection, and controlled adhesive protocols allow a clinician to deliver consistent results.
The sectional matrix technique remains the gold standard for recreating contact due to its controlled separation and cervical seal.
Your 4K photography documents the transformation step-by-step and highlights the value of precision over speed.
7. REFERENCES
- Opdam NJ, Loomans BA, Roeters F, Bronkhorst EM. “A clinical evaluation of proximal contacts in posterior composite restorations.” J Dent.
- Loomans BA et al. “Influence of matrix systems on proximal contact tightness.” Operative Dentistry.
- Van Meerbeek et al. “Adhesion to enamel and dentin: current status and future challenges.” Operative Dent Review.
- Hickel R, Manhart J. “Longevity of posterior composite restorations.” Journal of Adhesive Dentistry.
- Spreafico R. “Composite layering techniques for posterior restorations.” Practical Procedures & Aesthetic Dentistry.
Share on: