Biological Apexification of a Traumatised Immature Permanent Incisor Using ProRoot MTA and BioSeal Under Rubber Dam Isolation
Category: Trauma Management | Endodontics | Apexification
Keywords: Immature tooth, open apex, trauma case, apexification, MTA, BioSeal, rubber dam isolation
⸻
Abstract
This case describes the endodontic management of a traumatised immature maxillary central incisor with an open apex. A single-visit apexification using ProRoot MTA was performed to establish an apical barrier, allowing long-term tooth preservation. BioSeal bioceramic paste was used to enhance sealing and promote apical healing. Strict rubber dam isolation and microscopic control ensured precision and biological success.
⸻
Chief Complaint
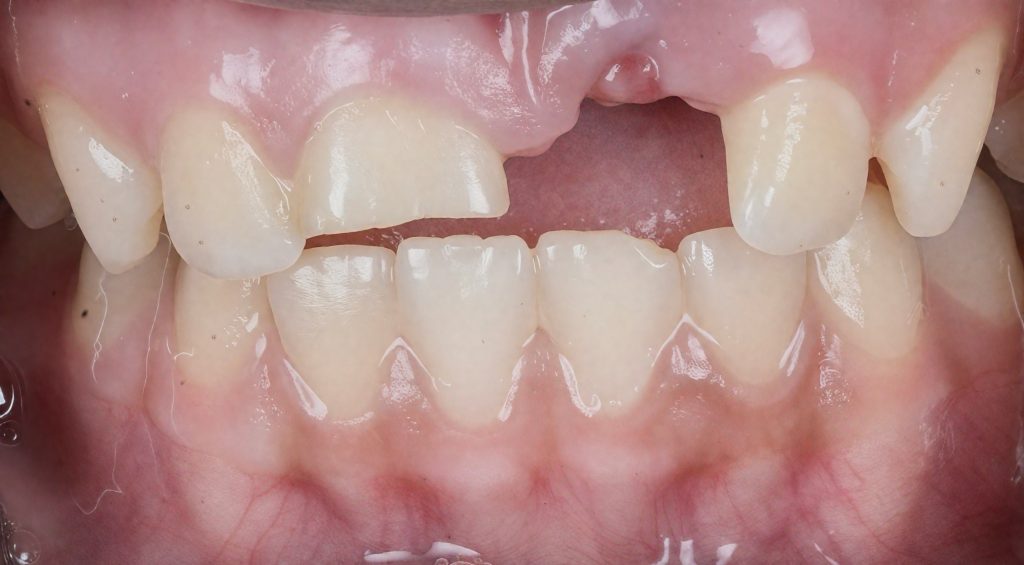
“I injured my front tooth a long time ago and it has now discoloured and become painful.”
⸻
History
•History of trauma to anterior maxillary region.
•Tooth remained untreated initially.
•Later developed pulpal necrosis and arrested root development.
•Patient sought treatment due to aesthetic concern and occasional discomfort.
⸻
Clinical Findings
•Tooth: Maxillary Central Incisor (#11)
•Immature root with open apex
•Discolouration present
•No mobility or sinus tract
•No periodontal pocketing
•Electric pulp test negative
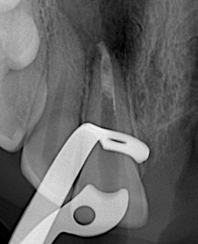
Radiographic Findings:
•Blunderbuss canal
•Thin dentinal walls
•No apical constriction
•Mild periapical changes suggestive of inflammatory root resorption
⸻
Diagnosis
Non-vital immature permanent tooth with open apex – Post-Traumatic Pulpal Necrosis
⸻
Treatment Plan
✔ Single-visit apexification
✔ Placement of 4–5 mm ProRoot MTA apical plug
✔ Reinforcement with BioSeal bioceramic material
✔ Rubber dam isolation under microscope
✔ Composite access seal
✔ Periodic monitoring for healing
⸻
Clinical Procedure
Step 1 – Isolation and Access
Rubber dam applied for absolute isolation. Conservative access cavity prepared under dental microscope to preserve coronal tooth structure.
Step 2 – Canal Preparation
Working length established using apex locator and radiograph. Gentle canal debridement performed using 2.5% NaOCl irrigation to avoid extrusion beyond immature apex. Minimal instrumentation due to fragile dentinal walls.
Step 3 – Smear Layer Control
Final irrigation protocol:
•2.5% NaOCl
•Saline wash
•17% EDTA (short application)
•Final rinse with saline
Step 4 – Apical Barrier Formation
A collagen barrier was not required due to controlled MTA delivery. ProRoot MTA was placed incrementally in the apical 4–5 mm using a micro-carrier and condensed with an MTA plugger under microscope guidance.
Step 5 – BioSeal Application
After verifying the apical barrier radiographically, BioSeal bioceramic material was used to seal the remaining canal space coronally.
Step 6 – Coronal Seal
Moist cotton pellet placed temporarily for initial setting of MTA. Access cavity sealed with bonded composite to prevent coronal leakage.
⸻
Outcome
•Immediate apical seal achieved
•Root canal system biologically stabilised
•No extrusion or postoperative pain
•Radiographic follow-up scheduled for 3 months
⸻
Discussion
Managing immature teeth with open apices remains a clinical challenge due to lack of apical constriction and weak root walls. ProRoot MTA is biocompatible, promotes cementogenesis and apical hard tissue formation, making it the gold standard for apexification. The addition of BioSeal bioceramic material provides superior sealing properties and long-term dimensional stability. Rubber dam isolation and microscope control are essential for procedural accuracy.
⸻
Conclusion
A biological, conservative and predictable outcome was achieved using MTA apexification. This approach allows long-term preservation of immature traumatised teeth while maintaining structural integrity.
⸻
References
- Torabinejad M. et al. Mineral Trioxide Aggregate Properties and Clinical Applications. JOE.
- Felippe WT et al. Apexification – Review of Techniques and Outcomes. Dent Traumatol.
- Rafter M. Apexification: Current Concepts. Dent Clin North Am.
Share on: