Comprehensive Smile Rehabilitation Using E.max Crowns in a Patient with Previous Dental Trauma and Open Apex Management
Category:
Esthetic & Restorative Dentistry | Trauma Management | Digital Smile Design
Keywords:
E.max Crowns, Smile Makeover, Non-Vital Bleaching, Apexification, Exocad Design, Trauma Case
Abstract
This case presents a full smile rehabilitation using lithium disilicate (E.max) crowns in a patient with a history of dental trauma and severely discolored anterior teeth. The patient had previously undergone MTA apexification to manage an open apex. Due to time constraints and the patient’s refusal of orthodontic treatment, an interdisciplinary digital restorative approach was undertaken. The treatment included non-vital internal bleaching, digital smile design (DSD) using Exocad, and minimal preparation E.max crowns to restore function, symmetry, and esthetics.
Chief Complaint
“I don’t like my smile. My front teeth are discolored and uneven. I want a natural and beautiful smile, but I cannot go for braces.”
Medical & Dental History
- No systemic illness.
- History of traumatic injury involving anterior maxillary teeth during adolescence.
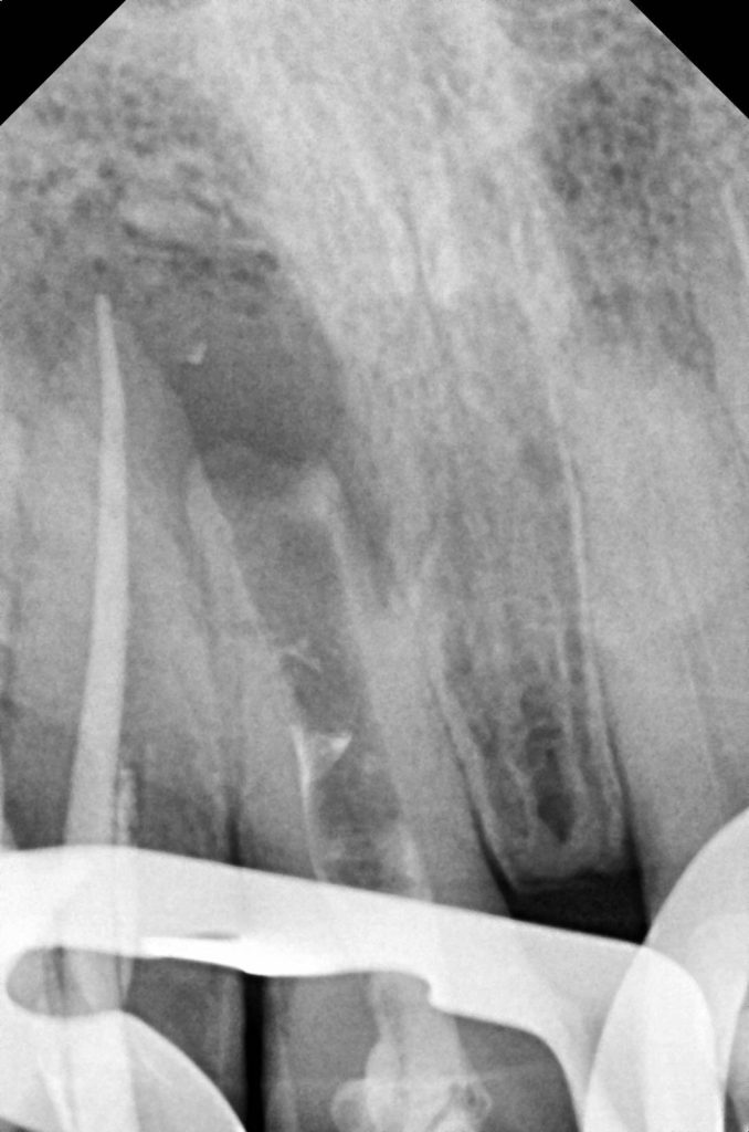
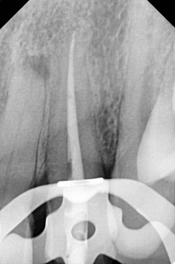
- Prior root canal therapy with open apex—managed using MTA-based apexification.
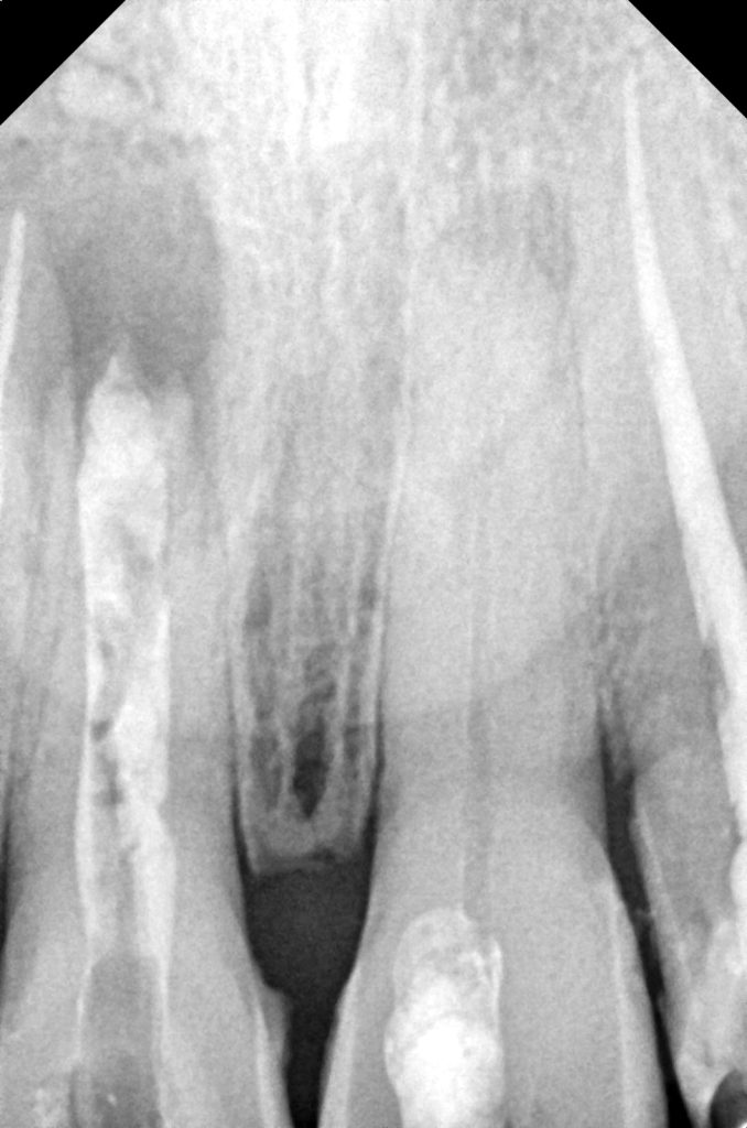
- Moderate discoloration of tooth #11 and #21.
- Slight midline discrepancy; patient declined orthodontic correction.
Diagnosis
- Post-traumatic discoloration due to pulpal necrosis.
- Residual esthetic defect after apexification.
- Asymmetrical incisal edges, smile cant, and uneven gingival margins.
- Reduced incisal guidance.
- Class I occlusion maintained.
Treatment Plan
✅ Internal non-vital bleaching for discolored tooth
✅ Pre-prosthetic build-up where required
✅ Digital smile evaluation and mockup with Exocad
✅ Minimally invasive tooth preparation
✅ E.max (Lithium Disilicate) Crowns for maxillary anterior smile zone
✅ Adhesive cementation and occlusal refinement
✅ Final smile evaluation and follow-up
Clinical Procedure
Step 1 – Shade and Bleaching Protocol
- Tooth discoloration managed with non-vital bleaching using walking bleach technique.
- Multiple bleaching cycles until desired base shade achieved.
- Allowed stabilization period before shade selection.
Step 2 – Digital Smile Design
- Intraoral scans were taken using 3Shape / Medit i700.
- Extraoral smile analysis performed.
- Exocad digital smile design software used to plan incisal edge position, midline alignment, and tooth proportions (golden proportion reference).
- Approved by patient after digital mock-up preview.
Step 3 – Crown Preparation & Soft Tissue Management
- Minimal preparation preserving enamel for adhesive bonding.
- Necessary gingival recontouring done using electrocautery/laser for symmetry.
- Retraction cord + PTFE isolation for margin control.
Step 4 – Provisional Stage
- Temporaries fabricated using mock-up index.
- Esthetics and phonetics tested – patient approved shape and length before finalization.
Step 5 – Definitive E.max Crown Fabrication
- Lithium Disilicate (E.max Press / CAD) crowns fabricated in layered A2 shade with internal characterization.
- Surface texture and translucency customized for natural esthetics.
- Try-in performed for:
- Midline accuracy
- Smile arc
- Cervical emergence
- Phonetics (“F” and “V” sounds)
Step 6 – Adhesive Cementation
- Crowns etched with 5% hydrofluoric acid.
- Silane applied.
- Teeth etched + bonded.
- Cemented using dual-cure resin cement (Variolink / RelyX Veneer).
- Excess removed and margins polished.
Result
- Smile completely transformed with natural esthetics and lifelike translucency.
- Gingival harmony and midline corrected digitally without orthodontics.
- Function restored with proper incisal guidance.
- Patient satisfaction: ⭐⭐⭐⭐⭐
Discussion
This case demonstrates a patient-centered approach for trauma-induced anterior esthetic defects. Traditional orthodontics was declined, so a conservative prosthetic approach was chosen. With advancements in digital dentistry, Exocad planning and E.max ceramics allowed us to restore:
✅ Tooth proportion
✅ Smile symmetry
✅ Natural shade transition
✅ Functional guidance
Previous MTA apexification provided apical stability, allowing safe buildup and crown retention. Non-vital bleaching minimized aggressive preparation and preserved tooth structure.
Conclusion
Digital workflow combined with biomimetic ceramic materials can achieve highly predictable esthetic outcomes in complex trauma cases—even without orthodontics. E.max crowns remain a reliable long-term solution for a natural and stable smile transformation.
References
- Trope M. Treatment of the Immature Tooth with a Non-Vital Pulp and Apical Periodontitis. Dent Clin North Am.
- Coachman C., Digital Smile Design: A clinical concept. J Cosm Dent.
- Magne P., Empress & E.max Restorations: Adhesive Concepts and Longevity.
Share on: