Microscope-Guided Retrieval and Bioceramic Sealing of Maxillary Molar with MB2 Identification and Post-Endo Biomimetic Restoration
Abstract (≈470 characters)
This case demonstrates microscope-assisted endodontic management of a maxillary molar presenting with a separated instrument fragment in the distal canal and an unlocated MB2. Under DOM magnification, the fragment was safely retrieved, the MB2 canal was negotiated, and obturation was completed using bioceramic sealer. Post-Endo cuspal coverage composite restoration was performed following adhesive biomimetic principles to ensure functional reinforcement.
Author
Dr Hamza Zahid, BDS
Microscopic Restorative & Cosmetic Dentist
CEO – Dr Hamza Dental Center, Lahore (Pakistan)
Focus: Micro-Endodontics | Bioceramic Sealing | Biomimetic Adhesive Restoration | Microscope Dentistry
Case Presentation
Chief Complaint and Diagnosis
The patient reported persistent tenderness on mastication following previous endodontic treatment of the maxillary first molar. Radiographic and CBCT evaluation revealed:
- A separated NiTi orifice opener fragment lodged in the distal canal, and
- A missed MB2 canal with periapical radiolucency.
The goal was complete re-treatment under microscope magnification, preservation of dentin integrity, and adhesive post-Endo coverage.
Clinical Workflow
1. Isolation and Access Refinement
The tooth was isolated with a heavy-gauge rubber dam. Conservative access refinement under 16× magnification preserved pericervical dentin while improving canal visualization. (Fig 1)
2. Retrieval of Separated Fragment
Using ultrasonic tips (ET20 & Start-X #3) under the microscope, dentin around the coronal aspect of the fragment was trough-shaped. The fragment was loosened by micro-vibration and retrieved using a fine micro-tweezer under magnification (Fig 2–3). Post-retrieval confirmation radiograph showed a clear distal path.
3. MB2 Canal Negotiation and Cleaning
The pulpal floor was scouted with DG-16 and C+ files #6–10. The MB2 was negotiated and confirmed with apex locator. Shaping was performed using rotary NiTi files with 5.25 % NaOCl and 17 % EDTA, both activated ultrasonically for maximum debridement (Fig 4).
4. Bioceramic Sealer Obturation
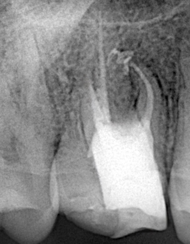
Obturation was carried out using bioceramic sealer (TotalFill BC Sealer) and warm vertical compaction. The palatal and MB2 fillings were continuous, demonstrating 3-D hermetic seal. (Fig 5–6)
5. Post-Endo Biomimetic Cuspal Coverage
The access cavity was conditioned for adhesive restoration:
- Dentin reinforced with GC EverX Posterior.
- Enamel rebuilt using Tokuyama Estelite Sigma Quick in cusp-by-cusp layering.
- Final finishing and polishing achieved with Enhance & PoGo system, yielding lifelike morphology and high gloss. (Fig 7–8)
Outcome and Follow-Up
The 2-week recall showed elimination of symptoms and radiographic healing. The composite onlay restored the structural stiffness of the tooth, ensuring long-term biomechanical stability.
Discussion
Microscope-guided retreatment enables precision retrieval of fractured instruments while conserving dentin.
The bioceramic sealer provides chemical bonding to dentin and superior apical sealing, while fiber-reinforced biomimetic restoration restores pericervical support—critical to prevent post-Endo fractures.
Conclusion
This case exemplifies the synergy of DOM magnification, ultrasonic retrieval, CBCT-guided canal negotiation, and bioceramic obturation followed by adhesive biomimetic coverage—achieving a fully functional and esthetic rehabilitation.
Image Captions
Fig 1: Access refinement and canal scouting under microscope isolation.
Fig 2–3: Ultrasonic troughing and fragment retrieval from distal canal.
Fig 4: MB2 negotiation and working-length verification.
Fig 5: Obturation with bioceramic sealer showing dense 3-D fill.
Fig 6: Post-operative radiograph confirming retrieval and sealing.
Fig 7–8: Post-Endo cuspal coverage composite restoration and final occlusal view.
Bibliographic References
- Patel S et al. Cone Beam Computed Tomography in Endodontics. Br Dent J 2019; 226: 555–566.
- Ruddle CJ. Non-Surgical Retreatment: Ultrasonics and Micro-Techniques. Dent Clin North Am 1997; 41(3): 429-454.
- Clark D, Khademi J. Modern Molar Endodontic Access and Directed Dentin Conservation. Dent Clin North Am 2010; 54(2): 249–273.
- Nekoofar MH et al. Bioactivity of Bioceramic-Based Sealers Used in Endodontics. Int Endod J 2018; 51 (S1): S29–S44.
- Magne P, Belser UC. Bonded Porcelain Restorations in the Anterior Dentition: A Biomimetic Approach. Quintessence 2002.
- van Meerbeek B et al. Adhesion to Enamel and Dentin: Current Status and Future Challenges. Oper Dent 2020; 45(1): 2-14.
Share on: