Biomimetic Endodontics + Adhesive Composite Onlay Rehabilitation
A conservative, adhesive-driven approach combining modern Endodontics with a full-coverage composite onlay to restore anatomy, strength, and long-term function — while preserving maximum natural tooth structure.
Clinical Overview
1. Pre-operative Status
(Image 1)
Large MOD cavitation with deep discoloration and compromised cuspal support. Tooth remained restorable with a conservative adhesive and endodontic approach.
2. Isolation & Access
(Images 2–3)
Full rubber dam isolation for contamination control. Previous fillings removed, caries outlined, and access refined under magnification.
3. Caries Removal & Pulp Chamber Exposure
(Images 4–6)
- Selective caries removal following Fusayama’s principles.
- Preserved affected dentin over pulp.
- Clean DEJ margin created for reliable bonding.
- Pulp chamber fully unroofed and anatomy clarified.
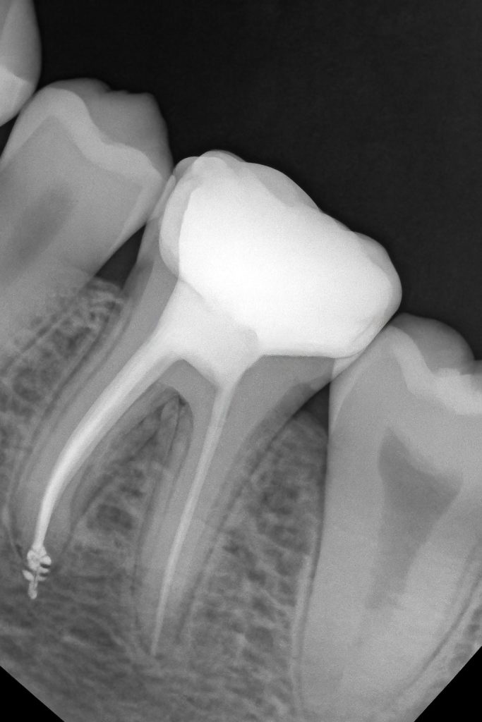
4. Endodontic Workflow
(Images 7–10)
- Canal scouting and glide path creation.
- Working length confirmed radiographically.
- Rotary instrumentation with copious NaOCl and EDTA.
- 3-cone fit verification.
- Warm vertical obturation with bioceramic sealer for deep tubular penetration and a tight apical seal.
- Post-endo radiograph confirms excellent fill and apical control.
5. Immediate Seal & Biomimetic Build-Up
- Immediate Dentin Sealing (IDS) applied on all freshly cut dentin.
- Flowable resin + 3M bulk base to rebuild pulpal floor.
- Cuspal reinforcement using short-fiber composite (where indicated).
6. Sectional Matrixing & Contact Control
(Images 11–13)
- Sectional matrix with dual wedging to achieve predictable proximal seal.
- Controlled separation for tight, natural contacts.
- Enamel selectively etched; 3M Universal Adhesive scrubbed actively for 20 seconds.
7. Composite Onlay Layering – Zerodont Protocol
(Images 14–16)
Dentin Body Layering:
- 3M Easy Match shade selection to match tooth structure.
- Multi-layer buildup respecting dentin anatomy and occlusal clearance.
Characterization:
- Tokuyama Estelite Ocher stain added to recreate natural fissure warmth and internal chroma.
Final Enamel Shell:
- Incremental cusp-by-cusp buildup to minimize polymerization stress and replicate natural occlusal form.
- Margins sealed on enamel for long-term durability.
8. Finishing & Polishing Workflow
(Images 17–19)
A polished, enamel-like final surface using a hybrid sequence:
- Estelite Pogo – initial pre-polish and contour
- Enhance System – refine surface anatomy
- Diashine – micro-polish for high luster
- Lucida ASA Final Polish (Style Italiano) – ultra-gloss enamel finish
The composite onlay blends seamlessly with the natural tooth.
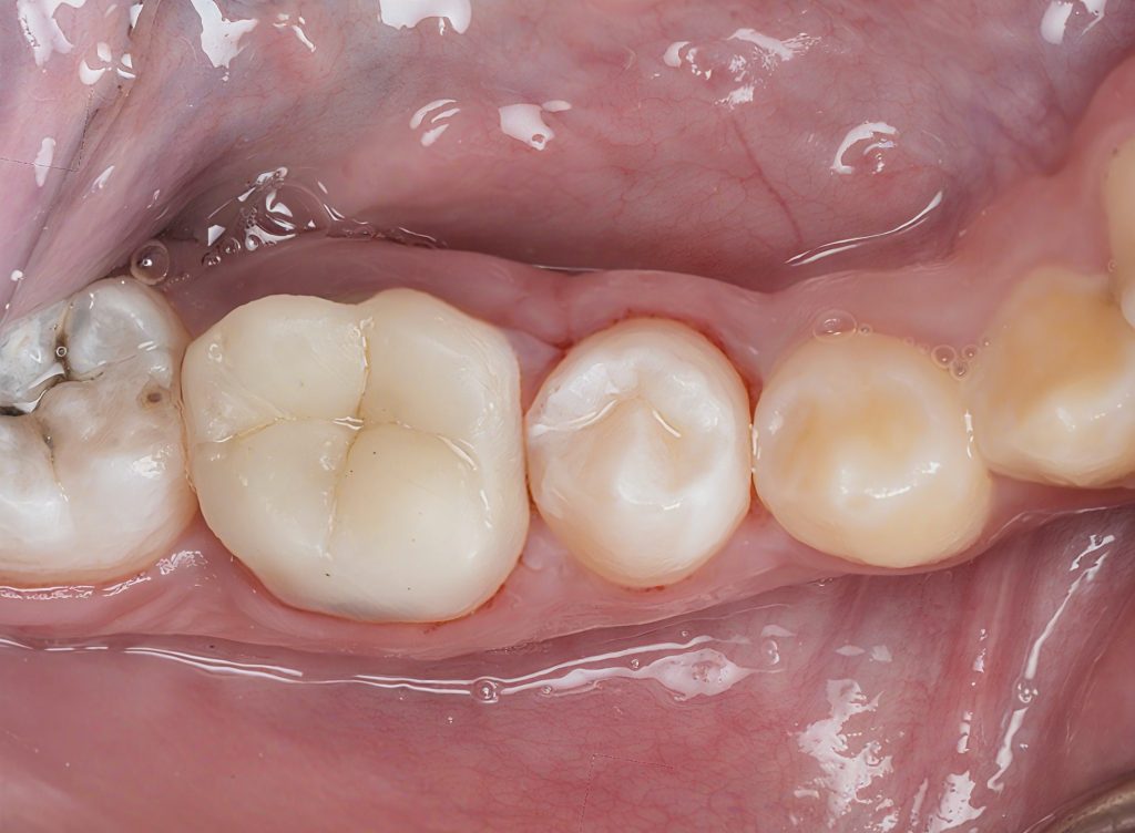
9. Final Outcome
(Images 20–21)
- Functional occlusal table restored
- Natural surface texture and anatomy
- Strong, bonded cuspal coverage
- Ideal contacts and sealed margins
- Radiographic confirmation of successful endodontic therapy
This is modern, conservative Zerodont dentistry — preserving structure, restoring biology, and maximizing long-term function.
Scientific References (Endo + Adhesive + Onlay + Polishing)
Endodontics
- Schilder H. “Filling root canals in three dimensions.” Dent Clin North Am, 1967.
- Siqueira JF, Rôças IN. “Microbiology of apical periodontitis.” Endodontic Topics, 2004.
- Buchanan L. “WaveOne and warm vertical compaction.” Dent Today, 2013.
Immediate Dentin Sealing & Adhesion
- Magne P, et al. “Immediate dentin sealing improves bond strength.” J Prosthet Dent, 2005.
- Van Meerbeek B, et al. “Bonding to enamel and dentin.” Oper Dent, 2010.
- Pashley DH. “Hybrid layer stability and degradation.” J Dent Res, 2001.
Composite Onlays & Biomimetic Dentistry
- Magne P, Belser UC. Bonded Porcelain Restorations in the Anterior Dentition. Quintessence.
- Dietschi D. “Layering composites for posterior restorations.” J Adhes Dent, 2001.
- Bazos P, Magne P. “Bio-emulation in posterior teeth.” Oper Dent, 2012.
Finishing & Polishing
- Jefferies SR. “Finishing & polishing systems in modern composites.” J Esthet Dent, 1998.
- Poggio C, et al. “Surface roughness after Pogo and other systems.” J Contemp Dent Pract, 2017.
- Lucida Polish reference: Style Italiano – Lucida Composite Polishing System Documentation, 2021.
Share on: