Posterior Trio Rehabilitation Under Full Isolation
Clinician:
Dr. Hamza Zahid restorative dentist
Clinic:
Dr Hamza Dental Center, Lahore
🦷 CASE SUMMARY
A young patient presented with food impaction and episodic biting sensitivity in the lower right quadrant. Clinical findings and bitewing radiographs confirmed Class II proximal breakdown with dentinal involvement in three adjacent posterior teeth. Pulp vitality was intact.
Treatment Goal:
Restore proximal contacts, structural integrity, occlusal anatomy, and long-term function using a fully adhesive, minimally invasive, biomimetic workflow under absolute isolation.
📸 IMAGE CAPTIONS
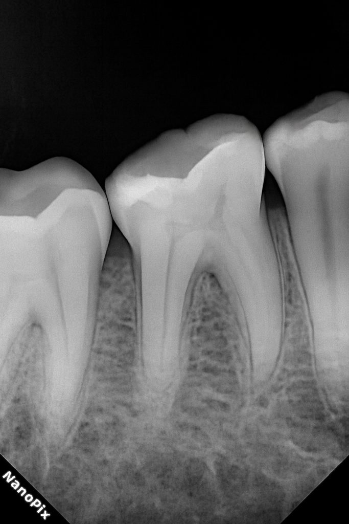
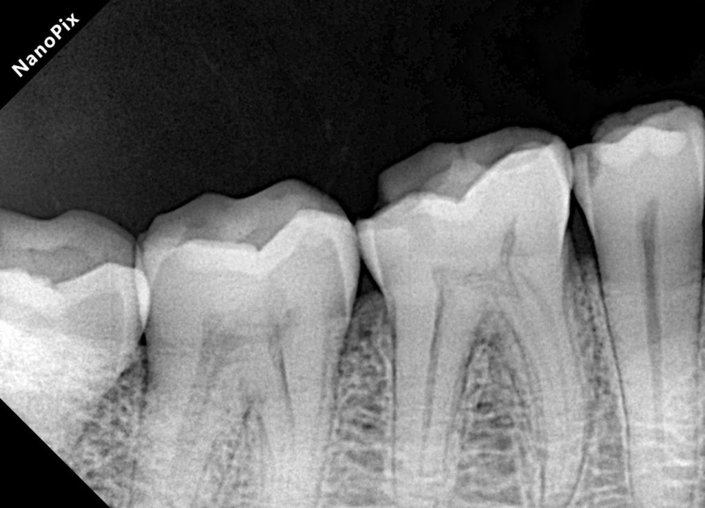
Radiographs (Pre-op)
Image 1–2:
“Pre-operative bitewing radiographs showing proximal caries in posterior trio, with preserved pulp vitality and no signs of apical pathology.”
Clinical Pictures (Isolation & Access)
Image 3:
“Initial clinical presentation showing occlusal fissure staining, marginal breakdown and early proximal cavitation.”
Image 4:
“Rubber dam isolation achieved using sectional clamp. Cavities visible under magnification.”
Image 5–6:
“Sectional matrices placed with wooden wedges for controlled separation and optimal gingival adaptation.”
Image 7:
“Refined cavity after selective caries removal. Enamel margins preserved for predictable bonding.”
Adhesive Workflow & Build-up
Image 8–10:
“Adhesive protocol using selective etch and universal bonding. Dentin and enamel build-up initiated with 3M Easy-Match composite shades.”
Image 11–13:
“Cusp-by-cusp anatomy sculpted. Tokuyama Estelite Ocher stain placed to recreate warm fissure tones.”
Image 14:
“Layering complete. Occlusal morphology refined prior to finishing.”
Polishing and Final Result
Image 15–16:
“Pre-polish with Estelite Pogo. High-gloss achieved using Diashine and Lucida by Style Italiano.”
Image 17 (Final):
“Final restorations showing natural morphology, tight proximal contacts, and enamel-like gloss.”
🧪 MATERIALS & TECHNIQUES USED
Adhesive Protocol
- Selective enamel etch: 37% phosphoric acid (20 sec enamel, 5 sec dentin overlap)
- Adhesive: 3M Scotchbond Universal Plus (scrub 20 sec, thin, cure 10 sec)
Composite Layering
- 3M Filtek Universal Easy-Match Shades (dentin & enamel)
- Shade system used strategically for seamless transitions
- Tokuyama Estelite Sigma Quick Ocher Stain for fissure warmth
- Cusp-by-cusp build-up to restore natural occlusal topography
Finishing & Polishing
- Pre-finish: Fine diamond burs + Estelite Pogo (Tokuyama)
- Gloss finish: Diashine Intraoral Paste
- Final luster: Lucida Star Polishers (Style Italiano)
- Occlusion refined in centric + excursive movements
🧬 BIOMIMETIC PRINCIPLES FOLLOWED
- Respect dentin–enamel complex
- Minimally invasive caries removal (only infected dentin removed)
- Immediate dentin sealing effect from universal adhesive scrubbing
- Incremental stress-reduced layering
- Anatomical contact reproduction using sectional matrices
- High-resolution polish to mimic enamel refractive index
Outcome:
Zero sensitivity, zero overhangs, zero open contacts. Predictable, long-term function.
📚 REFERENCES (Peer-Reviewed)
- van Meerbeek B. et al. (2020). Adhesive dentistry: the fundamentals of bonding to enamel and dentin. J Dent Res.
- Bicalho AA. et al. (2014). Effect of restorations on cusp deflection and fracture resistance. J Adhes Dent.
- Dietschi D., Spreafico R. (2011). Current restorative adhesive techniques. Quintessence.
- Terry DA. (2013). Restoring nature with composite resin: biomimetic layering concept. Compend Contin Educ Dent.
- Magne P. et al. (2012). Biomimetic restorative approaches in posterior teeth. J Esthet Restor Dent.
- Ferracane JL. (2017). Resin composite—State of the art. Dent Mater.
- Loomans B., Opdam N. (2018). Posterior composite contacts and contours using sectional matrices. Oper Dent.
- Style Italiano. (2020). Lucida polishing protocol for high-gloss composite surfaces. Clinical Guidelines.
- Tokuyama Dental Science Institute. (2021). Estelite integration in natural shade reproduction.
{"data":{"stickerId":"","activityName":"","playId":"","appversion":"7.5.0","infoStickerId":"","enter_from":"enter_launch","pictureId":"F5FF2BA7-6890-408F-9CD6-A3C8EAB3DA34","filterId":"","product":"retouch","os":"ios","imageEffectId":""},"source_type":"hypic","tiktok_developers_3p_anchor_params":"{"template_id":"","filter_id":[],"client_key":"awgvo7gzpeas2ho6","capability_extra_v2":{"edit":[{"panel":"hd_quality_picture"},{"panel":"auto_edit_pro"}]},"capability_key":["edit"]}"}
Share on: