Conservative Adhesive Dentistry & Endodontics:
Single-Visit RCT With Deep Margin Elevation and Composite Onlay
Clinical Overview
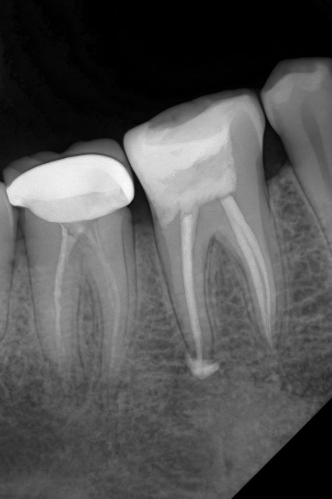
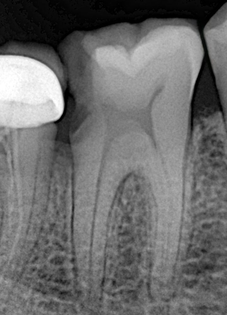
The tooth presented with a large carious lesion extending sub-crestally on the distal, compromising the marginal integrity and leaving no clean, dry, enamel-based margin for adhesive bonding. A single-visit root canal treatment was completed, followed by a staged Deep Margin Elevation (DME) to relocate the margin supragingivally. The case was finished with full cuspal coverage using a biomimetic composite onlay under rubber dam isolation.
This workflow respects the tooth’s biology, preserves sound structure, and restores strength without sacrificing unnecessary enamel.
Step-by-Step Summary
1. Diagnosis & Isolation
- Tooth showed irreversible pulpitis with deep distal decay and no ferrule.
- Complete rubber dam isolation achieved.
- Pre-operative radiographs confirmed canal anatomy.
2. Caries Removal & Access
- Caries removed conservatively, ensuring all affected dentin was cleared while preserving pericervical dentin.
- Access refined under high magnification.
- Four clean canal orifices identified.
3. Root Canal Treatment (Single Visit)
- Glide path creation and canal shaping performed.
- Copious irrigation with NaOCl and EDTA.
- Obturation with warm vertical condensation.
- Immediate coronal seal ensured with flowable composite.
4. Deep Margin Elevation (DME) – 2-Step Technique
Step 1:
- Matrix adaptation and gentle tissue displacement achieved.
- First increment placed using a high-filled nanohybrid composite to lift the margin away from the sulcus.
Step 2:
- After the first layer cured, the final enamel-level elevation was performed using a more enamel-like composite.
- This ensured a clean, dry, supragingival margin for the final restoration.
5. Cuspal Coverage / Composite Onlay
- Enamel cleaned and selectively etched.
- Universal adhesive applied following manufacturer protocol.
- Cuspal reconstruction done anatomically.
- Occlusal anatomy built cusp-by-cusp, guided by natural morphology.
6. Finishing & Polishing
- Pre-polish: Enhance / Pogo system (Dentsply)
- Staining: Tokuyama Estelite Ocher stain for fissure warmth
- High gloss: 3M Easy Match polishing sequence
- Final glossy finish: Lucida (StyleItaliano) + Diashine
End result: a strong, functional, biomimetic onlay that blends seamlessly with the adjacent dentition.
Final Outcome
- Full control of deep margins without surgical crown lengthening.
- Immediate seal to prevent coronal leakage post-RCT.
- Excellent occlusal morphology, contact tightness, and natural enamel optics.
- Biological width respected, tooth preserved, and long-term success enhanced.
References
- Dietschi D, Spreafico R. Adhesive dentistry and biomimetic tooth reconstruction. Quintessence.
- Magne P, Belser U. Bonded Porcelain Restorations in the Anterior Dentition. Quintessence.
- Bertoldi C et al. Deep margin elevation: A predictable alternative to surgical crown lengthening. J Esthet Restor Dent.
- Opdam NJ, et al. Longevity of posterior composite restorations: a systematic review. Dent Mater.
- Frankenberger R, Krämer N. Marginal integrity of adhesive restorations: clinical relevance. Oper Dent.
- Zorba YO, et al. Composite onlays vs ceramic onlays: adhesive performance and fracture resistance. J Prosthodont Res.
- van Dijken JW. Direct composite restorations with strict rubber dam isolation show lower failure rates. Oper Dent.
- Clark D, Khademi J. Modern endodontic access and pericervical dentin preservation. Dent Clin North Am.
- Bacaloni M, et al. Effectiveness of deep margin elevation in large posterior restorations. Int J Esthet Dent.
- StyleItaliano Finishing & Polishing Protocol: Lucida and Diashine workflow.
Share on: