Biomimetic Management of Adjacent Posterior Class II Lesions Using Rubber Dam Isolation and Sectional Matrix System
Abstract (300–500 characters)
This case presents the adhesive rehabilitation of adjacent posterior teeth with proximal carious lesions under strict isolation. A stepwise conservative protocol was followed using selective caries excavation, matrix-controlled proximal build-up, and biomimetic composite restoration. Emphasis was placed on contact integrity, emergence profile, and marginal sealing to restore function and maintain periodontal harmony.
Author – Dr. Hamza Zahid (BDS)
Microscopic Restorative & Cosmetic Dentist
CEO – Dr. Hamza Dental Centre
Lahore, Pakistan
Clinical Focus: Adhesive Biomimetic Dentistry • Quadrant Dentistry • Composite Aesthetics • Functional Rehabilitation
Clinical Case Description
Chief Complaint
Patient reported food impaction and sensitivity during mastication between upper posterior teeth.
Diagnosis
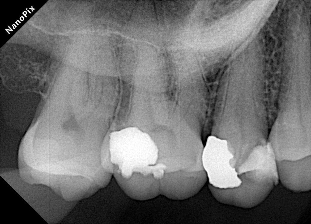
Clinical and radiographic exam confirmed adjacent Class II carious lesions affecting both teeth, with secondary caries beneath existing composite and defective margins.
Treatment Plan
✅ Conservative caries removal
✅ Adhesive Class II restoration
✅ Matrix-controlled contact and contour
✅ Function and proximal health restoration
Clinical Protocol
1. Isolation
Rubber dam isolation achieved using clamp stabilization to maintain a dry and clean operative field – essential for adhesive dentistry (Fig 1–2).
2. Caries Removal & Margin Management
Defective composite and caries were removed in a controlled manner preserving sound enamel walls. Teflon floss ties and wooden wedges used for separation and gingival retraction (Fig 3–6).
3. Matrix System Placement
Sectional matrix system used to recreate anatomical proximal walls. Ring stabilization applied to ensure tight contact and optimal emergence profile (Fig 7–8).
4. Adhesive Protocol
Selective enamel etch with 37% phosphoric acid followed by universal bonding (Tokuyama Universal Bond) applied with active agitation.
5. Biomimetic Build-Up
- Gingival floor sealed using a flowable liner
- Composite build-up done incrementally to reduce shrinkage stress
- Central fossa anatomy sculpted following Style Italiano minimal layering concept
- Material: Tokuyama Estelite Sigma Quick A2 for enamel + dentin shade blending (optional GC EverX for dentin reinforcement if used)
6. Finishing and Polishing
Proximal finishing strips, flame burs and Sof-Lex spiral wheels were used. Final gloss achieved using Lucida Diamond Polish (Fig 9–10).
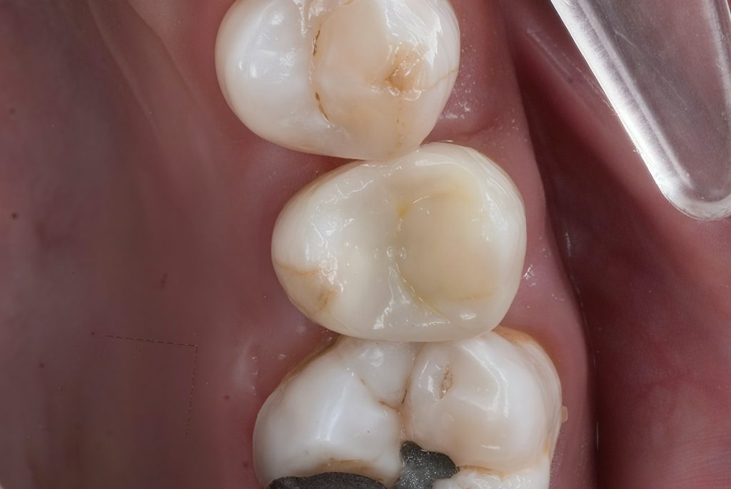
Outcome
- Tight, stable proximal contact restored
- Gingival health preserved
- Seamless integration with natural tooth structure
- Functional and aesthetic stability achieved
- Patient satisfied and symptom-free
Image Captions
- Preoperative occlusal view showing defective composite & caries
- Rubber dam isolation
- Initial caries exposure and removal
- Proximal clearance and wedge placement
- Matrix placement and isolation refinement
- Sectional ring application
- Dentin sealing & adhesive protocol
- Incremental build-up
- Final occlusal view
- Restored proximal integrity and anatomy
References
- Magne P, Belser U. Bonded Restorations in the Posterior Dentition – Quintessence 2002
- Dietschi D. Layering Concepts in Composite Restorations – J Adhes Dent 2001
- van Dijken JW. Resin Composite in Posterior Teeth: Clinical Longevity – Dent Mater 2015
Share on: