Class V Restorations of a Premolar and Molar Using Tokuyama Estelite Sigma Quick: A Microscopic Biomimetic Approach
Abstract (≈480 characters)
This case demonstrates microscope-guided Class V composite restorations on a premolar and a molar presenting with cervical carious and abfraction lesions. Tokuyama Estelite Sigma Quick was used with a selective-etch and adhesive protocol to restore natural contour and color harmony. The biomimetic workflow emphasized cervical adhesion, marginal seal, and smooth gingival integration for long-term stability.
Author CV
Dr Hamza Zahid, BDS
Microscopic Restorative & Cosmetic Dentist
CEO – Dr Hamza Dental Center, Lahore (Pakistan)
Focus Areas – Microscope Dentistry | Biomimetic Adhesive Restorations | Minimally Invasive Dentistry
Clinical Workflow
1️⃣ Pre-operative Assessment
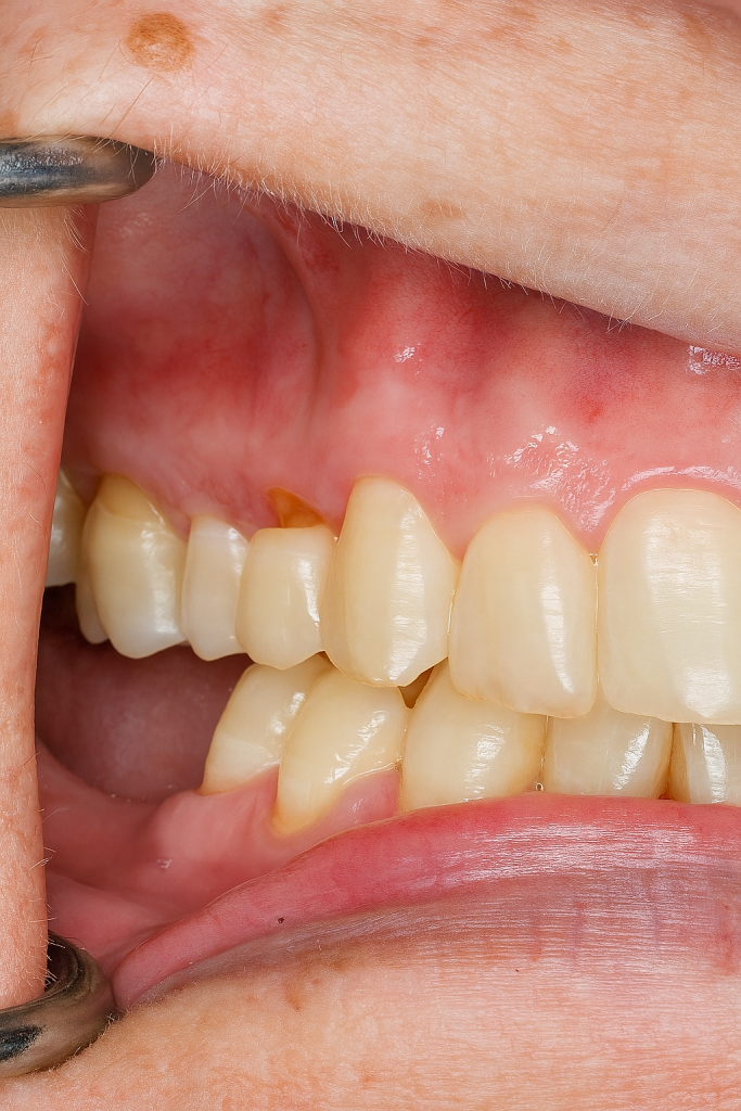
The patient presented with hypersensitivity and visible cervical defects on the lower right premolar and first molar (Fig 1). The lesions extended slightly onto dentin, showing typical non-carious abfraction morphology with plaque retention.
2️⃣ Isolation and Surface Preparation
Rubber-dam isolation was secured using floss ligatures and Teflon tape to retract gingiva (Fig 2). Cervical surfaces were cleaned with pumice and air-abraded to remove pellicle contamination before bonding.
3️⃣ Etching and Bonding Protocol
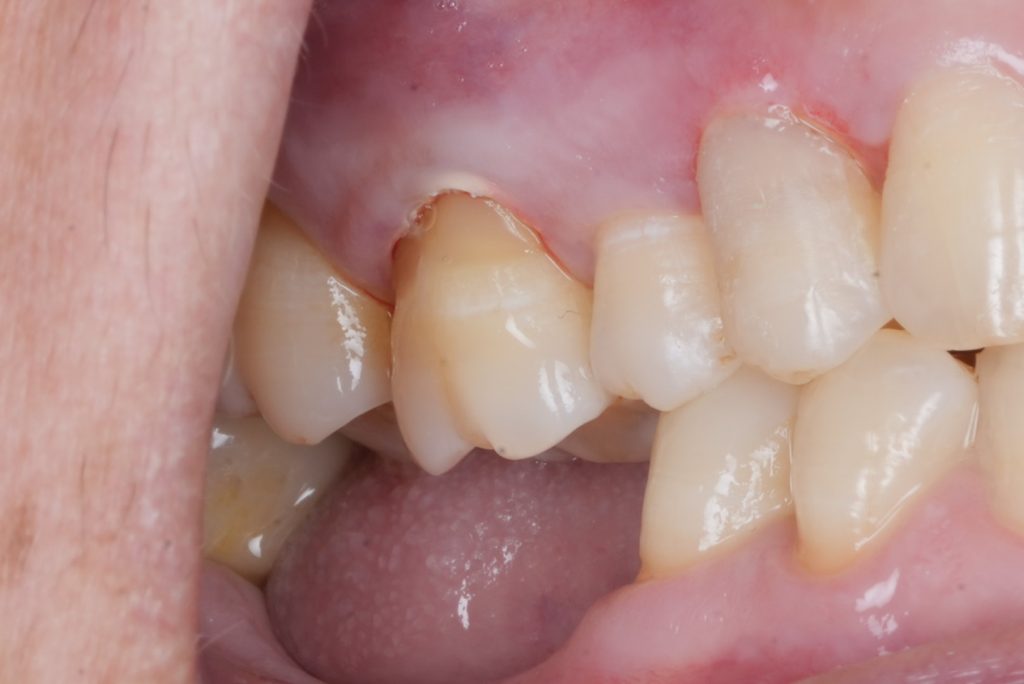
Selective enamel etching with 37 % phosphoric acid (15 s) followed by a universal adhesive (3M Scotchbond Universal) applied actively for 20 s. The adhesive was air-thinned, light-cured for 20 s per surface (Fig 3). This hybridized both enamel and dentin for optimal marginal seal.
4️⃣ Composite Placement and Layering
Tokuyama Estelite Sigma Quick (A2) was placed in 2 mm increments (Fig 4). Each increment was adapted with a micro-brush and sculpted to recreate the gingivo-incisal curvature and natural emergence profile. Each layer was light-cured 40 s.
5️⃣ Finishing and Polishing
Contour refinement was done using Sof-Lex XT discs and fine-grit diamond burs (Fig 5). Final polish achieved with the Lucida Polish System (Style Italiano) to replicate enamel gloss and gingival light reflection (Fig 6).
6️⃣ Post-operative Evaluation
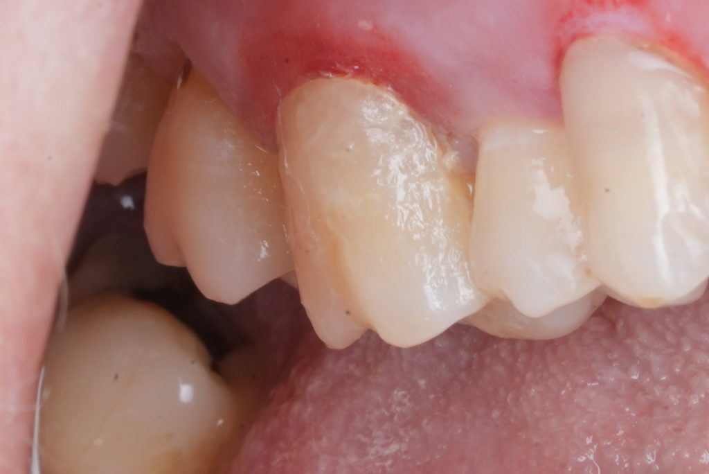
The final restorations blended seamlessly with the natural enamel shade (Fig 7). Gingival tissue remained healthy, no overhangs were noted, and the patient reported complete relief from sensitivity at 1-week review.
Outcome
Class V restorations performed under magnification demonstrated excellent marginal adaptation and esthetic integration. The combination of Tokuyama Estelite Sigma Quick and modern adhesive protocols ensured a durable, biomimetic solution preserving natural tooth flexibility and optical continuity.
Image Captions
- Fig 1: Pre-op view showing Class V lesions on premolar and molar.
- Fig 2: Rubber-dam isolation and gingival retraction.
- Fig 3: Selective etch and adhesive application.
- Fig 4: Incremental composite layering and anatomical sculpting.
- Fig 5: Finishing with Sof-Lex XT discs.
- Fig 6: Lucida polish achieving enamel-like gloss.
- Fig 7: Final result showing smooth gingival integration and esthetic blend.
Bibliographic References
- Van Meerbeek B et al. Adhesion to Enamel and Dentin: Current Status and Future Challenges. Oper Dent 2020; 45(1): 30–60.
- Dietschi D. Layering Concept in Composite Restorations for Natural Aesthetic Results. Pract Periodontics Aesthet Dent 1997; 9(2): 127–138.
- Magne P, Belser UC. Adhesive Restorations and Biomimetic Dentistry. Quintessence Publ 2002.
- Style Italiano Team. Lucida Polish Protocol for High-Gloss Finishing. Style Italiano Clinical Guide, 2020.
Share on: