Abstract (≈480 characters)
This case illustrates the conservative restoration of a deeply carious molar using a biomimetic adhesive approach. Deep proximal margins were elevated through a controlled “matrix-within-matrix” technique, followed by incremental composite build-up and cuspal coverage onlay. The workflow prioritized adhesion, marginal integrity, and occlusal anatomy while maintaining strict isolation throughout.
Author CV
Dr Hamza Zahid, BDS
Microscopic Restorative & Cosmetic Dentist
CEO – Dr Hamza Dental Center, Lahore (Pakistan)
Focus Areas: Microscope Dentistry | Biomimetic Adhesion | Smile Rehabilitation | Minimally Invasive Composites
Clinical Workflow
1️⃣ Pre-operative Assessment
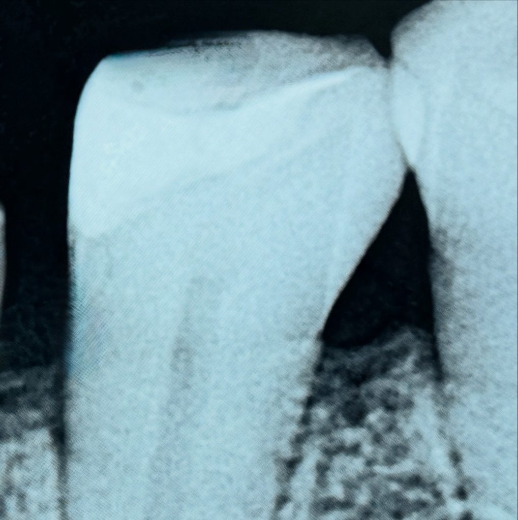
Radiographic evaluation revealed deep proximal caries extending sub-gingivally. Tooth was asymptomatic and restorable. (Fig 1)
2️⃣ Isolation & Preparation
Rubber dam applied for moisture control. Caries removed conservatively, preserving pericervical dentin. (Fig 2)
3️⃣ Deep Margin Elevation
A sectional matrix and flowable resin were used to elevate the gingival margin. The “matrix-within-matrix” method provided ideal emergence form and bonding accessibility. (Fig 3)
4️⃣ Incremental Build-Up & Onlay Design
Posterior composite layering with GC EverX Posterior (dentin replacement) and Tokuyama Estelite Sigma Quick (enamel mimic). Cuspal coverage performed incrementally to reduce polymerization stress. (Fig 4)
5️⃣ Finishing & Polishing
Occlusal anatomy refined with fine-grit diamonds; final gloss achieved using Enhance & PoGo and Sof-Lex spiral polishers. (Fig 5)
6️⃣ Post-operative Radiograph
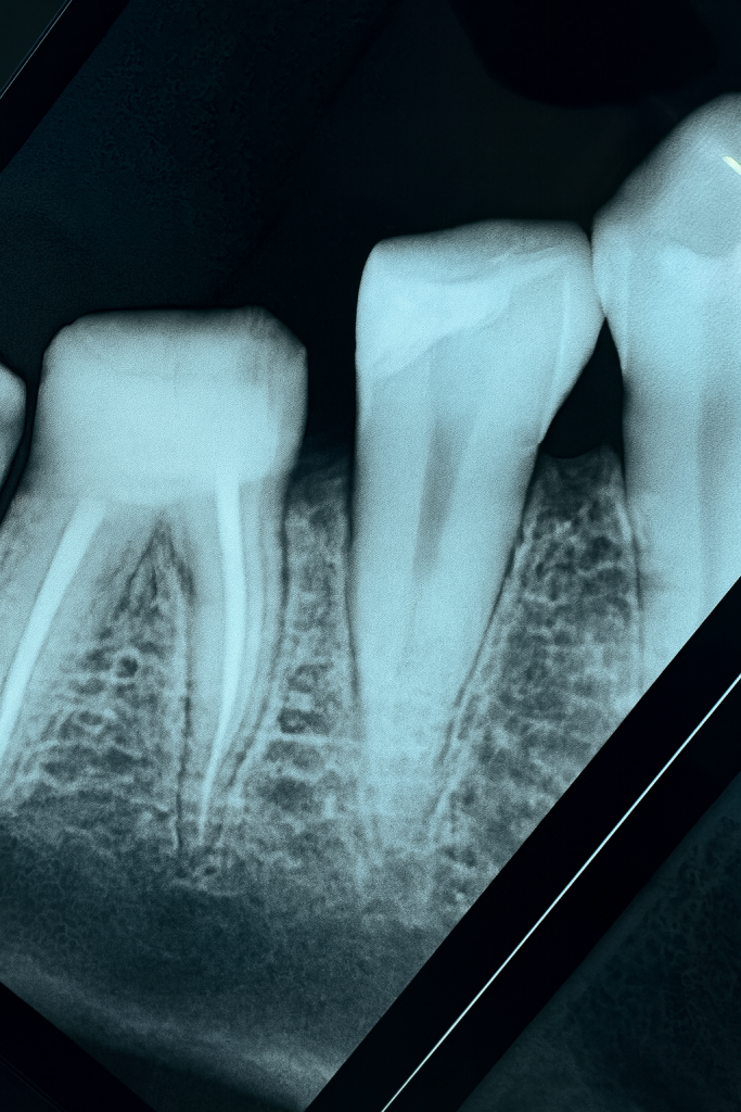
Immediate radiograph confirmed complete caries removal, sealed margins, and ideal contact adaptation. (Fig 6)
Image Captions
- Fig 1: Pre-op radiograph showing deep proximal lesion.
- Fig 2: Rubber-dam isolation and conservative preparation.
- Fig 3: Deep-margin elevation using sectional matrix system.
- Fig 4: Incremental onlay composite build-up.
- Fig 5: Final restoration under isolation with anatomical cusp definition.
- Fig 6: Post-op radiograph confirming marginal seal.
Outcome
Restored tooth demonstrates seamless integration, functional occlusion, and optimal proximal contact. The biomimetic workflow preserved dentin, provided predictable adhesion, and eliminated the need for full-coverage crowns.
Bibliographic References
- Dietschi D. Layering Concept in Composite Restorations for a Natural Aesthetic Result. Pract Periodontics Aesthet Dent 1997; 9(2): 127-138.
- van Meerbeek B et al. Adhesion to Enamel and Dentin: Current Status and Future Challenges. Oper Dent 2020; 45(1): 2-14.
- Clark D, Khademi J. Modern Restorative Adhesion and Functional Biomimetics. Dent Clin North Am 2010; 54(2): 249-273.
Share on: