Abstract (≈470 characters)
This case demonstrates the comprehensive management of a patient with deep-bite attrition caused by parafunctional habits. A minimally invasive protocol was followed to restore function and esthetics by re-establishing vertical dimension with posterior composite onlays and enhancing anterior esthetics using direct composite veneers from canine to canine. The workflow emphasized adhesion, occlusal harmony, and long-term enamel preservation.
Author CV
Dr Hamza Zahid, BDS
Microscopic Restorative & Cosmetic Dentist
CEO – Dr Hamza Dental Center, Lahore (Pakistan)
Focus: Microscope Dentistry | Biomimetic Adhesion | Smile Design | Composite Rehabilitation
Clinical Workflow
1. Initial Presentation
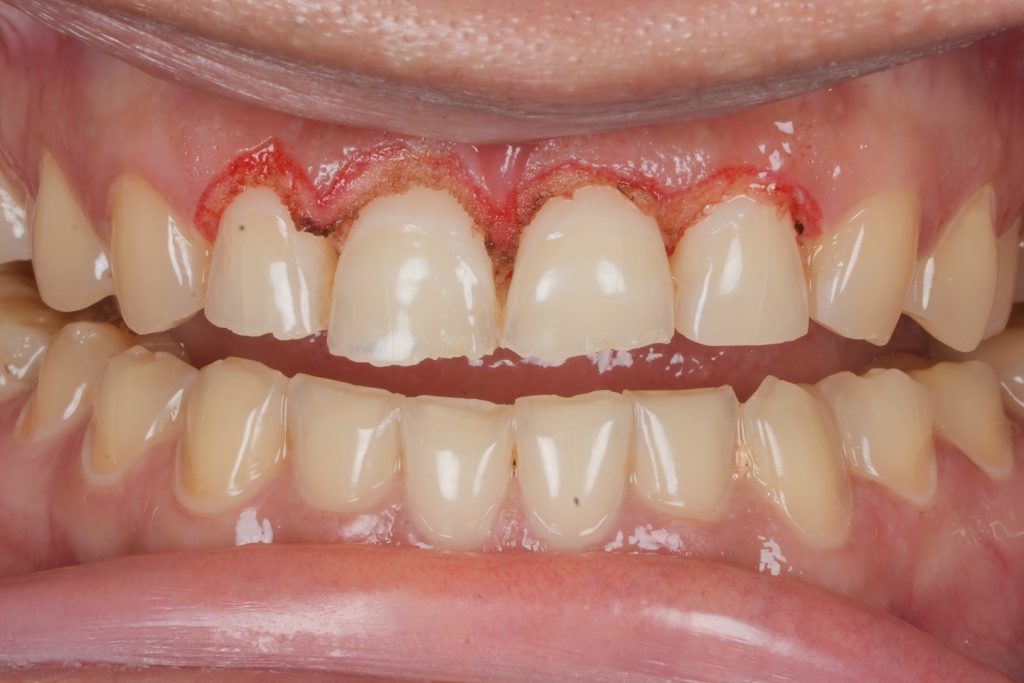
Patient presented with generalized attrition and reduced vertical dimension due to parafunctional bruxing. Deep-bite led to anterior overclosure and worn incisal edges (Fig 1).
2. Diagnosis and Treatment Planning
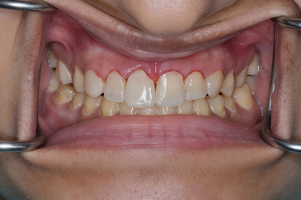
Functional evaluation revealed posterior loss of occlusal support and compromised anterior guidance. Treatment aimed to restore function using adhesive posterior onlays and esthetics via anterior composites (Fig 2).
3. Isolation and Preparation
Rubber-dam isolation ensured a clean, controlled field. Caries removal and minimal preparation were done preserving pericervical dentin (Fig 3).
4. Deep Marginal Elevation & Matrix Placement
Elevated margins using the matrix-within-matrix technique for ideal proximal form and bonding integrity (Fig 4).
5. Posterior Onlay Restoration
Cuspal coverage achieved using GC EverX Posterior for dentin replacement and Tokuyama Estelite Sigma Quick for enamel layering, building occlusal morphology cusp-by-cusp (Fig 5).
6. Anterior Esthetics – Canine to Canine Veneers
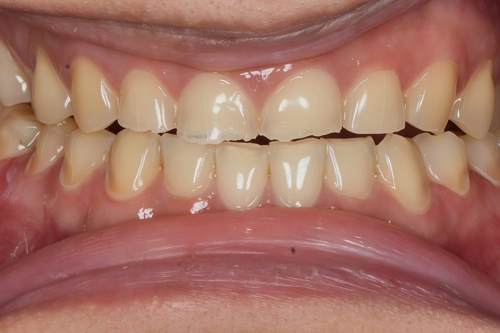
Direct composite veneers were sculpted to correct incisal edge position and enhance smile harmony while maintaining natural translucency (Fig 6).
7. Final Finishing and Occlusal Adjustment
Sequential finishing with Dentsply Enhance & PoGo and Sof-Lex spiral polishers ensured lifelike surface gloss and optimal occlusal balance (Fig 7–8).
Outcome
Re-established occlusal vertical dimension, improved anterior guidance, and achieved esthetic symmetry. Post-operative review confirmed patient comfort and restored function under parafunctional control.
Image Captions
- Fig 1: Pre-operative deep bite and anterior attrition.
- Fig 2: Carious lesions and enamel breakdown pre-operatively.
- Fig 3: Rubber-dam isolation and caries excavation.
- Fig 4: Matrix-within-matrix technique during deep margin elevation.
- Fig 5: Posterior onlay build-up and occlusal anatomy formation.
- Fig 6: Anterior veneers (canine-to-canine) direct layering.
- Fig 7: Immediate post-operative occlusal view.
- Fig 8: Final smile showing restored esthetics and function.
Bibliographic References
- Magne P, Belser UC. Bonded Porcelain Restorations in the Anterior Dentition: A Biomimetic Approach. Quintessence Publishing; 2002.
- van Meerbeek B et al. Adhesion to Enamel and Dentin: Current Status and Future Challenges. Oper Dent 2020; 45(1): 2-14.
- Dietschi D. Layering Concept in Composite Restorations for a Natural Aesthetic Result. Pract Periodontics Aesthet Dent 1997; 9(2): 127-138.
- Clark D, Khademi J. Modern Restorative Adhesion and Functional Biomimetics. Dent Clin North Am 2010; 54(2): 249-273.
- Fradeani M. Esthetic Rehabilitation in Fixed Prosthodontics – Volume 2: Prosthetic Treatment. Quintessence; 2008.
Share on: