
{“data”:{“pictureId”:”D1F38BDD-A7BC-47C4-8CA0-883F83B734C1″,”playId”:””,”os”:”ios”,”activityName”:””,”imageEffectId”:””,”filterId”:””,”enter_from”:”enter_launch”,”infoStickerId”:””,”product”:”retouch”,”stickerId”:””,”appversion”:”7.2.0″},”tiktok_developers_3p_anchor_params”:”{“client_key”:”awgvo7gzpeas2ho6″,”filter_id”:[],”template_id”:””,”capability_key”:[“edit”],”capability_extra_v2″:{“edit”:[{“panel”:”hd_quality_picture”},{“panel”:”smart_color_button”}]}}”,”source_type”:”hypic”}
Introduction
Composite veneers represent a conservative alternative to ceramics for anterior esthetic rehabilitation. With advances in resin composites, adhesive strategies, and isolation techniques, clinicians can achieve highly esthetic and functional results with minimally invasive protocols. This case presents the restoration of anterior teeth with direct composite veneers under strict isolation, following a biomimetic layering approach.
Case Presentation
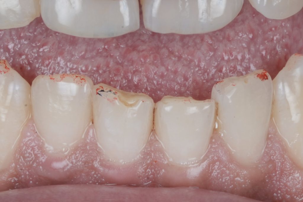
The patient presented with anterior teeth showing cervical wear, incisal edge defects, and discoloration. The esthetic concern was compounded by loss of natural morphology and translucency. The treatment plan focused on direct composite veneers to restore harmony, form, and function in a minimally invasive manner.
Clinical Workflow
1. Isolation and Preparation
•Rubber dam isolation was secured using floss ligatures and teflon retraction to ensure clean margins and soft tissue displacement.
•Only superficial enamel cleaning and beveling of margins were performed, maintaining maximum enamel for adhesion.
2. Matrix and Shape Control
•Transparent silicone index and Mylar strips were used to guide palatal contour and proximal form.
3. Adhesive Protocol
•Selective enamel etching (37% phosphoric acid) was performed for 30 seconds.
•A universal adhesive system was applied, air-thinned, and light-cured to establish a strong hybrid layer.
4. Composite Layering Technique
A biomimetic incremental layering strategy was used:
•Palatal Shell: Created with a translucent enamel shade by SAREMCO composite using the silicone index.
•Dentin Core Build-up: Body shade composite with 3m easy match layered to reproduce dentin opacity and saturation.
•Incisal Halo & Effects: Opaque tint and high-value composite by SDI and Tokyuma were used in the incisal edge for a natural halo effect.
•Final Enamel Layer: A microfilled enamel by 3m easy match shade natural composite was applied to reproduce surface gloss and translucency.
5. Finishing and Polishing
•Contours were refined with fine-grit diamond burs and finishing discs.
•Surface texture was recreated with microanatomical secondary grooves to mimic natural tooth morphology.
•Final gloss was achieved using silicone polishers and diamond paste lucida by style Italiano , reproducing enamel luster.
6. Final Outcome
•The veneers blended seamlessly with adjacent dentition in terms of shade, morphology, and translucency.
•The patient was satisfied with the natural esthetics, restored smile harmony, and minimal tooth reduction involved
Discussion
Direct composite veneers, when executed under strict rubber dam isolation and using a biomimetic layering approach, provide:
•Excellent esthetics with natural light dynamics.
•Preservation of maximum tooth structure.
•Repairability and cost-effectiveness compared to ceramics.
The keys to success are isolation, adhesive protocol, and controlled layering. This case emphasizes the importance of understanding optical properties of natural teeth and replicating them through stratified composite placement.
⸻
Conclusion
Direct composite veneers remain a reliable and minimally invasive option for anterior esthetic rehabilitation. With careful planning, rubber dam isolation, and advanced layering techniques, clinicians can achieve highly predictable, durable, and natural-looking results.
{"source_type":"hypic","data":{"filterId":"","infoStickerId":"","imageEffectId":"","appversion":"7.2.0","os":"ios","product":"retouch","enter_from":"enter_launch","pictureId":"11F02EA1-77BA-4144-AE71-CF1CA2DBD3D2","playId":"","activityName":"","stickerId":""},"tiktok_developers_3p_anchor_params":"{"capability_extra_v2":{"edit":[{"panel":"hd_quality_picture"},{"panel":"smart_color_button"}]},"template_id":"","capability_key":["edit"],"client_key":"awgvo7gzpeas2ho6","filter_id":[]}"}
{"data":{"pictureId":"D1F38BDD-A7BC-47C4-8CA0-883F83B734C1","playId":"","os":"ios","activityName":"","imageEffectId":"","filterId":"","enter_from":"enter_launch","infoStickerId":"","product":"retouch","stickerId":"","appversion":"7.2.0"},"tiktok_developers_3p_anchor_params":"{"client_key":"awgvo7gzpeas2ho6","filter_id":[],"template_id":"","capability_key":["edit"],"capability_extra_v2":{"edit":[{"panel":"hd_quality_picture"},{"panel":"smart_color_button"}]}}","source_type":"hypic"}
{"source_type":"hypic","data":{"playId":"","pictureId":"09B8BA20-149C-40B1-A4C0-6EC5AC108E0F","filterId":"","product":"retouch","activityName":"","infoStickerId":"","os":"ios","stickerId":"","imageEffectId":"","appversion":"7.2.0","enter_from":"enter_launch"},"tiktok_developers_3p_anchor_params":"{"client_key":"awgvo7gzpeas2ho6","filter_id":[],"template_id":"","capability_extra_v2":{"edit":[{"panel":"hd_quality_picture"},{"panel":"smart_color_button"}]},"capability_key":["edit"]}"}
{"tiktok_developers_3p_anchor_params":"{"filter_id":[],"template_id":"","client_key":"awgvo7gzpeas2ho6","capability_extra_v2":{"edit":[{"panel":"hd_quality_picture"},{"panel":"smart_color_button"}]},"capability_key":["edit"]}","data":{"activityName":"","filterId":"","enter_from":"enter_launch","pictureId":"CE804619-64F2-4A58-814C-95E33E45681C","product":"retouch","imageEffectId":"","stickerId":"","infoStickerId":"","playId":"","os":"ios","appversion":"7.2.0"},"source_type":"hypic"}
{"data":{"activityName":"","pictureId":"FC508A00-0C23-4453-BEB4-E48CBA5627EC","os":"ios","enter_from":"enter_launch","stickerId":"","product":"retouch","appversion":"7.2.0","infoStickerId":"","filterId":"","playId":"","imageEffectId":""},"source_type":"hypic","tiktok_developers_3p_anchor_params":"{"client_key":"awgvo7gzpeas2ho6","capability_extra_v2":{"edit":[{"panel":"hd_quality_picture"},{"panel":"smart_color_button"}]},"filter_id":[],"capability_key":["edit"],"template_id":""}"}
{"data":{"appversion":"7.2.0","stickerId":"","infoStickerId":"","imageEffectId":"","os":"ios","enter_from":"enter_launch","activityName":"","product":"retouch","pictureId":"C929BB6E-3CCB-4803-A405-3A866A66201A","filterId":"","playId":""},"source_type":"hypic","tiktok_developers_3p_anchor_params":"{"capability_extra_v2":{"edit":[{"panel":"hd_quality_picture"},{"panel":"auto_edit_pro"}]},"client_key":"awgvo7gzpeas2ho6","capability_key":["edit"],"filter_id":[],"template_id":""}"}
Share on: