Microscope-Guided Endodontic and Biomimetic Restoration of a Premolar with Class II Lesion and Cuspal-Coverage Composite Overlay
Abstract (≈480 characters)
This case demonstrates the adhesive and biomimetic management of an endodontically treated premolar with a Class II cavity and extensive structural loss. Following canal obturation with a bioceramic sealer, the tooth was rebuilt using GC EverX Flow and Tokuyama Estelite Sigma Quick under microscope isolation. The restorative sequence provided dentin replacement, stress control, and full cuspal protection while preserving maximum enamel.
Author CV
Dr Hamza Zahid, BDS
Microscopic Restorative & Cosmetic Dentist
CEO – Dr Hamza Dental Center, Lahore (Pakistan)
Focus Areas – Micro-Endodontics | Adhesive Biomimetic Restorations | Posterior Rehabilitation | Functional Esthetics
Clinical Workflow
1️⃣ Pre-operative Assessment
A patient presented with a previously root-filled maxillary premolar exhibiting secondary caries and a defective distal margin (Fig 1). Radiograph confirmed incomplete coronal sealing and intact periapical area. The plan included re-access, coronal reinforcement, and full cuspal coverage using composite.
2️⃣ Isolation and Access Refinement
Rubber-dam isolation was achieved (Fig 2). The temporary filling and superficial debris were removed, access refined, and obturation integrity evaluated. Minor GP adjustment was done to create a flat pulpal floor for composite adaptation.
3️⃣ Obturation and Canal Sealing
The canal was obturated using a bioceramic sealer (EndoSequence BC Sealer) with single-cone hydraulic technique (Fig 3). The sealer’s bioactivity ensured a hermetic apical seal and bonding compatibility with resin composites.
4️⃣ Base and Dentin Reconstruction
A 1 mm substructure of GC EverX Flow was placed as a dentin substitute (Fig 4). The short-fiber composite reinforced the internal core, reduced stress concentration, and improved load distribution beneath the cusp coverage.
5️⃣ Adhesive Protocol and Class II Restoration
Selective enamel etching performed with 37 % phosphoric acid (15 s), followed by 3M Scotchbond Universal applied actively for 20 s, air-thinned, and light-cured. The proximal box was restored using a sectional matrix and separating ring system to re-establish tight contact (Fig 5).
6️⃣ Cuspal-Coverage Build-Up
Incremental layering of Tokuyama Estelite Sigma Quick (A2) recreated natural cusp inclinations. Each increment (≤2 mm) was sculpted anatomically and light-cured 40 s per surface under the microscope. Final morphology mimicked the premolar’s functional ridges (Fig 6).
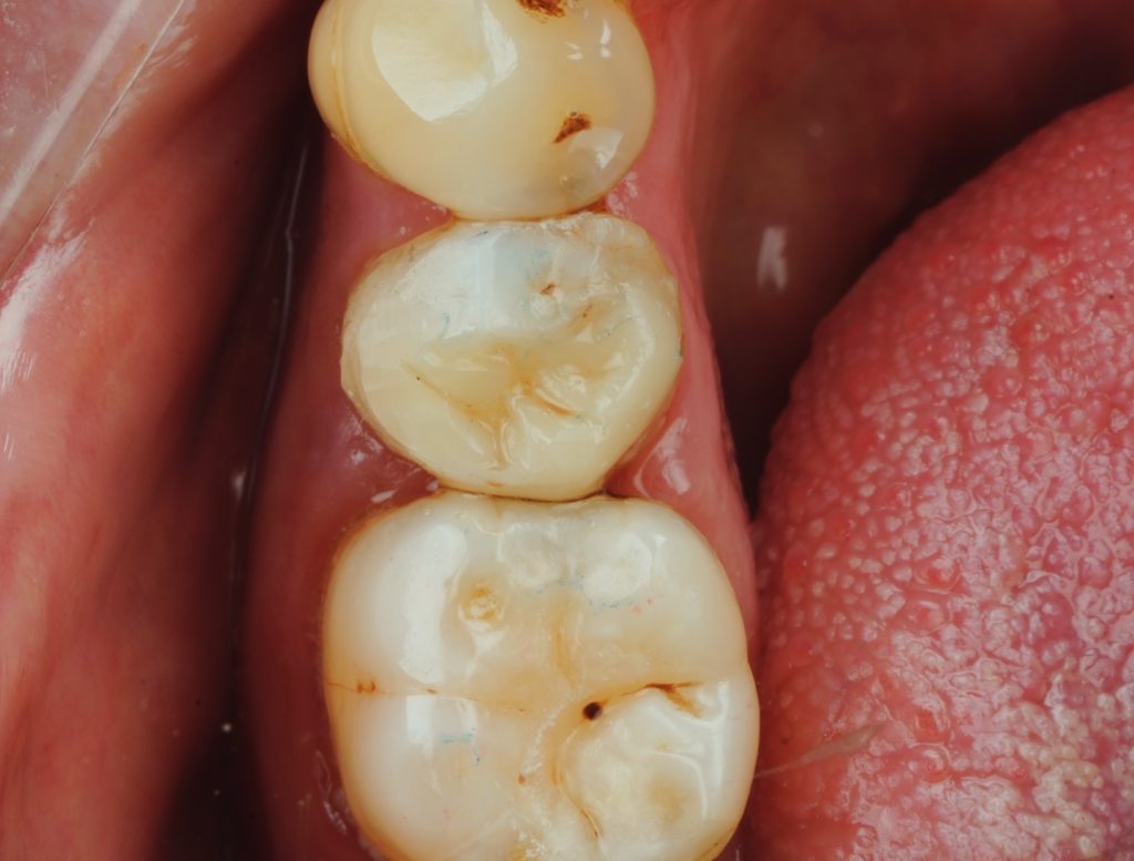
7️⃣ Finishing and Polishing
Anatomic refinement achieved with Sof-Lex XT discs and fine-grit diamonds. Final enamel texture and gloss created with the Lucida Polish System (Style Italiano) to reproduce natural light reflection and luster (Fig 7).
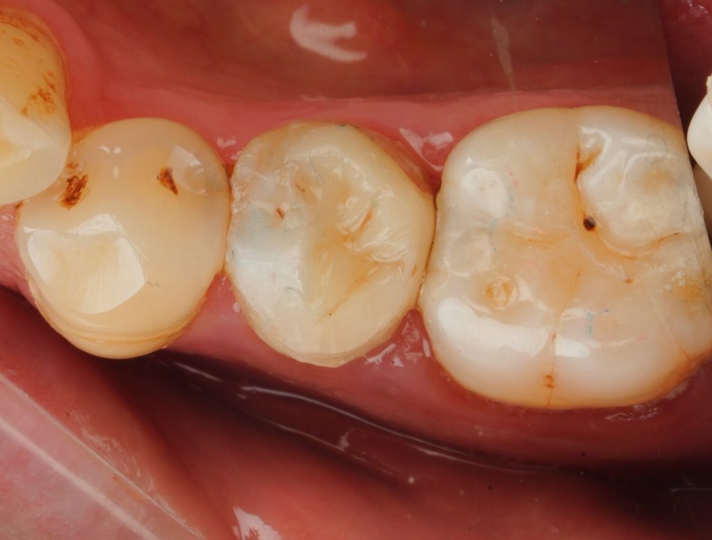
8️⃣ Post-operative Evaluation
The final restoration showed ideal contour, proximal contact, and occlusal harmony (Fig 8). Radiographic review confirmed dense obturation and perfect coronal seal. At 1-month follow-up, the tooth remained asymptomatic and functional.
Outcome
This minimally invasive, post-free biomimetic approach successfully restored function and esthetics while conserving remaining tooth structure. The integration of GC EverX Flow and Tokuyama Estelite Sigma Quick provided a dentin-enamel continuum capable of enduring occlusal stress predictably.
Image Captions
- Fig 1: Pre-op radiograph showing distal caries in treated premolar.
- Fig 2: Rubber-dam isolation and access refinement.
- Fig 3: Canal obturation with bioceramic sealer.
- Fig 4: Base reinforcement with GC EverX Flow.
- Fig 5: Adhesive protocol and Class II build-up with sectional matrix.
- Fig 6: Cuspal-coverage layering with Tokuyama Estelite Sigma Quick.
- Fig 7: Lucida Polish system for enamel-like gloss.
- Fig 8: Final radiograph and clinical outcome showing functional integration.
Bibliographic References
- Tay FR, Pashley DH. Monoblocks in Root Canals: A Tangible Goal. J Endod 2007; 33(4): 391–398.
- van Dijken JWV et al. Short Fiber-Reinforced Composites in Posterior Restorations. Dent Mater 2015; 31(5): 545–554.
- Magne P, Belser UC. Bonded Restorations in the Posterior Dentition: A Biomimetic Approach. Quintessence Publ 2002.
- Dietschi D. Layering Concept for Functional Posterior Composites. Pract Periodontics Aesthet Dent 1997; 9(2): 127–138.
Share on: