Comprehensive Endodontic and Full-Coverage Ceramic Restoration of a Grossly Carious Premolar: A Microscope-Guided Adhesive Workflow
Abstract (≈470 characters)
This case presents the management of a severely carious mandibular premolar with loss of coronal structure. Following microscope-assisted root canal therapy, the tooth was rebuilt using adhesive core material and restored with a monolithic zirconia crown for strength and longevity. The workflow emphasizes minimally invasive preparation, precision adhesion, and biomimetic occlusal harmony.
Author CV
Dr Hamza Zahid, BDS
Microscopic Restorative & Cosmetic Dentist
CEO – Dr Hamza Dental Center, Lahore (Pakistan)
Focus Areas – Micro Endodontics | Adhesive Restorations | Biomimetic Rehabilitation | Smile Design
Clinical Workflow
1. Initial Presentation
The patient presented with a grossly decayed mandibular premolar (Fig 1). Clinical and radiographic evaluation revealed pulpal necrosis and compromised coronal walls but sufficient root length for retention.
2. Isolation and Access
Rubber-dam isolation was achieved for aseptic control. Access preparation performed under a dental microscope ensured identification of all canal orifices while conserving dentin.
3. Canal Preparation and Irrigation
Cleaning and shaping carried out using Denco Pro Flexi NiTi files in a crown-down sequence. Irrigation protocol included 5.25 % NaOCl, 17 % EDTA, and ultrasonic activation. Final rinse with sterile water and alcohol for smear-layer removal.
4. Obturation
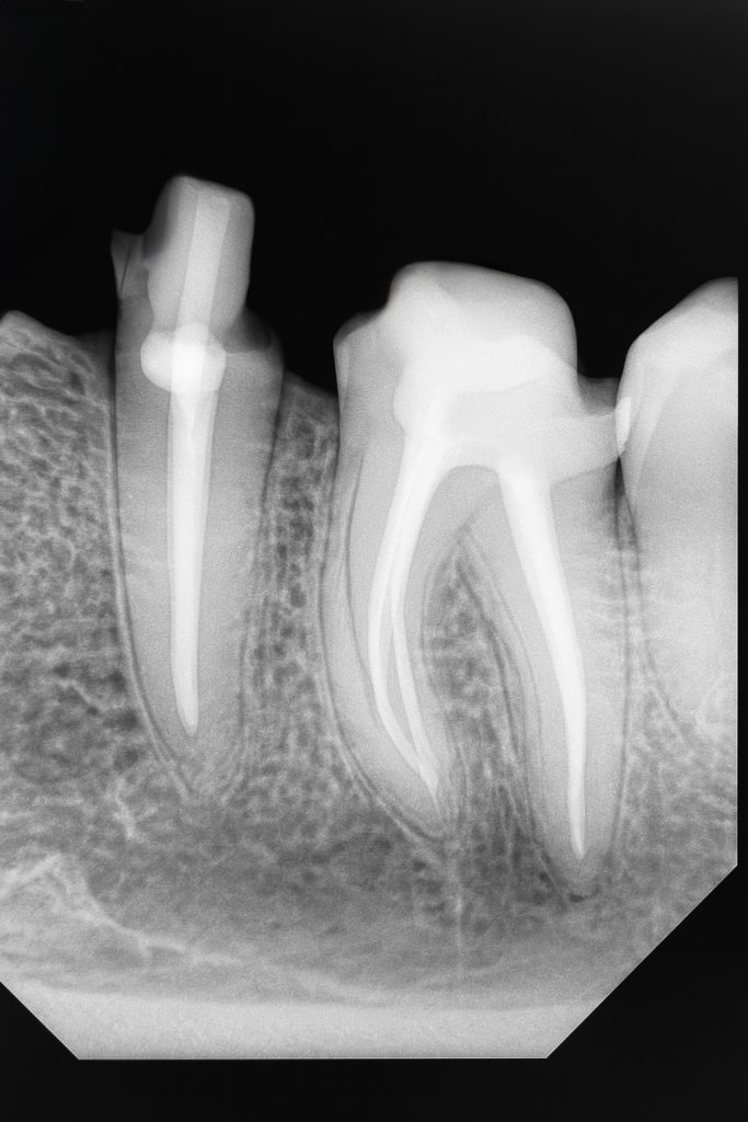
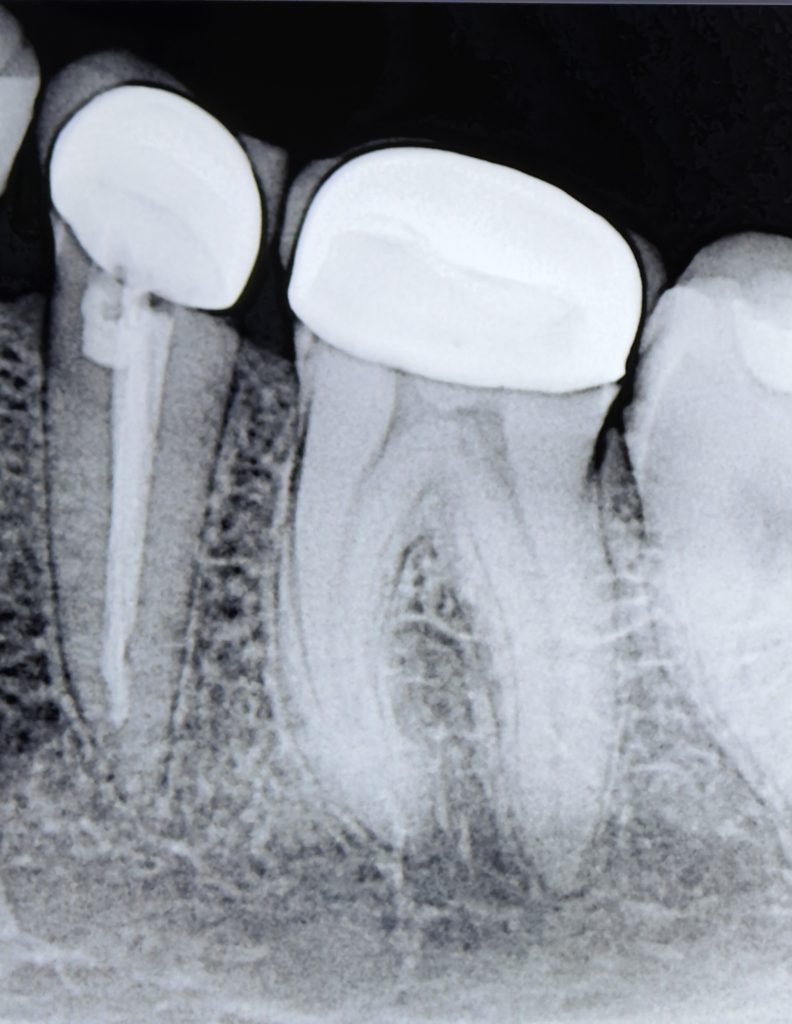
Obturation performed with Bioceramic Sealer (Endo Sequence BC) and warm vertical condensation to ensure apical seal and coronal adaptation (Fig 3).
5. Core Build-Up and Preparation
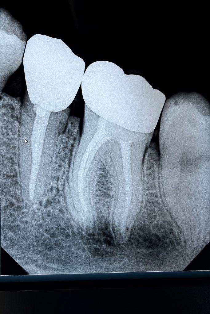
A dual-cure resin core (Clearfil DC Core Plus) was bonded using 4th-generation adhesive (Clearfil SE Bond 2). Tooth preparation followed the principles of adhesive ferrule preservation with rounded internal line angles (Fig 2).
6. Prosthetic Phase
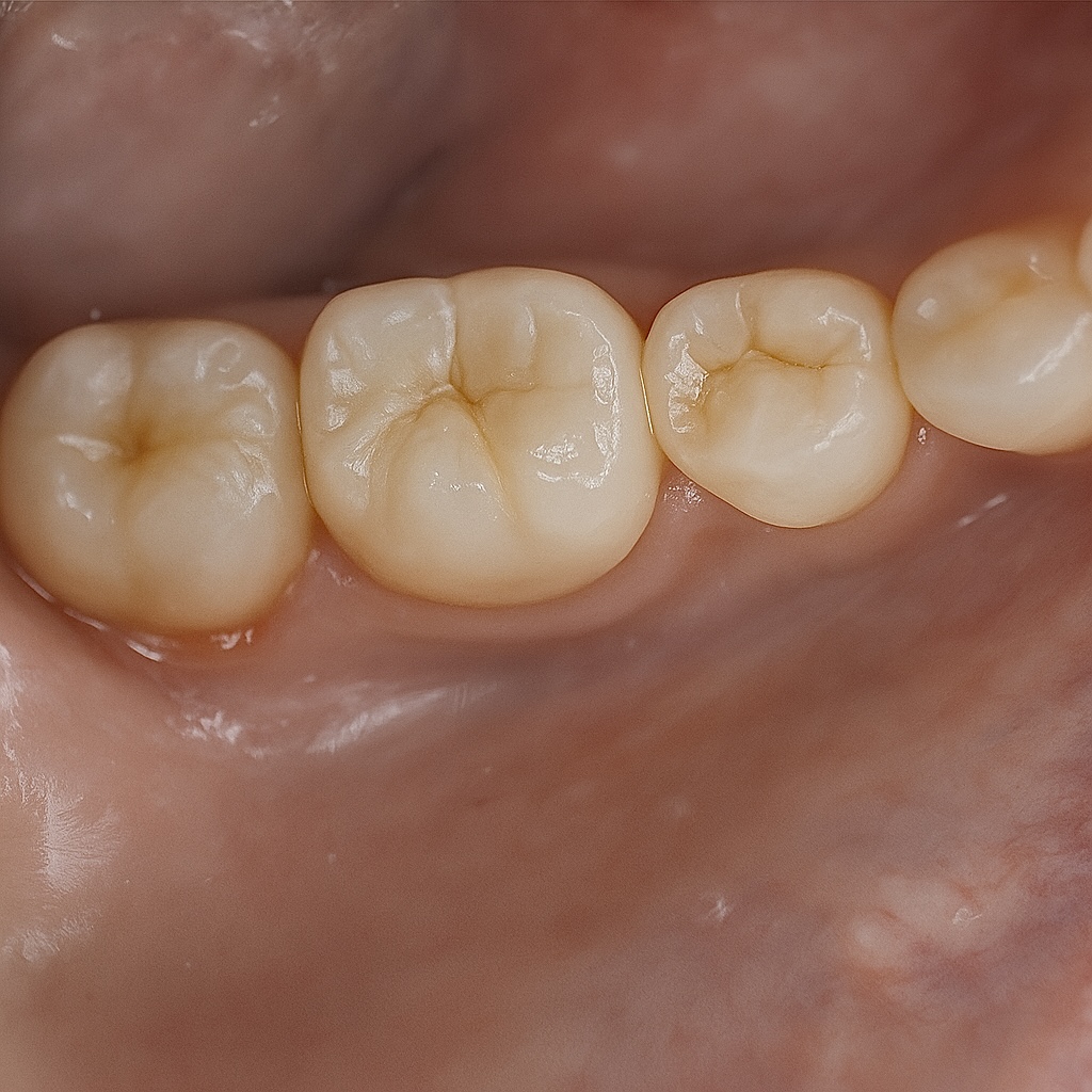
A full-coverage zirconia crown was fabricated to mimic occlusal morphology (Fig 4). Try-in confirmed marginal adaptation and occlusal contacts. Final bonding performed with Panavia V5 resin cement under isolation.
7. Post-Operative Evaluation
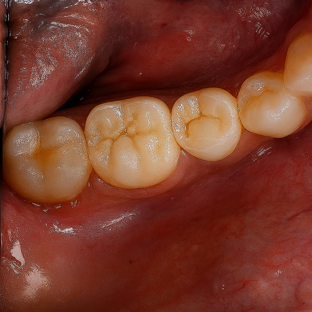
Radiograph confirmed ideal obturation, core adaptation, and marginal integrity (Fig 3). The final restoration blended esthetically and functionally with the dentition (Fig 5).
Outcome
The restoration achieved full functional rehabilitation with long-term endodontic and structural stability. Combining microscope-guided endodontics and adhesive ceramic bonding allowed predictable biomimetic performance and natural esthetics.
Image Captions
- Fig 1: Pre-operative view showing extensive coronal destruction.
- Fig 2: Post-endodontic core build-up and crown preparation.
- Fig 3: Post-obturation radiograph confirming dense 3-D fill.
- Fig 4: Monolithic zirconia crowns ready for cementation.
- Fig 5: Final clinical result demonstrating functional and esthetic integration.
Bibliographic References
- Magne P, Belser UC. Bonded Porcelain Restorations in the Anterior Dentition: A Biomimetic Approach. Quintessence Publishing; 2002.
- Clark D, Khademi J. Modern Restorative Adhesion and Functional Biomimetics. Dent Clin North Am 2010; 54(2): 249-273.
- Siqueira JF et al. Microbiology and Treatment of Endodontic Infections. Dent Clin North Am 2010; 54(2): 255-279.
- van Meerbeek B et al. Adhesion to Enamel and Dentin: Current Status and Future Challenges. Oper Dent 2020; 45(1): 2-14.
Share on: