Quadrant Adhesive Dentistry – Biomimetic Rehabilitation of Posterior Teeth with Interproximal Caries and Structural Compromise
Clinical Category:
Adhesive Restorative Dentistry | Quadrant Dentistry | Biomimetic Practice
Case Type:
MOD Restoration, Class II Proximal Contacts, Deep Margin Elevation
Tooth Numbers:
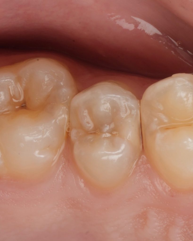
14 (MOD), 15 (Distal), 16 (Mesial) –
Universal 4, 5, 3 in Palmer
Abstract
This case demonstrates minimally invasive adhesive quadrant dentistry performed under strict biomimetic and moisture-control protocols. Three adjacent posterior teeth with proximal caries were restored in a single session using predictable adhesion, controlled contact development, fiber-reinforced dentin replacement, and anatomical composite layering. Emphasis was placed on precision isolation, proximal matrix sealing, and restoration of natural occlusal morphology while maintaining periodontal and contact integrity.
Chief Complaint
Patient reported food impaction and sensitivity during chewing between upper right premolar-molar region.
Clinical and Radiographic Findings
- #15 (First Premolar): Distal proximal caries with faulty composite and inadequate contact.
- #14 (Second Premolar): Extensive MOD carious lesion extending subgingivally on distal margin.
- #16 (First Molar): Early mesial carious lesion with biofilm retention.
- Positive response to vitality testing, no pulpal symptoms.
- Radiographs confirmed no periapical pathology.
Diagnosis
- Localized chronic caries with recurrent decay.
- Loss of proximal contacts and compromised occlusal stability.
- Normal pulpal response.
Treatment Plan
A single-visit Quadrant Adhesive Rehabilitation:
✅ Rubber dam isolation
✅ Caries removal with selective dentin preservation
✅ Deep Margin Elevation (DME) for #14 MOD distal box
✅ Sectional matrix + ring system for contact precision (#Garrison/Palodent V3)
✅ Fiber-reinforced dentin replacement using GC EverX Flow
✅ Anatomical enamel build-up using Tokuyama Estelite Sigma Quick / 3M Filtek Z350
✅ Occlusal harmonization and gloss finishing with Lucida/Diashine
Clinical Procedure
Step 1 – Isolation and Caries Control
- Rubber dam applied for absolute moisture control.
- Conservative cavity preparation performed to preserve pericervical dentin.
- Caries detector dye used to ensure selective removal of infected dentin.
Step 2 – Deep Margin Elevation (#14 Distal)
- Distal margin located subgingivally.
- Teflon retraction + sectional matrix positioned.
- Cervical margin elevated with flowable SDR/3M Bulk Flow to supragingival level, enabling ideal bonding and isolation.
Step 3 – Contact Development
- Sectional matrices placed tooth-by-tooth:
- #15 Distal restored first to re-establish contact.
- #14 MOD restored next to regain arch stability.
- #16 Mesial restored last to complete quadrantic closure.
- Garrison + wooden wedges used to optimize emergence profile and seal cervical margins.
Step 4 – Adhesive Protocol
- Total-etch protocol:
- 37% phosphoric acid (etch dentin 10 sec, enamel 30 sec)
- Universal bonding agent (warm air thinning)
- Immediate Dentin Sealing (IDS) applied on exposed dentin.
Step 5 – Biomimetic Layering
- GC EverX Flow used as dentin substitute for cusp and proximal reinforcement.
- Enamel build-up in anatomic layering technique using microhybrid composite.
- Occlusal grooves sculpted with Style Italiano instruments (Condensa/Hardy).
Step 6 – Finishing and Polishing
- Morphology refined under 4x magnification.
- Contacts floss-verified.
- Final polish using Lucida (Diashine) + Spiral polishers for long-term gloss and wear resistance.
Outcome
- Ideal proximal contacts re-established.
- Anatomical morphology and occlusal function restored.
- Perfect cervical seal with no micro-gap.
- Restorations fully integrated with natural tooth structure.
- Patient reported elimination of food lodgment and improved comfort during mastication.
Discussion
Quadrant dentistry enhances:
✅ Efficiency – fewer appointments
✅ Occlusal harmony – simultaneous contact adjustments
✅ Isolation predictability – one dam placement per quadrant
✅ Material handling – controlled anatomical build-ups
Using fiber-reinforced core (EverX) improves flexural strength by mimicking dentin elasticity and reduces polymerization stress. Immediate dentin sealing enhanced adhesion durability and postoperative sensitivity control.
Conclusion
This case exemplifies functional, esthetic, and conservative adhesive dentistry. Quadrant rehabilitation not only restores missing tooth structure but also prevents further biomechanical collapse while preserving natural tissue—true Zerodont Dentistry.
Share on: