Conservative Anterior Composite Rehabilitation Using Protocol-Based Adhesive Dentistry
Abstract
This case demonstrates a minimally invasive restorative approach for improving anterior esthetics using direct composite veneers on the maxillary central incisors. A strict adhesive protocol, rubber dam isolation, digital shade selection, and microscope-assisted layering were used to achieve a natural, youthful smile.
Materials included 3M Filtek Easy Match, Tokuyama Estelite Omega (Ocher stain), Saremco Flow, BISCO All-Bond Universal, and a multi-step polishing sequence with Dentsply Pogo, Kerr Enhance, DiaShine, and Lucida (Style Italiano).
1. Chief Concern
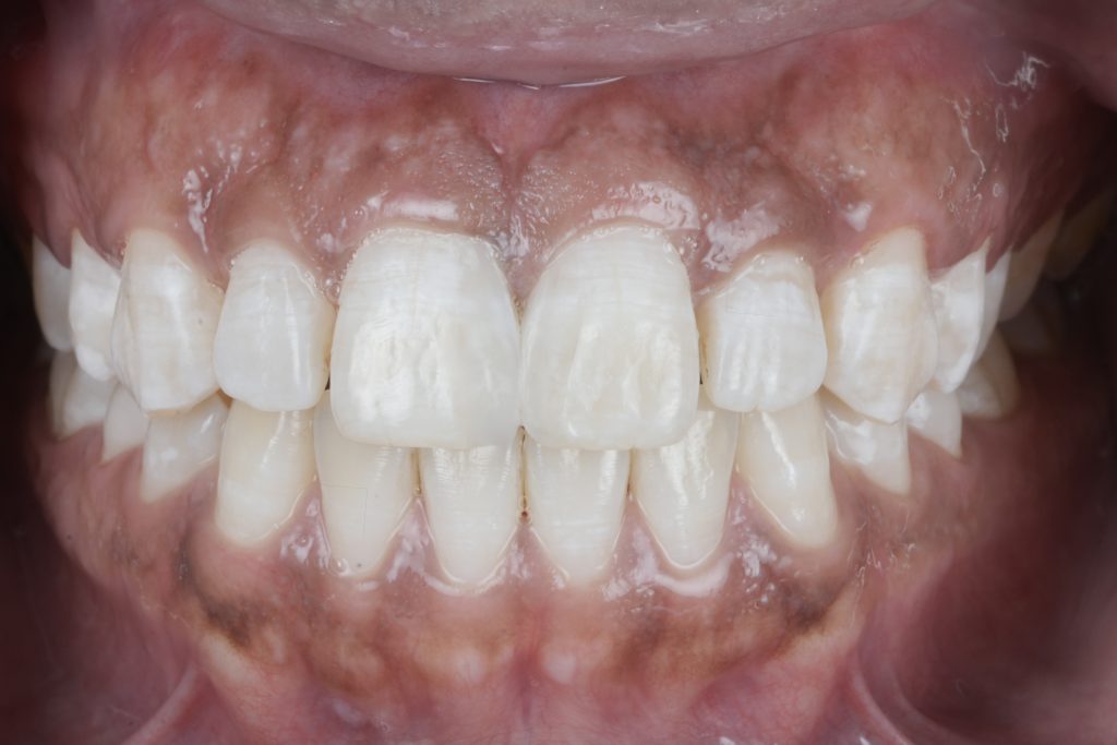
The patient reported dissatisfaction with the midline spacing, enamel dyschromia, and overall asymmetry of her maxillary central incisors. She sought a conservative cosmetic improvement without aggressive tooth preparation.
2. Clinical Assessment
- Teeth involved: 11 & 21
- Findings:
- Generalized fluorosis-like opacities
- Mild brown staining
- Midline diastema
- No caries
- Symmetric gingival zeniths
- Favorable occlusal guidance
- Smile analysis:
- Narrow corridor
- Disharmony in incisal embrasures
- Mameloid architecture worn
3. Treatment Plan
A minimally invasive composite veneer approach was selected:
- Shade selection with 3M Easy Match System
- Rubber dam isolation for absolute moisture control
- Selective enamel etch
- BISCO All-Bond Universal application
- Freehand veneer buildup using:
- 3M Easy Match dentin & enamel shades
- Tokuyama Omega Ocher stain for warmth
- Saremco SW flowable for micro-anatomic transitions
- Final anatomy refinement
- High-gloss finish using Pogo → Enhance → DiaShine → Lucida
4. Clinical Workflow
Step 1: Pre-operative Documentation
High-resolution images were taken with Sony A7RV and Godox MF12 + SMD Intra-Diffuser, ensuring accurate texture and shade visualization.
The pre-op photos reveal dyschromia, enamel defects, and a visible central diastema.
Step 2: Isolation
A single-arch rubber dam was placed for a controlled, contamination-free environment. Clamps were positioned to retract papillae and expose cervical margins.
Step 3: Surface Cleaning & Etching
- Superficial stains were removed with a fine diamond.
- Selective enamel etching for 10–12 seconds.
- Rinse and air-dry to a frosty enamel finish.
Step 4: Adhesive Protocol
BISCO All-Bond Universal was scrubbed for 20 seconds, air-thinned, and light-cured.
This ensured an even hybrid layer and predictable enamel bonding.
Step 5: Composite Buildup
5.1 Palatal Shell
A thin enamel shell was created using 3M Easy Match enamel shade to define incisal form.
5.2 Body Layer
Incremental layering with a dentin-mimicking shade.
Ocher tint (Tokuyama Estelite Omega) was placed to mimic natural warmth and opacity transitions.
5.3 Interproximal Architecture
Saremco flowable was used in thin sweeps to sculpt contact points and maintain papilla-friendly contours.
5.4 Final Enamel Layer
A thin façade of high-value enamel composite completed the optical integration.
Step 6: Finishing & Polishing
A sequential protocol was followed:
- Pogo – initial smoothing
- Kerr Enhance – contour refining
- DiaShine – micro-gloss
- Lucida (Style Italiano) – glass-like final shine
This created a surface luster almost identical to natural enamel.
5. Post-operative Outcome
The final result shows:
- Closed diastema
- Harmonized color and translucency
- Balanced midline
- Enhanced incisal embrasures
- Natural enamel-like texture
- High-gloss finish with stable shade integrity
The smile now appears younger, brighter, and more symmetrical—all without any aggressive reduction.
6. Discussion
This case highlights the value of biomimetic, conservative, and adhesive-driven restorative dentistry. Direct composite veneers remain a gold standard for young patients or those seeking reversible esthetic improvements.
Key success factors included:
- Rubber dam isolation
- Precision shade-mapping
- Incremental anatomic layering
- Use of modern nano-hybrid composites
- Enhanced finishing systems for enamel-realistic gloss
The combination of 3M Easy Match and Tokuyama Ocher stain allowed subtle internal effects that mimic natural enamel’s polychromatic behavior.
7. References
- Van Meerbeek B. et al. “Adhesion to Enamel and Dentin: Current Status and Future Challenges.” Operative Dentistry.
- Ferracane JL. “Resin Composite—State of the Art.” Dental Materials.
- Dietschi D., Spreafico R. “Aesthetic and Biomimetic Direct Composite Restorations.” Quintessence.
- Manauta J., Salat A. “Layers: An Atlas of Composite Resin Stratification.” Quintessence Publishing.
- Marson FC, et al. “Effectiveness of Direct Composite Veneers.” Journal of Dentistry.
Share on: