Conservative Class II Adhesive Rehabilitation Under Full Isolation**
Clinical Overview
A lower posterior tooth presented with an incipient proximal lesion visible clinically and radiographically. The goal was simple: treat early disease with minimal preparation, preserve enamel, and rebuild a tight contact with a controlled adhesive workflow.
The tooth was isolated with a heavy-weight rubber dam. Caries was removed selectively until a clean enamel–dentin interface was reached. No extension for convenience. No unnecessary sacrifice of structure.
A sectional matrix and wedge were placed to stabilize the marginal ridge form. Adhesive protocol was performed on sound enamel and dentin, followed by incremental composite build-up to recreate natural anatomy and occlusal harmony.
Clinical Steps (Image-Mapped)
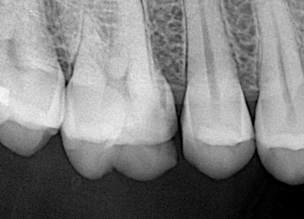
1. Pre-op evaluation
Bitewing radiographs show a small proximal radiolucency without pulpal involvement.
→ Perfect indication for a conservative Zerodont restoration.
2. Isolation & Access
Rubber dam placement ensured a clean field.
Only undermined enamel and infected dentin were removed—nothing more.
3. Matrix, Wedge & Separation
A tight sectional matrix with a soft wedge gave:
- A clean emergence profile
- Predictable contact strength
- Gingival seal control
4. Adhesive Workflow
A classic etch-and-rinse on enamel / self-etch on dentin
(using a 7th-generation universal adhesive) preserved the hybrid layer and reduced sensitivity.
5. Layered Composite Build-Up
Composite was placed in controlled increments:
- 3M Filtek Easy Match Shades
For natural value and chroma blending.
- Tokuyama Estelite Ocher Stain
For fissure tinting and internal character.
- Anatomical build using small tipped instruments and brush adaptation.
6. Finishing & Polishing
The sequence used:
- Estelite Pogo – pre-polish
- Enhance System (Dentsply) – contour and texture
- DiaShine Intraoral Paste – gloss
- Lucida Composite Gloss System (Style Italiano) – final shine
This combination reliably delivers a high-gloss, long-lasting polish while maintaining surface texture.
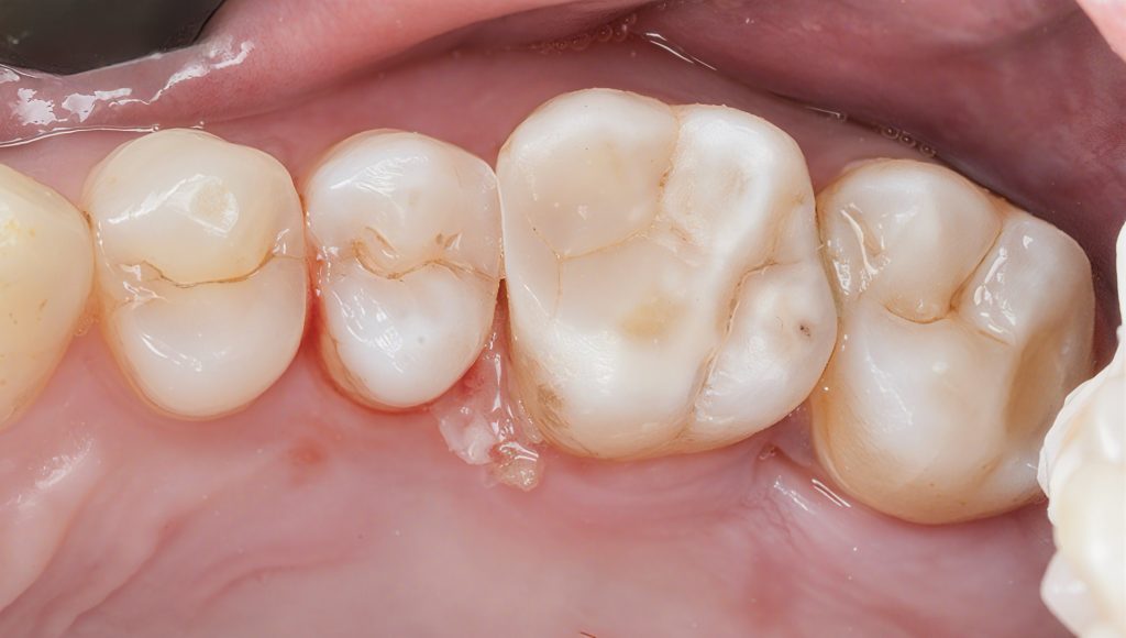
7. Post-op Result
A clean, natural anatomy with:
- A sealed proximal contact
- Proper cusp-fossa relationship
- Smooth margins
- No postoperative sensitivity expected
References (Evidence-Based)
- Magne P., & Belser U. Bonded Porcelain Restorations in the Anterior Dentition. Quintessence.
- Opdam NJ et al. Longevity of posterior composite restorations. J Dent Res. 2014.
- Van Meerbeek et al. Adhesion to Enamel & Dentin. Operative Dentistry.
- Bicalho et al. Incremental layering and stress distribution. J Adhes Dent.
- Kwon et al. Effectiveness of sectional matrix systems in Class II restorations. Oper Dent.
- Terry DA. Direct composite resins: A modern approach. Dent Clin North Am.
- Chuang et al. Polish retention of composite systems. J Esthet Restor Dent.
Share on: