Composite Veneer Workflow
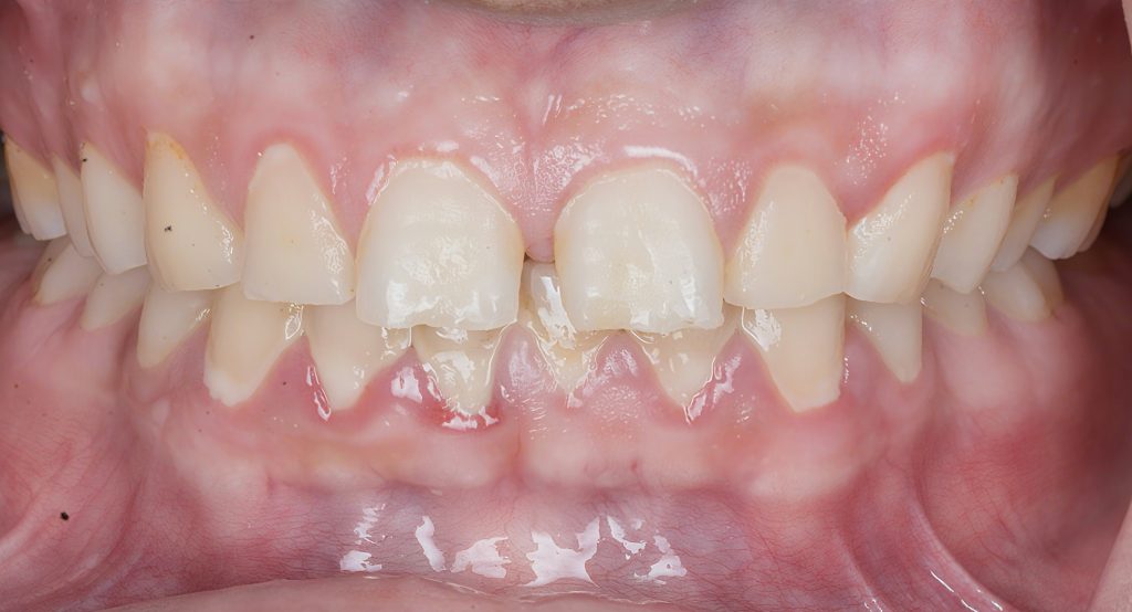
Goal: Correct midline spacing, edge wear and shape asymmetry with a fully additive, no-prep approach.
1. Digital Planning
- High-res photos and scans imported into ExoCAD
- 3D blueprint designed to restore length, proportions and smile arc
- Mock-up used to pre-visualize final esthetics and guide palatal form
2. Isolation & Surface Protocol
- Rubber dam for clean, dry field
- Selective enamel etch (37% phosphoric, 15 sec)
- Universal adhesive applied in a thin, even film and light cured
3. Additive Veneer Build-Up
- Palatal shelf formed first for control and symmetry
- Body layering with Tokuyama Estelite (Sigma Quick) and 3M composite to match translucency and value
- Incisal characterization guided by the digital design
- Shape and line angles kept sharp to maintain natural light dynamics
4. Finishing & Polish
- Primary anatomy refined with fine diamond/soflex sequence
- Kerr One-Step polisher + Diashine for gloss foundation
- Lucida system (Style Italiano) for mirror-like final polish
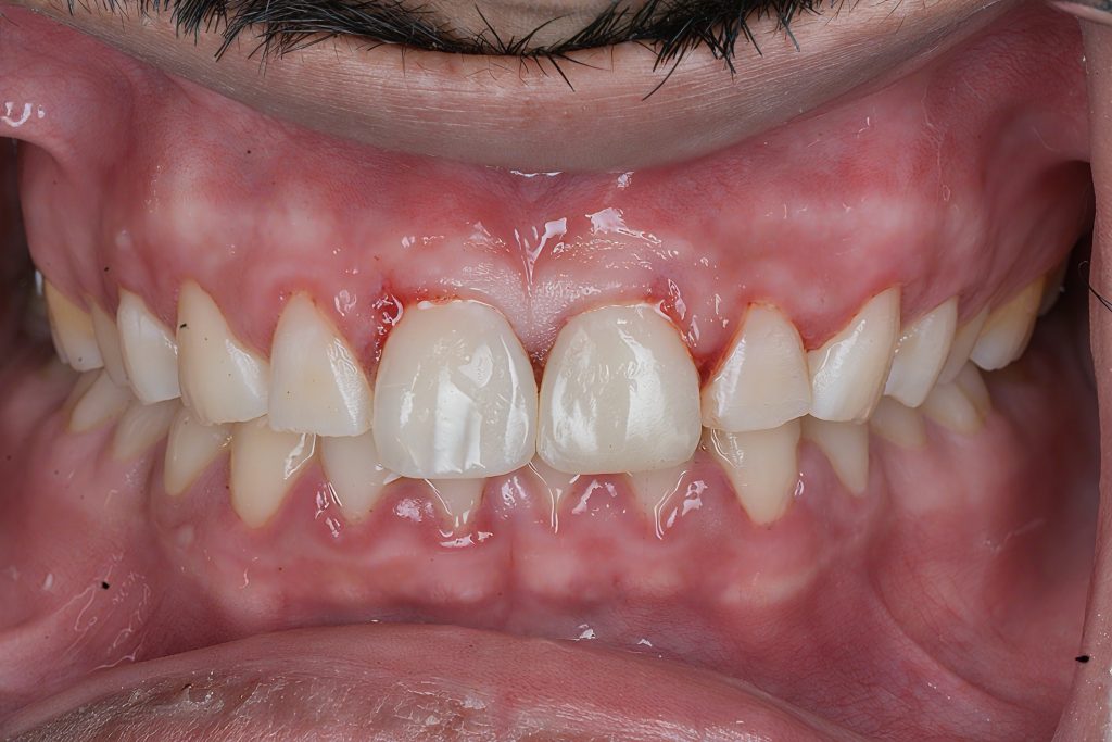
5. Outcome
- No tooth reduction
- Natural anatomy and midline balance restored
- Improved smile esthetics with a completely reversible, biomimetic approach
📚
Key References
- Magne P. & Belser U. Biomimetic Restorative Dentistry Principles, Quintessence.
- Galafassi D. et al. Additive veneer techniques for minimally invasive esthetics, J Esthet Restor Dent.
- Chiodera G. Lucida Composite Finishing Protocol, Style Italiano Clinical.
- Nakajima M. Light dynamics and optical behavior of composite resins, Dent Mater.
A fully additive smile—no drilling, no sacrifice.
Designed in ExoCAD, layered with Tokuyama + 3M, and polished to glass with Diashine & Lucida.
Digital precision, natural anatomy, and a confident new smile.
Share on: