Conservative Endodontic Management and Biomimetic Cuspal Coverage in a Young Permanent Molar – A Zerodont Philosophy Case
Clinical Category:
Biomimetic Endodontics | Adhesive Restorative Dentistry | Zerodont Conservative Practice
Tooth:
Mandibular First Molar
Keywords:
Zerodont, Biomimetic Dentistry, Conservative Endodontics, Bioceramic Sealer, Root Canal Treatment, Cuspal Coverage, Composite Onlay, Rubber Dam Isolation
Abstract
This case demonstrates a minimally invasive endodontic approach combined with biomimetic adhesive restorative principles to rehabilitate a structurally compromised mandibular molar. Following strict Zerodont philosophy, the treatment focused on preserving maximum natural tooth structure, maintaining pulp chamber anatomy, achieving 3D disinfection and obturation with a bioceramic sealer, and restoring structural integrity using cuspal coverage with direct composite. The procedure achieved function, esthetics, and long-term durability with a tooth-preserving approach.
Case Presentation
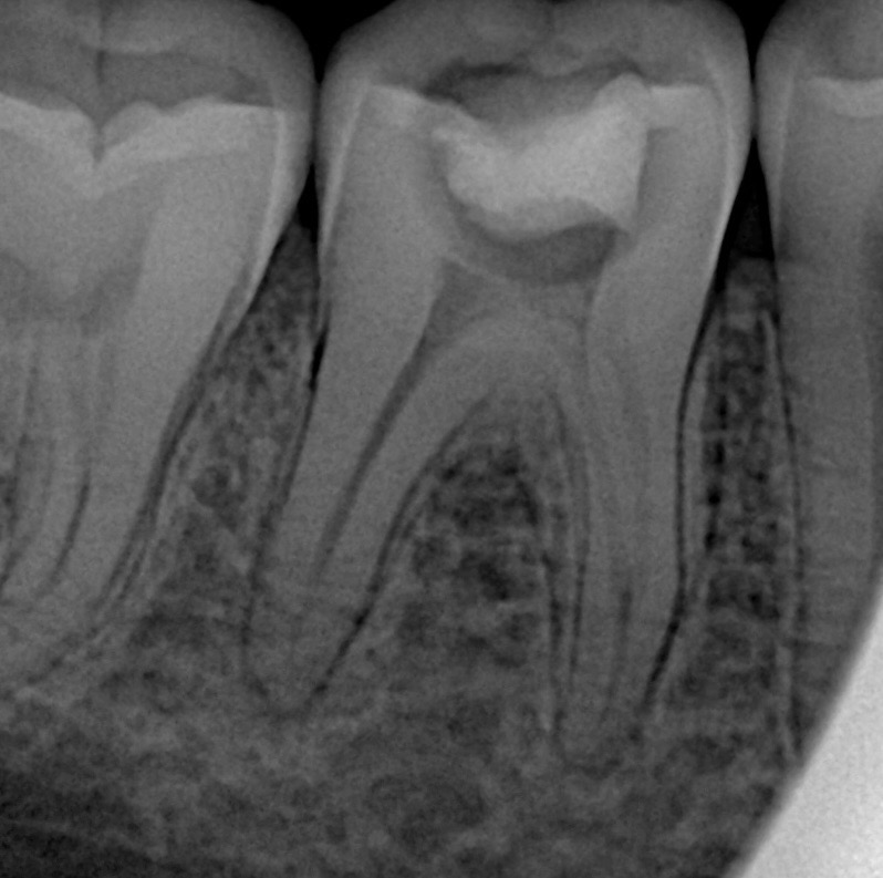
A 24-year-old patient presented with spontaneous pain on biting and tenderness localized to the mandibular right first molar (#46). Clinical examination revealed a large defective composite restoration with underlying recurrent caries. The tooth tested symptomatic irreversible pulpitis with normal periapical findings. Preoperative periapical radiograph showed deep recurrent caries approaching the pulp with no periapical radiolucency.
Treatment Objectives
- Preserve remaining healthy tooth structure (Zerodont Philosophy).
- Perform conservative access endodontics with minimal pericervical dentin removal.
- Achieve effective chemomechanical debridement and 3D obturation.
- Restore tooth with biomimetic reinforcement and cuspal coverage to prevent fracture.
Treatment Protocol
1. Isolation & Caries Removal
Rubber dam isolation was achieved to ensure absolute moisture control. Selective caries excavation was performed to remove infected dentin while conserving affected remineralizable dentin.
2. Conservative Endodontic Access
A contracted access cavity preserving pericervical dentin was created. Canal orifices were identified without unnecessary removal of dentin shelves, adhering to Ninja Access philosophy.
3. Cleaning and Shaping
- Working length established using apex locator and confirmed radiographically.
- Shaping performed using rotary NiTi files under glide path maintenance.
- Irrigation protocol:
- 5.25% NaOCl (warm activation using ultrasonics)
- 17% EDTA for smear layer removal
- Final rinse with chlorhexidine
4. Obturation
The canals were obturated using:
- Bioceramic sealer (Calcium Silicate-based)
- Single cone hydraulic condensation technique
This ensured excellent apical sealing, bioactive dentin tubule penetration, and minimal extrusion risk.
5. Biomimetic Core Build-Up & Cuspal Protection
To reinforce internal structure:
- Deep dentin sealed immediately post-endo with 4th generation adhesive (Total Etch)
- Dentin replacement performed using GC EverX Flow fiber-reinforced composite
- Enamel layer restored using Tokuyama Estelite Sigma Quick / 3M Filtek Z350 XT incremental layering
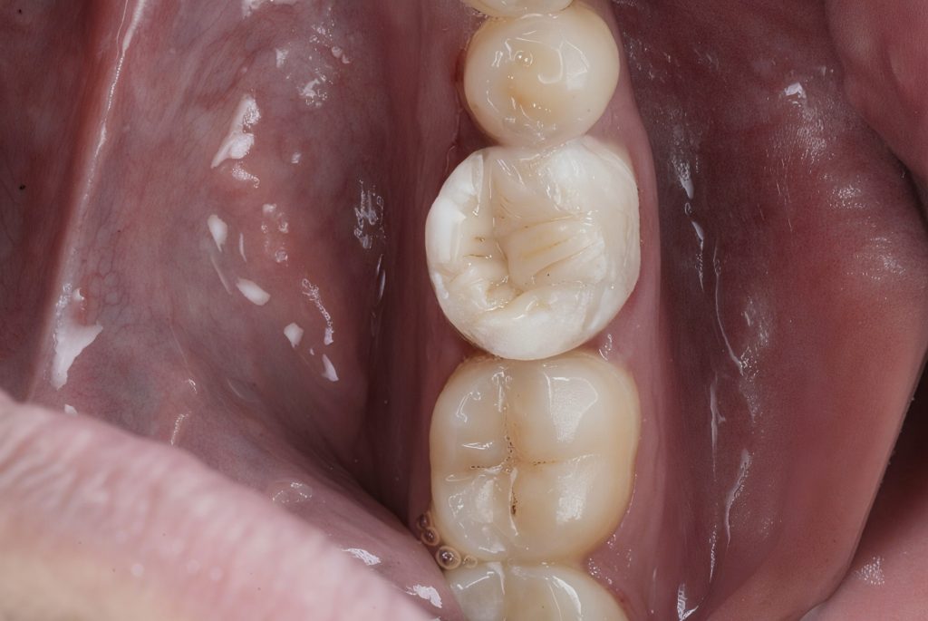
Cuspal coverage was achieved with a biomimetic direct onlay design to redistribute occlusal forces and prevent fracture.
6. Occlusion and Finishing
Anatomy sculpted following natural occlusal morphology. Final finishing and polishing was done using Lucida Star + Spiral Polishers (Style Italiano) for enamel-like luster.
Outcome
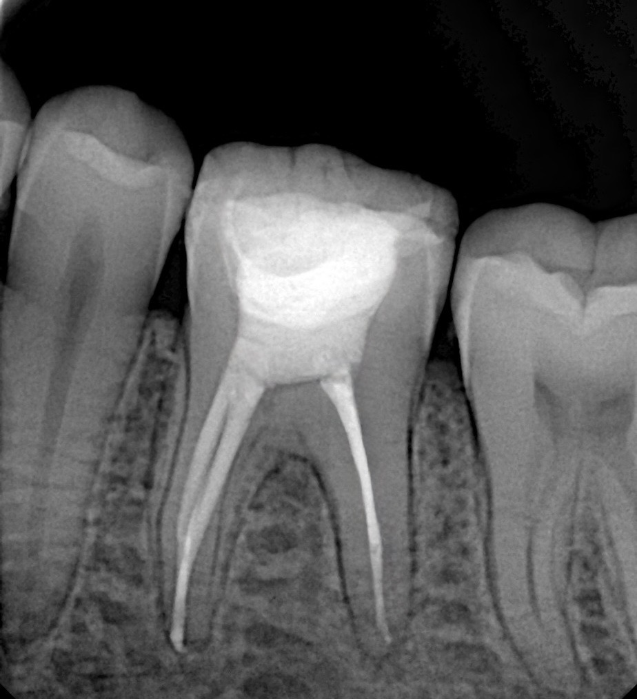
- Post-operative radiograph confirms dense 3D obturation to working length.
- Tooth was functionally and esthetically restored in a single visit.
- Patient reported complete relief of symptoms.
- Biomimetic approach preserved 70–80% of natural tooth structure.
- No post-op pain at 7-day recall, excellent function and marginal seal.
Discussion
This case reflects Zerodont Excellence—prioritizing biology, adhesion, and conservation over aggressive dentistry.
- Minimal invasive access preserved dentin critical for long-term strength.
- Bioceramic sealer ensured bioactivity and dimensional stability.
- Fiber-reinforced dentin replacement restored biomechanics.
- Cuspal coverage increased fracture resistance up to 2–3 times compared to conventional composites.
This approach exemplifies the modern synergy of Micro-Endodontics + Biomimetic Restorative Dentistry.
Conclusion
A structurally compromised molar was predictably restored using a tooth-preserving strategy. This case reinforces the philosophy:
✅ Save the tooth
✅ Respect biology
✅ Reinforce, don’t replace
✅ Biomimetic Dentistry = Longevity + Function + Beauty
Materials Used
| Step |
Material |
| Isolation |
Rubber Dam + Winged Clamp |
| Sealer |
Bioceramic (Calcium Silicate-based) |
| Irrigation |
NaOCl, EDTA, CHX |
| Dentin Build-Up |
GC EverX Flow |
| Composite Enamel Layer |
Tokuyama / 3M Z350 XT |
| Bonding System |
6th Generation selective etc |
| Finish & Polish |
Lucida Style Italiano |
Share on: