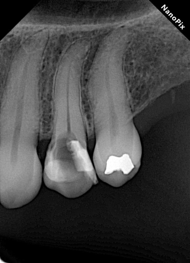
This case demonstrates the complete management of a maxillary premolar with irreversible pulpitis and compromised coronal structure. The treatment involved root canal therapy under rubber dam isolation, followed by adhesive restoration to ensure functional and esthetic rehabilitation.
1. Initial Presentation
2. Rubber Dam Isolation
3. Access Opening & Pulpal Exposure
4. Cleaning & Shaping
5. Obturation
6. Adhesive Restoration
7. Final Outcome
{"source_type":"hypic","tiktok_developers_3p_anchor_params":"{"filter_id":[],"template_id":"","client_key":"awgvo7gzpeas2ho6","capability_key":["edit"],"capability_extra_v2":{"edit":[{"panel":"hd_quality_picture"},{"panel":"auto_edit_pro"}]}}","data":{"product":"retouch","playId":"","filterId":"","imageEffectId":"","os":"ios","stickerId":"","infoStickerId":"","pictureId":"6DB50EE6-176C-4EFE-948C-3883314FDCD0","appversion":"7.2.0","activityName":"","enter_from":"enter_launch"}}
{"tiktok_developers_3p_anchor_params":"{"capability_key":["edit"],"capability_extra_v2":{"edit":[{"panel":"hd_quality_picture"},{"panel":"auto_edit_pro"}]},"filter_id":[],"client_key":"awgvo7gzpeas2ho6","template_id":""}","data":{"product":"retouch","stickerId":"","playId":"","infoStickerId":"","os":"ios","activityName":"","enter_from":"enter_launch","appversion":"7.2.0","pictureId":"5406C89A-076F-43FE-B12C-A2BE98D1B02E","filterId":"","imageEffectId":""},"source_type":"hypic"}
{"source_type":"hypic","tiktok_developers_3p_anchor_params":"{"template_id":"","client_key":"awgvo7gzpeas2ho6","capability_extra_v2":{"edit":[{"panel":"hd_quality_picture"},{"panel":"auto_edit_pro"}]},"filter_id":[],"capability_key":["edit"]}","data":{"filterId":"","pictureId":"C84A8FF0-2383-4898-94FB-C8940F43987E","imageEffectId":"","os":"ios","stickerId":"","product":"retouch","infoStickerId":"","appversion":"7.2.0","activityName":"","enter_from":"enter_launch","playId":""}}
{"source_type":"hypic","tiktok_developers_3p_anchor_params":"{"capability_extra_v2":{"edit":[{"panel":"hd_quality_picture"},{"panel":"auto_edit_pro"}]},"capability_key":["edit"],"template_id":"","client_key":"awgvo7gzpeas2ho6","filter_id":[]}","data":{"filterId":"","pictureId":"FBB75C0A-67E6-4CBA-81AE-9370B786219F","os":"ios","enter_from":"enter_launch","activityName":"","stickerId":"","product":"retouch","infoStickerId":"","imageEffectId":"","playId":"","appversion":"7.2.0"}}
{"source_type":"hypic","data":{"os":"ios","activityName":"","playId":"","appversion":"7.2.0","pictureId":"C6ABE417-DAAA-4885-96CD-E68A5CD37D3E","filterId":"","infoStickerId":"","product":"retouch","stickerId":"","imageEffectId":"","enter_from":"enter_launch"},"tiktok_developers_3p_anchor_params":"{"capability_extra_v2":{"edit":[{"panel":"hd_quality_picture"},{"panel":"auto_edit_pro"}]},"filter_id":[],"capability_key":["edit"],"client_key":"awgvo7gzpeas2ho6","template_id":""}"}
{"source_type":"hypic","data":{"activityName":"","product":"retouch","stickerId":"","enter_from":"enter_launch","filterId":"","pictureId":"A360ED0C-BBE8-4D30-9B5D-F2007E91F3ED","infoStickerId":"","imageEffectId":"","playId":"","appversion":"7.2.0","os":"ios"},"tiktok_developers_3p_anchor_params":"{"template_id":"","client_key":"awgvo7gzpeas2ho6","filter_id":[],"capability_key":["edit"],"capability_extra_v2":{"edit":[{"panel":"hd_quality_picture"},{"panel":"smart_color_button"}]}}"}
{"data":{"imageEffectId":"","product":"retouch","activityName":"","pictureId":"3DFF5BCB-C0F0-4A8B-B3AB-D3F78F1DA1D6","filterId":"","playId":"","os":"ios","appversion":"7.2.0","enter_from":"enter_launch","stickerId":"","infoStickerId":""},"source_type":"hypic","tiktok_developers_3p_anchor_params":"{"client_key":"awgvo7gzpeas2ho6","filter_id":[],"capability_key":["edit"],"template_id":"","capability_extra_v2":{"edit":[{"panel":"hd_quality_picture"},{"panel":"smart_color_button"}]}}"}
{"tiktok_developers_3p_anchor_params":"{"capability_extra_v2":{"edit":[{"panel":"hd_quality_picture"},{"panel":"smart_color_button"}]},"capability_key":["edit"],"client_key":"awgvo7gzpeas2ho6","template_id":"","filter_id":[]}","data":{"activityName":"","filterId":"","pictureId":"B47D44C5-D621-469A-A72A-4508324FF288","imageEffectId":"","os":"ios","product":"retouch","enter_from":"enter_launch","infoStickerId":"","playId":"","stickerId":"","appversion":"7.2.0"},"source_type":"hypic"}
{"source_type":"hypic","tiktok_developers_3p_anchor_params":"{"client_key":"awgvo7gzpeas2ho6","template_id":"","capability_key":["edit"],"filter_id":[],"capability_extra_v2":{"edit":[{"panel":"hd_quality_picture"},{"panel":"smart_color_button"}]}}","data":{"stickerId":"","filterId":"","product":"retouch","playId":"","os":"ios","activityName":"","enter_from":"enter_launch","pictureId":"0165F23A-1E5D-4950-9696-42B7E0E7D07B","appversion":"7.2.0","imageEffectId":"","infoStickerId":""}}
{"tiktok_developers_3p_anchor_params":"{"capability_key":["edit"],"template_id":"","filter_id":[],"client_key":"awgvo7gzpeas2ho6","capability_extra_v2":{"edit":[{"panel":"hd_quality_picture"},{"panel":"smart_color_button"}]}}","data":{"stickerId":"","appversion":"7.2.0","infoStickerId":"","product":"retouch","imageEffectId":"","os":"ios","playId":"","enter_from":"enter_launch","activityName":"","pictureId":"5478FCF6-5201-4C6D-BCAE-BF998D92682A","filterId":""},"source_type":"hypic"}
{"tiktok_developers_3p_anchor_params":"{"capability_extra_v2":{"edit":[{"panel":"hd_quality_picture"},{"panel":"smart_color_button"}]},"client_key":"awgvo7gzpeas2ho6","capability_key":["edit"],"filter_id":[],"template_id":""}","data":{"pictureId":"D758BE83-288A-4BA7-A3F4-4167C4EE4248","playId":"","infoStickerId":"","stickerId":"","filterId":"","os":"ios","appversion":"7.2.0","activityName":"","imageEffectId":"","enter_from":"enter_launch","product":"retouch"},"source_type":"hypic"}