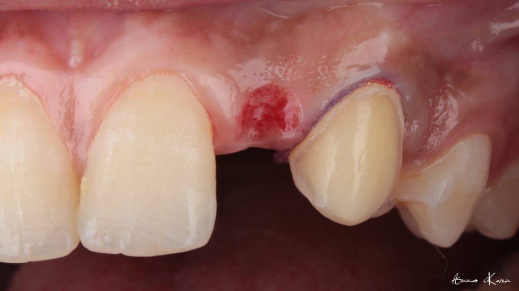
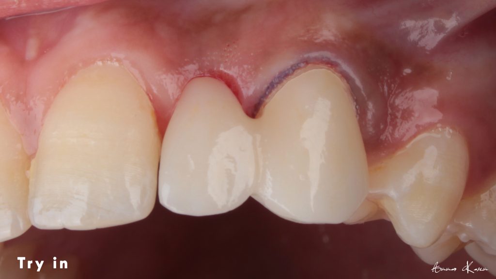
This case describe a variation of an existing restorative option that has been used for decades-the Maryland bridge. However, in this modified technique, the engineering is reversed, placing the retainers on the facial surface in the form of laminate veneers while providing connectors to support a pontic.
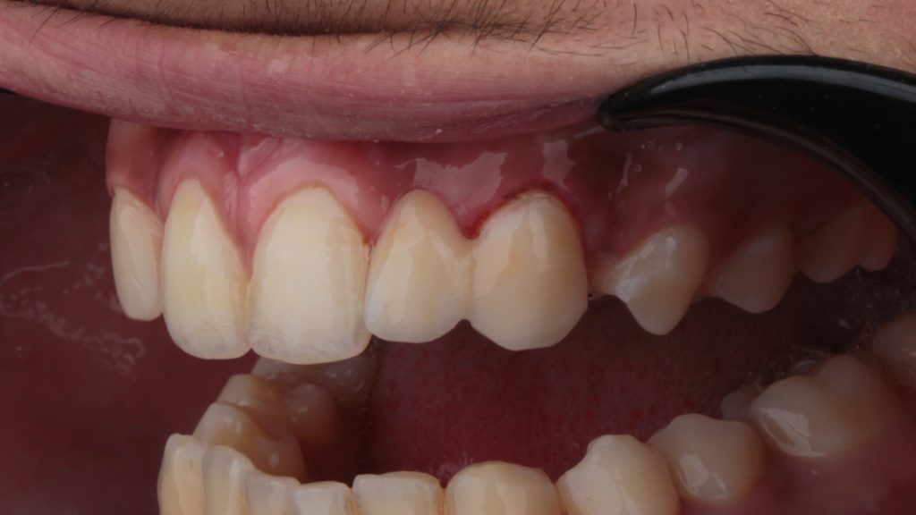
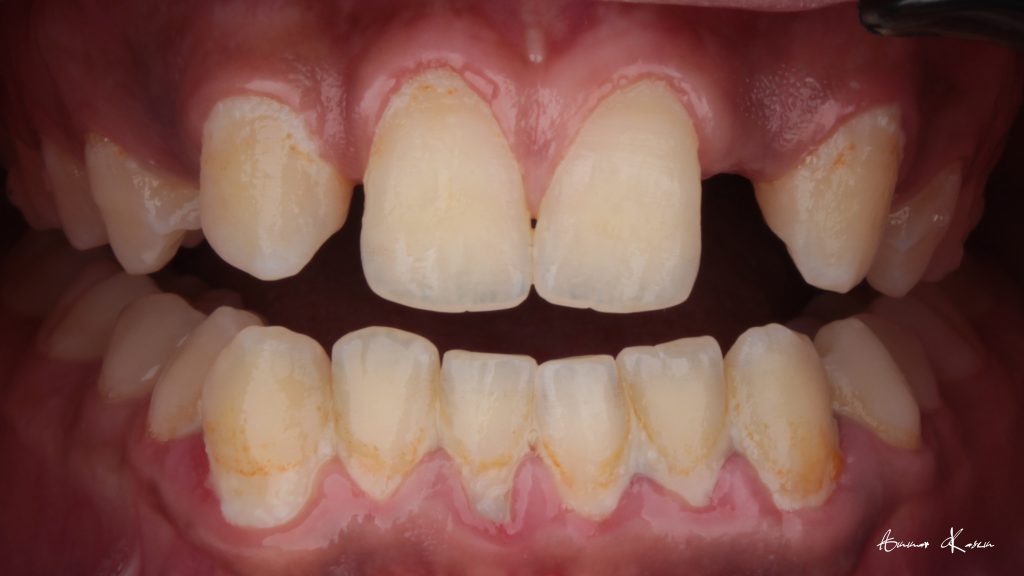
Patient refused orthodontic treatment and need fast way to replace the missing tooth.
Resin bonded FDP is a conservative way to replace one missed tooth.
The over-eruption of lower canine make unfavorable occlusion to make conventional resin bonded, so a modified technique was used.
References:
1. Türkaslan S, Mutluay MM, Vallittu PK, Arola D, Tezvergil-Mutluay A. Fatigue resistance of metal-free cantilever bridges supported by labial laminate veneers. J Mech Behav Biomed Mater. 2020 Mar;103:103596.
2. Gresnigt MMM, Tirlet G, Bošnjak M, van der Made S, Attal JP. Fracture strength of lithium disilicate cantilever resin bonded fixed dental prosthesis. J Mech Behav Biomed Mater. 2020 Mar;103:103615.
3. Zitzmann NU, Büren AV, Glenz F, Rohr N, Joda T, Zaugg LK. Clinical outcome of metal- and all-ceramic resin-bonded fixed dental prostheses. J Prosthodont Res. 2021 Jun 30;65(2):243-248.
– Lecturer – Fixed prosthodontics department – Mansoura university – Egypt
– Doctor degree of fixed prosthodontics, implant and occlusion (2024)
– Master degree of fixed prosthodontics (2021) Bachelor of dentistry (2014)
– CEO and Owner of Dura Dental center (2023 till now)
Share on: