Brand: Emax
Material: Lithium disilicate
Technique: Esthetic crown lengthening, Botox injection
Excessive gingival display or “gummy smile” is a growing concern to dental patients and often considered detrimental to an esthetic smile. Gingival display of more than 4 mm of gingiva is considered by many to be unattractive. The cause of…
Brand: Emax
Material: Lithium disilicate
Technique: Resin bonded
This case describe a variation of an existing restorative option that has been used for decades-the Maryland bridge. However, in this modified technique, the engineering is reversed, placing the retainers on the facial surface in the form of laminate veneers…
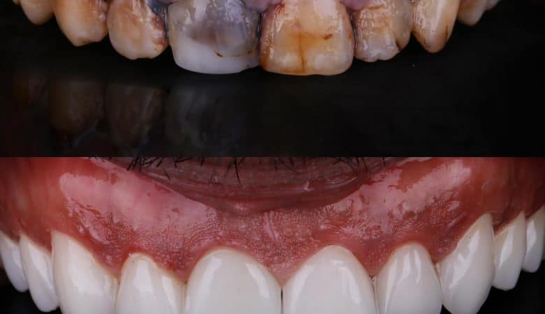
Brand: Emax
Material: Lithium disilicate
Technique: Surgical crown lengthening, Depigmentation
A case of deep bite, large diastemas and deep pigmentation After diagnosis we found that the patient has short teeth and excess gingival tissue Treatment plan – Digital smile design – Depigmentation using surgical technique – Gingivectomy with electrocautery –…
Brand: Emax, Bisco
Material: Lithium disilicate
Technique: ADDITIVE dentistry, Occlusal Reconstruction
Diagnosis is the endpoint of a complex process centered on a patient, collaborating with both the patient and other sources of clinical information to reason backward as to the potential health issue causing the patient’s current condition. Diagnosis – Deep…
Brand: Biolase
Material: PMMA
Technique: Anterior Restoration, Gingivectomy
45 old patient complaining from – long connected restorations – bulky old PFM After removal of restorations No papilla 😬 It was difficult to reshape the gingiva to avoid lengthening of the already tall teeth Tretment plan Just simple touch…
Brand: Dentsply
Material: Emax, zirconia
Technique: CAD/CAM
Full mouth rehabilitation (Still in progress ) 35 years old male patient having old PFM restorations The patient was normally class I occlusion type ( according to old photos and cephalometric analysis) till he received this defective restorations 10 years…
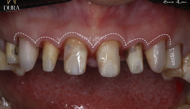
Brand: e.max
Material: zirconia
Technique: DSD
Full protocol of prosthetic treatment of gummy smile cases Statement of problems 1- Gummy smile 2- Short clinical crowns 3- Fractured teeth 4- Edge to edge occlusion The low labial height of maxillary and mandibular teeth not related to decreased…
Brand: Emax
Material: Emax
Technique: DSD, Digital planning
How to manage the deep discoloration in full mouth rehabilitation cases ? In this case the challenge is to obtain perfect esthetic results while using a material that can hide this discoloration Management of this case started from the gingiva…
Brand: Emax
Material: Emax
Technique: DSD
According to DSD planning it was difficult to close the diastema without ORTHO approximation Treatment plan 1- Ortho approximation of the two centrals and better distribution of the spaces between the 4 incisors 2- Preparation for 1 crown and 3…
Brand: e.max
Material: E-Max, Liithium disilicate
Technique: BOPT, Esthetic crown lengthening
About 6 months of hard working and about 5 years follow up Treatment plan 1- Removal of old restorations 2- Endodontic treatment and fiber posts 3- Custom made posts in badly destructed teeth 4- Implants for lower missed teeth 5-…