Full mouth rehabilitation (Still in progress

)
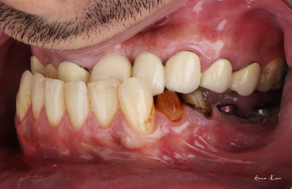
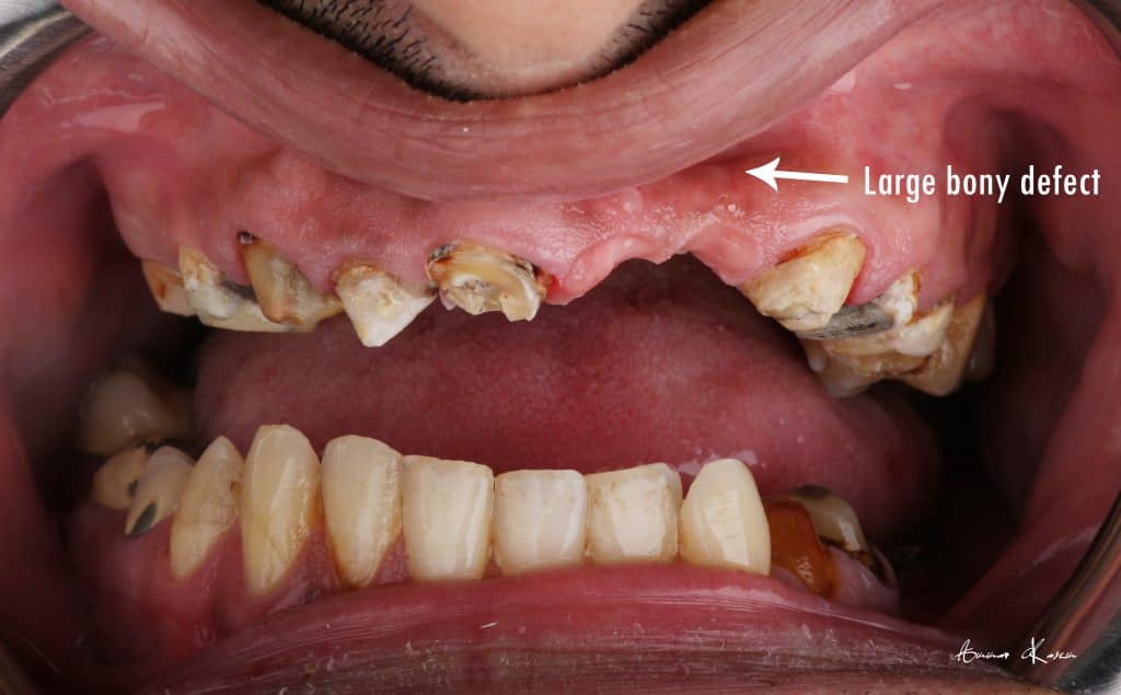
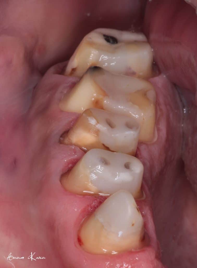
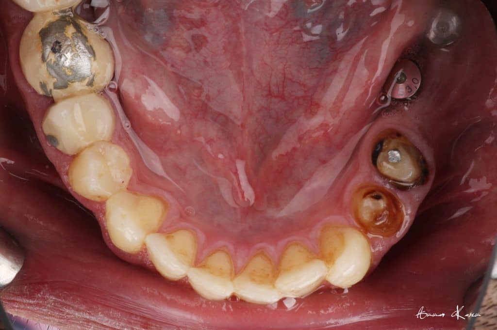
35 years old male patient having old PFM restorations
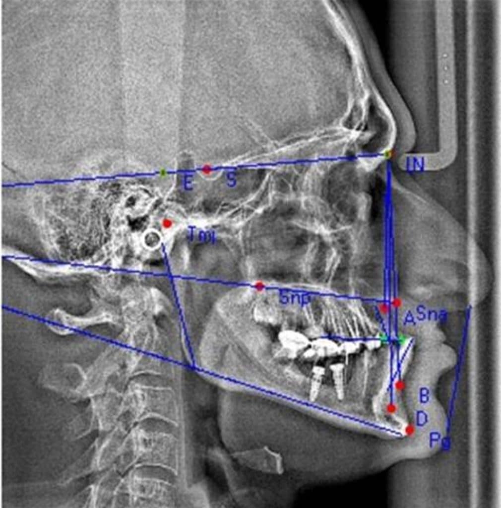
The patient was normally class I occlusion type ( according to old photos and cephalometric analysis) till he received this defective restorations 10 years ago
With time, the mandible shifted till become habitual class III
The patient was diagnosed by orthodontist, oral surgeon and prosthodontist to make the best treatment plan
Treatment plan
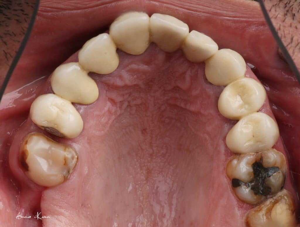
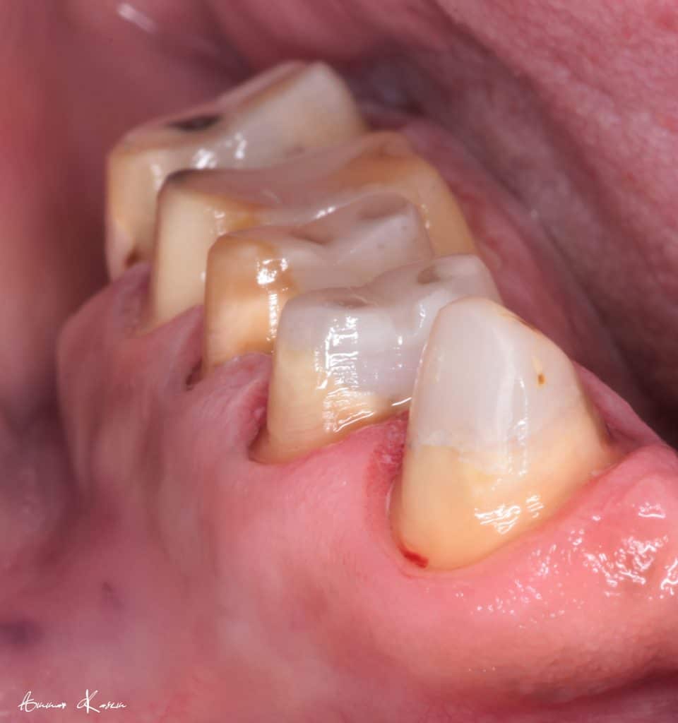
1- Removal of old restorations
2- Restorative phase ( including RCT, post and core )
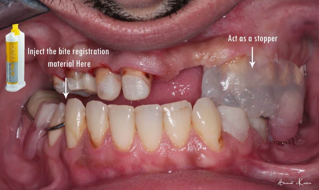
3- Deprogramming to release stresses and to adjust the new occlusion
4- Facebow records and mounting on semi adjustable articulator
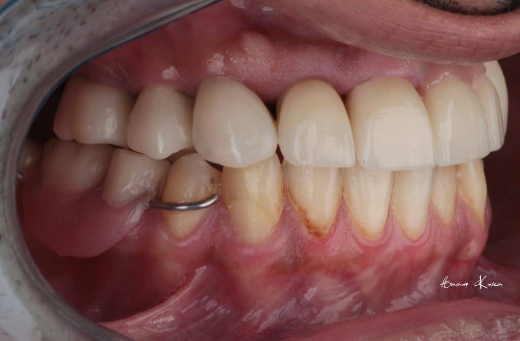
Temporization phase including;
5- 1st mock up ( edge to edge ) for 2 months
6- 2nd mock up ( Normal class I) for 3 months
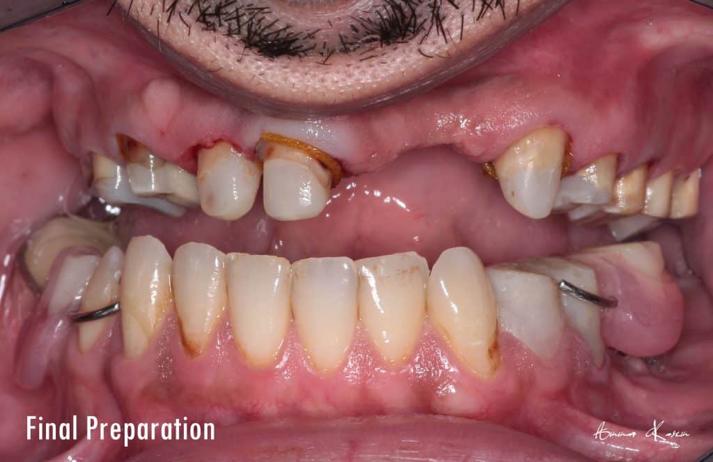
7- Preparation phase through half arch technique to preserve the vertical dimension
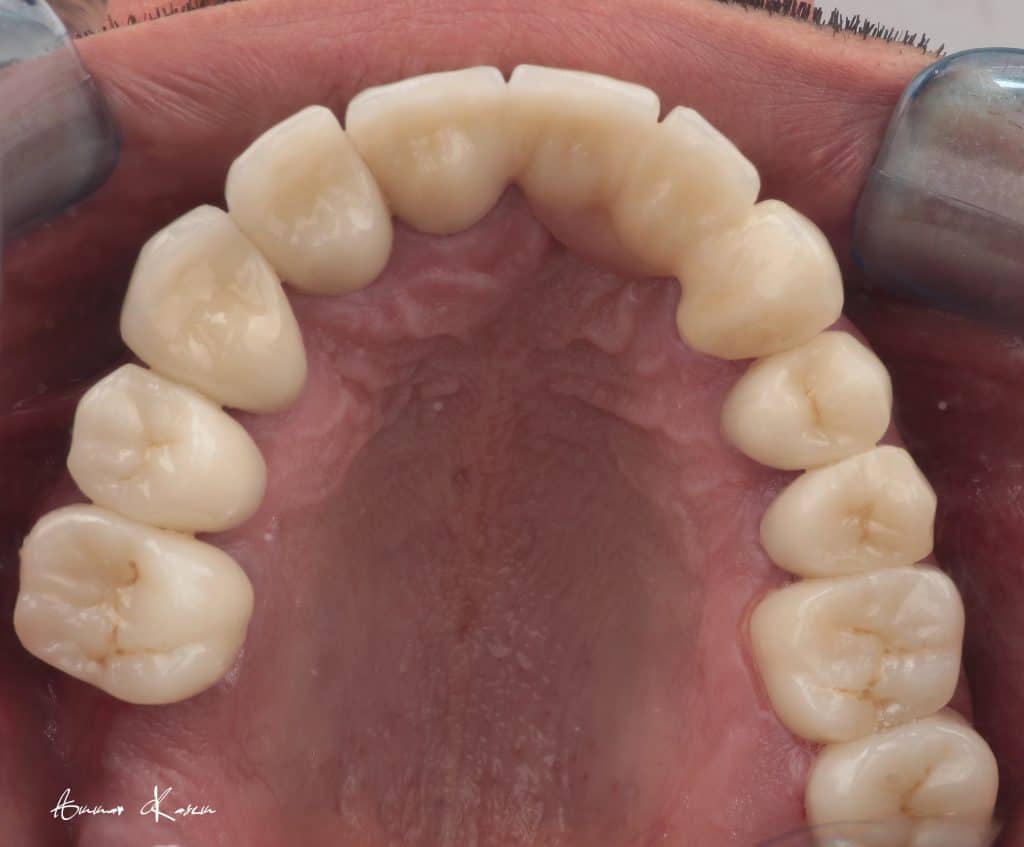
8- Ceramic fabrication including zirconia bridge and e.max crowns
9- Fabrication of RPD posteriorly till implant phase
10- The next phase will be implants in the posterior region
Share on: