Microscope-Guided Endodontics With MOD Biomimetic Composite Onlay Rehabilitation
Clinician:
Dr. Hamza Zahid
Magnification:
Dental Operating Microscope
Photography:
Sony + Godox Intraoral System
Isolation:
Heavy Rubber Dam
Material Protocol:
Tokuyama Estelite Sigma Quick, Clearfil SE Bond, GC EverX Posterior
1. Chief Complaint
A young male patient reported lingering pain on biting and spontaneous sensitivity on the mandibular molar. He previously had an inadequate restoration that led to pulp involvement.
2. Diagnostic Findings
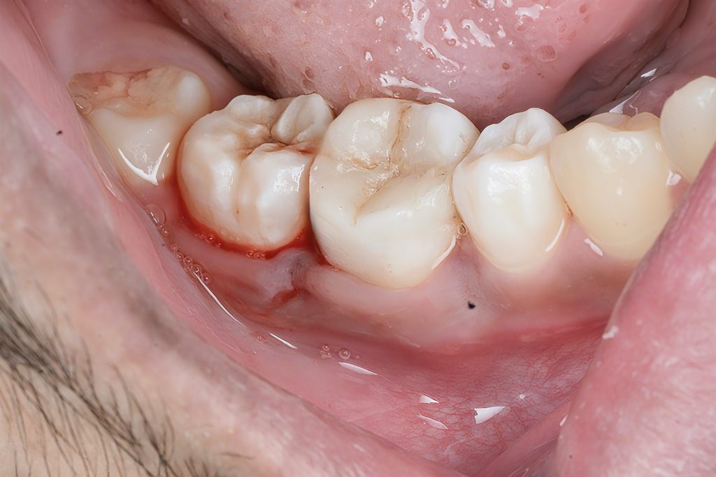
Clinical
- Localized swelling and mild gingival inflammation around the affected tooth.
- Deep carious breakdown extending into the dentin.
- Cracked undermined marginal ridges.
- Heavy occlusal staining with food stagnation.
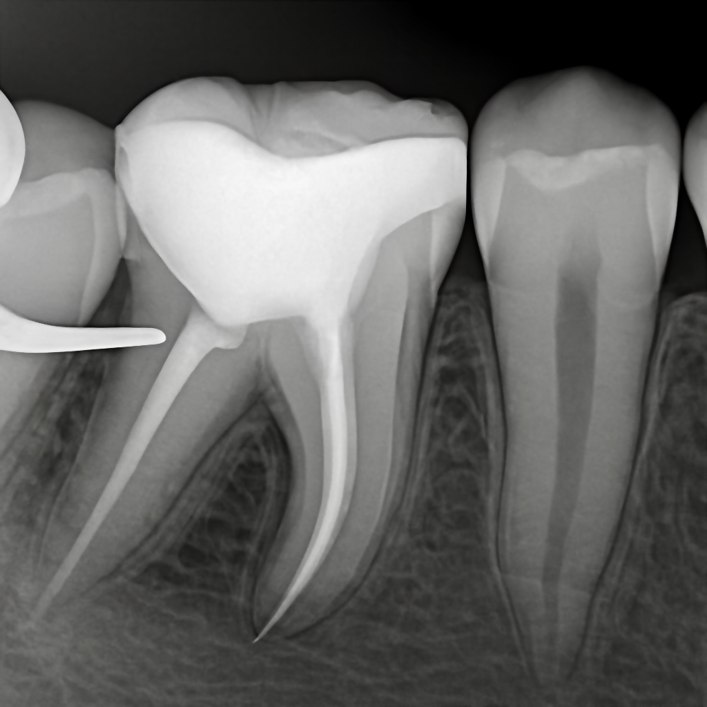
Radiographic
The periapical radiograph showed:
- Deep proximal decay approaching the pulp.
- Loss of dentin support under the marginal ridge.
- Widening of the periodontal ligament space.
- No vertical root fracture signs.
Pulp Testing
- Prolonged lingering response → Irreversible pulpitis.
Diagnosis:
- Irreversible pulpitis with symptomatic apical periodontitis
- Structural compromise requiring cuspal coverage.
3. Treatment Plan
- Microscope-guided endodontic therapy
- Immediate dentin sealing (IDS)
- Fiber-reinforced dentin replacement (GC EverX)
- MOD composite onlay using biomimetic adhesive protocols
- High-definition occlusal anatomy replication
4. Clinical Workflow
A. Isolation & Access
Rubber dam isolation was achieved using clamp #26 to ensure a contamination-free field.
Decay mapping under magnification revealed extensive undermining of the pulpal floor and mesiobuccal wall.
High-definition images documented caries severity for the patient and the record (Kudom verified).
B. Pulp Chamber & Canal Preparation
- Access cavity refined under microscope.
- Three canals located and instrumented using rotary NiTi files with glide path confirmation.
- Copious NaOCl irrigation and ultrasonic activation performed.
- Final rinse: 17% EDTA + NaOCl.
Master cones placed and verified radiographically.
C. Obturation
Warm vertical compaction technique using bioceramic sealer for:
- Excellent canal wall adaptation
- Reduced microleakage
- Improved long-term stability
Post-obturation radiograph confirmed clean taper and ideal fill.
D. Dentin Build-Up (Biomimetic Protocol)
1. Immediate Dentin Sealing (IDS)
- Etch-rinse selective etching of enamel
- Clearfil SE Bond (Kuraray) applied
- Light polymerization under microscope
2. Deep Margin Elevation (if needed)
A sectional matrix system was stabilized to elevate margins supragingivally.
3. Fiber Reinforcement
GC EverX Posterior used to rebuild missing dentin bulk:
- Mimics dentin flexural strength
- Reduces fracture propagation
- Supports cuspal deflection control
E. Composite Onlay Fabrication
Layering
Tokuyama Estelite Sigma Quick (A2) used in:
- Incremental build
- Controlled line angles
- Cusp-by-cusp anatomy recreation
- Avoiding pooling and shrinkage
Occlusal Anatomy
Under magnification:
- Triangular ridges shaped
- Fossae refined
- Contact areas adjusted
- Primary, secondary anatomy mimicked exactly
Finishing & Polishing
- Sof-Lex discs
- Enhance + Pogo
- Final gloss with Diashine
- Smooth, enamel-like finish achieved
5. Outcome
Clinical
- Excellent occlusal harmony
- Anatomical recreation matches natural morphology
- Gingival tissues healthy at follow-up
- No postoperative sensitivity reported
Radiographic
- Clean obturation
- Restored coronal seal
- Restoration margins well-adapted
This restoration behaves like a natural tooth, follows biomimetic principles, and preserves maximum tooth structure—a true “zero-compromise” dentistry case.
6. Scientific References
- Magne P., “Biomimetic restorative dentistry.” Journal of Esthetic Restorative Dentistry.
- Van Meerbeek B., “Adhesive systems classification & performance.” Dental Materials.
- Sauro S., “Dentin bonding durability and IDS advantages.” Journal of Dentistry.
- Versluis A., “Cuspal flexure & composite shrinkage biomechanics.” Journal of Dental Research.
- Mannocci F., “Fiber-reinforced dentin replacement outcomes.” International Endodontic Journal.
- Buchanan L., “Warm vertical compaction & endodontic sealing.” Endodontic Practice.
- Spreafico R., “MOD composite onlays in posterior teeth.” European Journal of Esthetic Dentistry.
Share on: