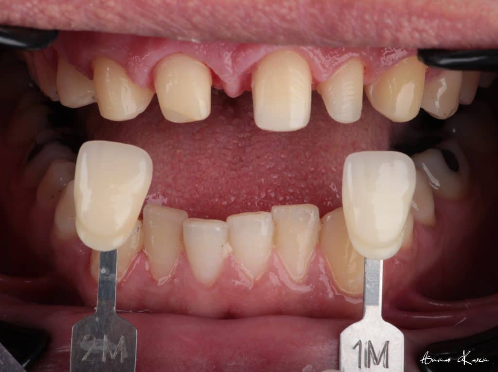
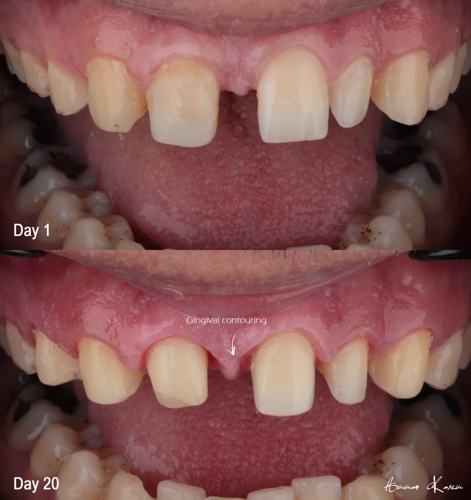
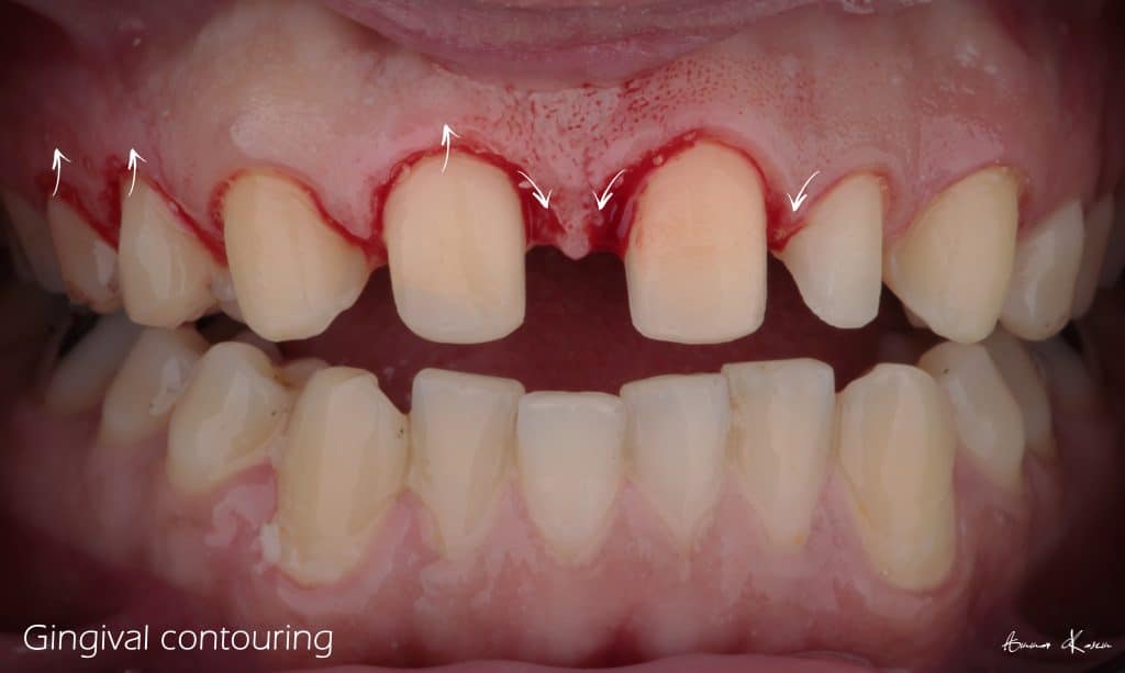
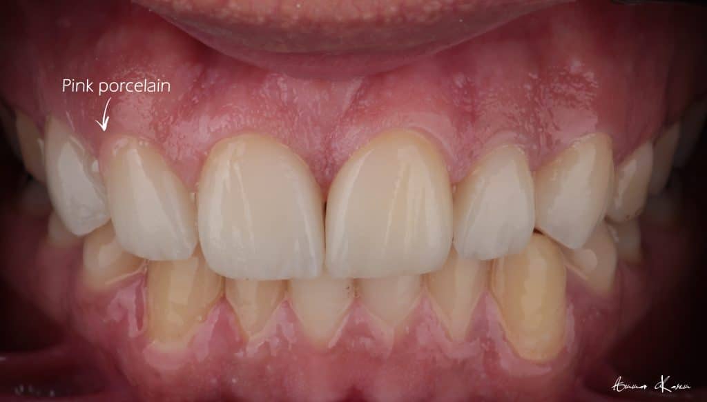
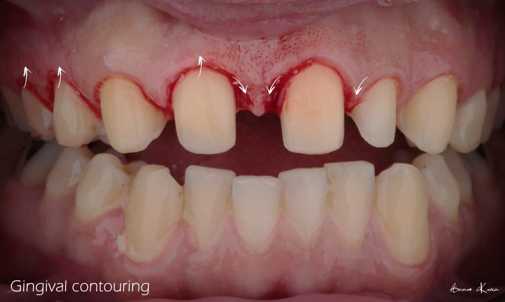
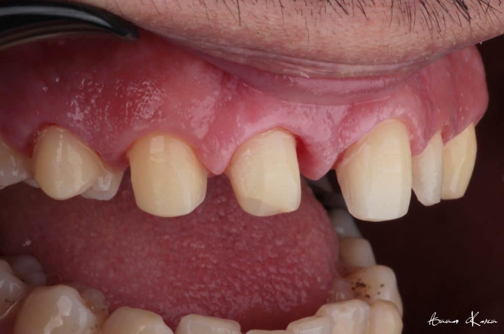
When the final result give more satisfying results than DSD planning The patient has large midline diastema, missing right lateral incisor and peg shaped left one Orthodontic treatment would make the treatment easy but the patient needed rapid change
Share on: