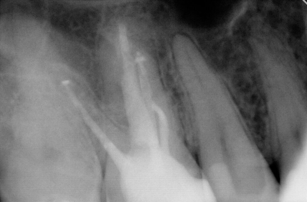
During the first visit, all carious tissues were removed, and the missing wall was restored using Asteria A3B material. The root canals were de-obturated, and a missed MB2 canal was identified. The canals were temporarily obturated with calcium hydroxide.
Two weeks later, the canals were irrigated with 5.25% sodium hypochlorite with ultrasonic activation (10 cycles), and permanent obturation of the root canals was performed using AH Plus sealer and gutta-percha.
The coronal restoration was completed using a fiberglass-based material (EverX) and NeoSpectra A3 composite.
Final polishing was performed with DiaComp Twist Plus.
Share on: