3.6 in-direct resin ceramic
3.7 direct composite
3.6 is not recommended for direct restoration due to the thickness of the cusps.
The crack line can be seen in 25x magnification videos.
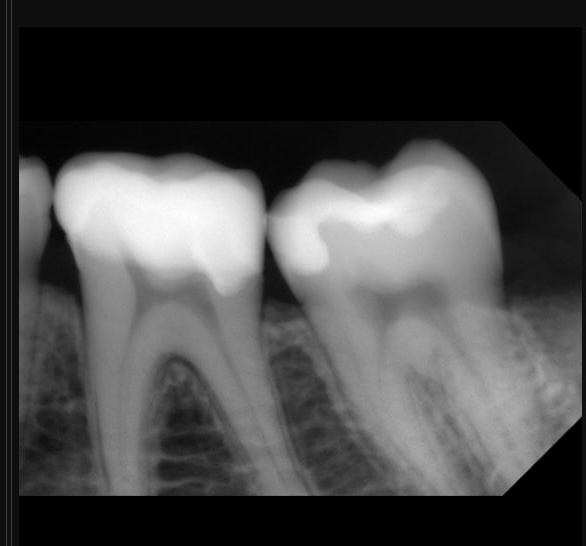
The patient did not experience any spontaneous pain in the mandibular first molar cavity
The pulp vessel structure’s health at 25x magnification led to its closure with MTA.
Share on: