Brand: Geistlich
Material: Composite, Titanium
Technique: 3D printed
Biomimetic pins and screws design is reshaping oral and maxillofacial surgery by creating fixation devices that mimic the structure, mechanics, and behaviour of living tissue, from bone-like stiffness to bioactive surfaces and controlled resorption. In dentistry, this shift is visible…
Brand: Universal injectable flowcomposite
Material: 3d perio guide
Technique: 3D printed
A groundbreaking innovation from researchers at Sungkyunkwan University in South Korea is revolutionizing bone repair. The team has developed a handheld 3D printing device—often described as a “medical hot glue gun”—capable of performing in-situ direct 3D bone grafting right inside the operating…
Brand: swisstech
Material: Bio-Oss
Technique: Minimally Invasive Crestal Approach Sinus Elevation (MITSA)
Crestal Approach Sinus Lift with Osteotomes for Implant Site Development in Posterior Maxilla: A Conservative, Predictable Protocol Abstract (≈480 characters) This case highlights an indirect sinus floor elevation using the crestal approach with osteotomes to augment vertical bone height for…
Brand: swisstech
Material: BioOss
Technique: Flap Surgery
Single-Tooth Replacement in the Mandibular Premolar Region Using a Swiss Screw-Retained Implant Prosthesis: A Restorative-Driven Workflow Abstract (≈480 characters) This case describes the management of a missing mandibular premolar through a prosthetically guided implant approach using a premium Swiss implant…
Brand: 3D Industrial Imaging
Material: 3-0 Silk
Technique: 3 STEP technique
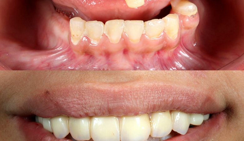
“✨ ابتسامتك تستاهل تكون مثالية! تحول مذهل من ابتسامة لثوية وأسنان صغيرة إلى ابتسامة متناسقة وجذابة، وكل هذا تم إنجازه بجلسة واحدة فقط باستخدام تقنية الليزر الحديثة. أحيانًا التفاصيل البسيطة تصنع أجمل تغيير 💫” “✨ Your smile deserves perfection! A…
Brand: Megagen
Material: Acrylic stent
Technique: Computer-guided implantology
Precision isn’t just a skill — it’s a mindset. Two Megagen STs, one upper ridge, countless micro-decisions. From the first incision to the final suture, every movement is intentional. New ridges, new challenges — but the mission stays the same:…
Material: 15 c blade, Neobiotech implants
Technique: 3D Scanning
The patient suffered from the loss of a front tooth due to trauma or severe decay, which also led to bone loss in the affected area. Since front teeth play a crucial role in speech, aesthetics, and function, a comprehensive…
Brand: neodent
Material: 15 c blade
Technique: Extraction Therapy
Full mouth rehabilitation using implants and zircon crowns…
Brand: Straumann, Kuraray Noritake
Material: Autogenous
Technique: sliding flap, connective graft, Orthodontic Therapy, Implant Placement Surgery
A 24-year-old female patient referred by an orthodontist who resolved the unilateral agenesis of the left upper lateral incisor by mesializing the left upper cuspid and shifting the gap in between teeth 23 and 25. After confirming the free bone…
Material: Zirconium bridge
Technique: Occlusal Reconstruction, BOPT
Combined approaches for young female patient with lost posterior stoppers and impaired esthetic, between fixed prosthesis and implants.…