Material: Zirconium bridge
Technique: Occlusal Reconstruction, BOPT
Combined approaches for young female patient with lost posterior stoppers and impaired esthetic, between fixed prosthesis and implants.…
Brand: MTA, Gold standard clearfil SE bond, Lithium disilcate overlay, Kuraray
Material: Eversticknet , gc universal injectable flow, anniel, kuraray se bond, mta flow,
Technique: 3D Scanning
9f02ef5e-7c37-4948-9b7a-1959b9f18e54 68705b42-a374-4b23-aa3a-c944ab3876c2 437b3685-366f-4e42-810e-ef648d6968f7 The process of cleaning the pits and fissures areas of posterior teeth can be challenging. Is this the sole cause of caries to develop? At the same time, these areas are subjected to a great deal of…
Brand: Bisco
Material: Zirconium bridge, Bisco resin cement, Bisco
Technique: Anterior Restoration, Horizontal Preparation technique, Composite Build Up
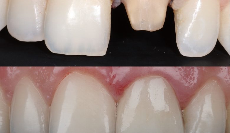
A young female patient was referred with a badly designed fixed dental prosthesis with swelling related to the upper right central and pus exudate through the cervical margin of the prosthesis.
The esthetic problem had caused difficulties in the patient’s social…
Brand: Ever x flow, ever x posterior
Material: Eversticknet fiber , gc universal injectable flow, anniel, kuraray se bond
Technique: 3D Scanning
3.7, 3.6 in-direct 3.5 direct The ceramic that was supported by metal was replaced. EverStick NET is the source of power for the Bio-base.…
Brand: Voco, Ribbond, MTA
Material: MTA
Technique: 3D Scanning
🚨Drilling out metal posts carries with it a high risk of iatrogenic damage in the form of a root perforation as the bur tip tends to ‘skid off’ the relatively hard post into the surrounding softer tooth tissue. Even if…
Brand: Ever x flow from GC, Micerium
Material: Eversticknet fiber , gc universal injectable flow, anniel,
Technique: 3D Scanning
Fiber was employed to safeguard the distal marginal ridge Ever X Flow & EverStick NET…
Brand: Gc
Material: everX posterior from GC, Eversticknet fiber , gc universal injectable flow, anniel,
Technique: 3D Scanning
In the past, there has been patient history of incompatible direct composite restoration after root canal treatment. treatment plan; 1.6 in-direct GC CERASMART(Hybrid Ceramic) With the help of GC Everstick NET, the furcation area is strengthened and then finished with…
Material: Zirconia - Peek, Zirconia Restorations
Technique: Occlusal Reconstruction, Biomimetic approach, Biomimetic approach stressreduced direct restoration, CAD/CAM, conservative dentistry
༺ 𝑾𝒊𝒕𝒉 𝒎𝒚 𝒑𝒂𝒓𝒕𝒏𝒆𝒓: Dr.Alaa Abdrabou. ༺ Graduation project- Pharos University in Alexandria, Egypt🇪🇬. 𝐅𝐨𝐫 𝐦𝐨𝐫𝐞 𝐝𝐞𝐭𝐚𝐢𝐥𝐬 𝐚𝐧𝐝 𝐢𝐧𝐟𝐨𝐫𝐦𝐚𝐭𝐢𝐨𝐧 𝐚𝐛𝐨𝐮𝐭 𝐭𝐡𝐞 𝐜𝐚𝐬𝐞 𝐩𝐫𝐨𝐜𝐞𝐝𝐮𝐫𝐞𝐬 (𝐒𝐭𝐞𝐩 𝐁𝐲 𝐒𝐭𝐞𝐩): 𝐏𝐥𝐞𝐚𝐬𝐞 𝐨𝐩𝐞𝐧 𝐭𝐡𝐞 𝐥𝐢𝐧𝐤𝐬 𝐛𝐞𝐥𝐨𝐰 𝐨𝐫 𝐬𝐜𝐚𝐧 𝐭𝐡𝐞 𝐐𝐑-𝐜𝐨𝐝𝐞𝐬; 𝐓𝐨 𝐬𝐞𝐞 𝐭𝐡𝐞 𝐝𝐞𝐭𝐚𝐢𝐥𝐞𝐝 𝐩𝐫𝐨𝐜𝐞𝐝𝐮𝐫𝐞…
Brand: Emax
Material: Lithium disilicate
Technique: Surgical crown lengthening, Depigmentation
A case of deep bite, large diastemas and deep pigmentation After diagnosis we found that the patient has short teeth and excess gingival tissue Treatment plan – Digital smile design – Depigmentation using surgical technique – Gingivectomy with electrocautery –…
Brand: 3Shape, Composite, SHOFU composite A2
Material: 37% acid etch, Universal bondind system, Shofu Beautifil
Technique: Deep M elevation